ヒアルロン酸の関節内注入療法の効果について

変形性膝関節症に対しての保存的治療(手術治療に対する用語となります)として一般的に多く対応される治療の一つとしてヒアルロン酸製剤関節内注入療法があります。この記事ではその効果について提示したいと思います。

初めの症例は6年7か月の間膝痛について当院受診がなく、当初腰痛・坐骨神経痛での受診でしたが、突然変形性膝関節症の手術を希望されて当惑した症例となります。

患者さんは77才の女性で、令和3年4月2日右腰痛と右大腿部痛で長く立っていられないという訴えで受診されました。

腰椎MRI検査ではほぼ全ての腰骨(椎体)の間の椎間板が老化で変性し(潰れて)、椎体後方の脊髄を強く圧迫しています。重度の脊柱管狭窄症と診断される状態です。

77才女 MR1.jpg

神経根ブロックや投薬で同年8月には腰痛と右大腿部痛は99%良いというレベルに落ち着きました。

77才女 RB.jpg

9月24日に突然左膝の手術を受けたいと言われて、それまで全く左膝痛の相談はなかったため面食らう印象を受けました。

この患者さんは6年前の平成27年2月16日に左膝痛で当院を受診されていました。当時2年前からの左膝痛で正座が困難となったということで、当院で変形性膝関節症の治療と正座ができるためのリハビリテーションを6月5日まで継続し、正座が可能となったということで通院を終了されています。

77才女 Xp1.jpg

上図右端は46才女性の正常の膝関節レントゲン像となりますが、内側と外側の関節の隙間(関節裂隙=れつげきと言います)はともに幅が確保されていて、このスペースに半月板・大腿骨と脛骨の関節軟骨が存在しています。薄青矢印は内側の関節裂隙となります。中央の平成27年2月の患者さんの左膝のレントゲン像ではオレンジ矢印の内側の関節裂隙が外側に比して狭くなって関節軟骨の摩耗を示しており、中等度の変形性膝関節症の状態です。この時点ではヒアルロン酸製剤関節内注入療法と正座のためのリハビリテーションで症状は改善し、通院は終了しています。

令和3年9月24日に左膝の手術を受けたいと相談を受け、同日チェックした左膝のレントゲン像は左端となりますが内側の関節裂隙は消失しており、下腿の脛骨(けいこつ)の内側部分の骨も摩耗して崩れてきている状態となっています。極めて重度の変形性膝関節症です。人工関節の手術を希望されても当然の状態ですので、私は手術可能な総合病院を即日紹介しました。平成27年2月のレントゲン像から6年7カ月の間に驚くほどの変形の悪化をみており、この期間患者さんはどのように左膝をケアしていたのか甚だ疑問に感じられる経過でしたが、患者さんを責めるような質問となるので、患者さんにそのことは聴取しませんでした。

もう1人、ほぼ同じ期間変形性膝関節症の保存的治療を継続していた患者さんの左膝のレントゲン像を提示したいと思います。

70才の果樹と野菜を作っている農家の男性です。先の77才の女性の患者さんが手術を希望された翌日の令和3年9月25日に月1回の定期的な受診をされました。

70才男 Xp.jpg

この患者さんは5年前の平成28年12月16日に左膝痛で当院を受診され、中等度の左変形性膝症に対して投薬とともに月1回のヒアルロン酸製剤関節内注入療法を継続してきました。左膝の内側の関節裂隙は5年の経過で軽度狭くなっていますが(オレンジ矢印と赤矢印)、5年の経過で先の77才女性の患者さんのように関節裂隙が消失し、骨まで摩耗して崩れるというような印象は全くありません。投薬は痛みを軽減するための対症療法でしかなく、関節軟骨の摩耗の予防はヒアルロン酸製剤によっているわけですが、十分な治療効果が表れていると理解して良いと思われます。

ヒアルロン酸製剤関節内注入療法による関節軟骨の摩耗予防と服薬による痛みの軽減を図りながら、患者さんの膝の老化の進行が停止して、生活状態で過剰な負担が膝にかからなくなれば膝痛は一定軽減し、落ち着く可能性があります。

90才男 Xp.jpg

上図のレントゲン像は90才の男性で両膝の重度の変形性膝関節症です。81才から通院を続けていましたが、シップを適応していれば家庭菜園の農作業や小学生児童の朝の交通安全のボランティア活動で膝痛はないと言っていました。

重度の変形性膝関節症であるのに痛くないという患者さんの反応については、このホームページの“資料や動画で学ぶ”の「痛みについて その1 痛みの天秤理論を知り 痛みをコントロールしていく」の動画を確認していただければ、膝に老化現象の変形があっても痛みが発生しないという状態が起こりえる生体原理を理解いただけるかと思います。

このページではヒアルロン酸製剤関節内注入療法という保存的治療により、膝の老化の進行を抑えられるということを説明していますが、そのような治療をしていれば必ず老化の進行を予防できるわけでもありません。70才の男性の症例でも、5年の経過で内側の関節裂隙は軽度狭くなっていました。ヒアルロン酸製剤の治療効果は出ていると評価していますが、老化の変形は幾分進行しているのです。

変形性膝関節症における変形と老化の進行について、比較的良好なタイプと良好でないタイプの老化の進行があります。それを提示してみたいと思います。

84才男 Xp.jpg

まずは、良好なタイプの老化の変形の進行を提示します。84才の男性ですが、令和3年12月11日の79才時の左膝レントゲン像に比較すると、令和8年3月10日のレントゲン像では内側の関節裂隙は軽度狭くなっています。下腿側の脛骨の内側の関節面はその中央部が凹むような形状となっています。このような変形では大腿骨からの体重は下方に伝達され、膝の体重伝達様式としては安定した状態です。膝痛があっても歩行も不安定となることはありません。

