子供が急に腕を動かさなくなった!

小学校入学前の幼児において急に腕を痛がり、腕を垂らして動かさなくなるら外傷が時々起こります。

多くの場合、肘内障(ちゅうないしょう)という軽度の肘の外傷です。

肘内障の状態2.jpg

のように腕を垂らして動かそうとしません。骨折と違って肘の腫れはないことが通常です。

発症状況.jpg

図のような状況で通常幼児が腕を引っ張られることで肘内障は発症します。私の経験では幼児が友人と遊んでいて友人の下敷きになり発症した患者さんもいました。肘内障は幼児の肘の骨格が未成熟のために発症する外傷で、小学校に入学する頃には骨格が成育して肘内障が発生することはなくなります。肘内障は肘の輪状靭帯という靭帯がめくれ上がる状態となって発生します。

肘内障の病態.png

 この靭帯が正常の位置に整復されると痛みは消失します。

専門的となってしまいますが、まずは肘内障の原因となる輪状靭帯の解剖的機能について説明します。

肘関節は上腕骨と前腕を構成する橈骨(とうこつ)と尺骨(しゃくこつ)という3つの骨で構成されています。

肘の骨の構造.jpg

肘関節は曲げ伸ばしの動きをしていますが、前腕では(専門用語となりますが)が回内回外という手のひらを返す動きをしています。

 前腕の回内・回外.jpg

回内・回外の動きは尺骨という小指側の骨の周りを親指側の橈骨が回転する動きです。肘関節の尺骨に接する橈骨は円盤状の構造(橈骨頭)となっており、尺骨の横で橈骨頭が回転することで回内・回外の動きが行われています。橈骨は橈骨頭の下の首に相当する部分で輪状靭帯により尺骨に固定されています。幼児では橈骨の円盤状の骨が未成熟で腕を引っ張られることで橈骨が下方にずれる力が働くと輪状靭帯は橈骨の首から頭の位置にずれてしまうのです。これが肘内障です。

肘内障の整復は比較的簡単で、医師は患者さんの肘を押さえながら肘内障が整復された感触を指で触知しますが、その整復感がはっきりしない場合が時々あります。例えば冬の受傷では受診のためにお子さんにジャンバーを着せたり、脱がせたりすることがありますが、その時に整復されてしまう場合があるのです。しかし、受診時医師はお子さんが手を動かしていなければ肘内障は整復されていないと判断して整復を試みます。自然に肘内障が整復されていれば、当然整復感を触知することはありません。また、整復の感触がわずかで整復されけれども整復されていないようにも感じられる場合もあるのです。医師は整復されていない可能性を心配し何度も整復を試みると、お子さんは痛いためかもしれませんし、恐怖からかもしれませんし、泣き騒いでしまうということになりますが、そういう状況ではますます整復感の触知は難しくなります。このような場合、経験的に肘内障は整復されていることが大半です。

開院して間もない頃数回整復を試みても整復感がなく、翌日まで手を動かさなければ再診してくださいと説明したのですが、患者さんを泣かせた私は親御さんの信頼を失い、翌日他の整形外科を受診し整復してもらったという患者さんがいました。

肘内障の診療.jpg

私はどのように整復したのか、整復感は確認できたのかを電話でその医師に確認したところ、「整復感はなかったが、母親に『戻った大丈夫だ』と安心させた」という回答でした。通常整復感がなく、お子さんが手を動かさなくても医師や親御さんが静かに手をとって肘を屈曲させて痛がらなければ、整復されていると判断して問題ないと考えています。整復処置を行った場合、整復感が確認されなくても30分ほどはお子さんが腕を動かすかを待合でみていただいています。

最近もこのような患者さんがいました。1才半の女児Aちゃんはお兄ちゃんと遊んでいて、お兄ちゃんが右腕を引っ張ったら右腕を動かさなくなったという経過で受診されました。明らかに肘内障の受傷契機と症状です。整復操作を行いましたが、全く整復感がありません。少し動かしても痛がらないので大丈夫