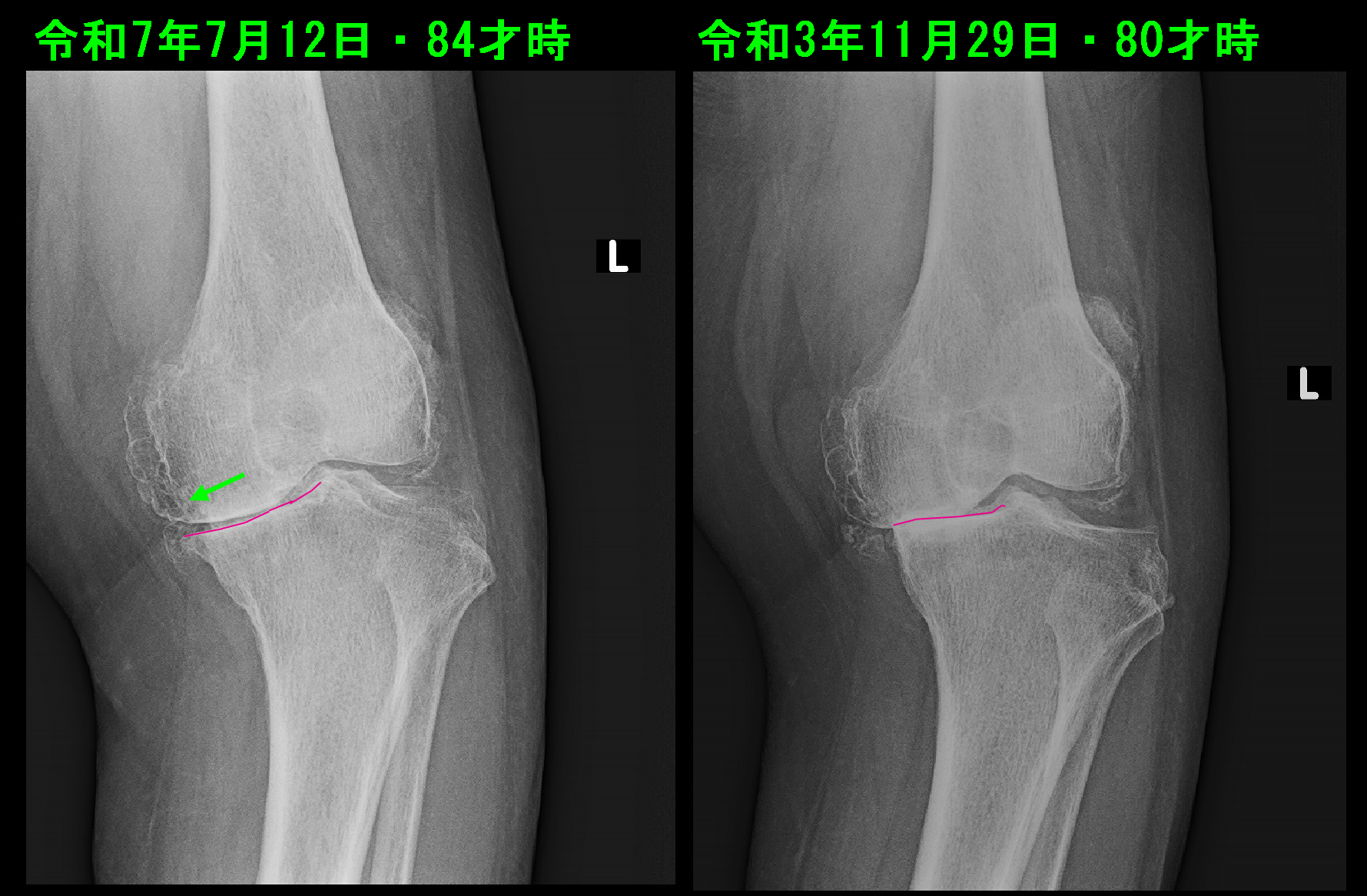
84才女 Xp.jpg

それに対して、令和3年11月29日80才で左膝痛で受診された女性です。初診時より左膝の内側の関節裂隙は消失しており、重度の変形性膝関節症です。保存的治療としてヒアルロン酸製剤関節内注入療法を断続的に継続していました。3年8か月後の令和7年7月の左膝関節のレントゲン像は、内側の関節軟骨が消失した状態は変わりありませんが、下腿側の脛骨の内側の骨の関節面が平坦な状態から摩耗して傾斜するようなラインとなっています。時々脛骨の内側部分がこのような傾斜するように摩耗する変形が進行していく方がいますが、このような変形では大腿部は体重がかかることで内側にずれる力が働きます(緑矢印)。このような変形ではこのホームページの「当院のリハビリテーション」のページの“86才女性 重度変形性膝関節症の不安定歩行のリハビリ”のような歩行状態となっていきます。膝痛が悪化するだけでなく、歩行が不安定となり、転倒のリスクも高まることになります。手術を受けなければ車イスの生活にならざるをえなくなってしまいます。注意を要する老化の変形です。その予防について明確な方針はありませんが、当院ではリハビリテーションを適応して、歩行の安定を図る試みを行っています。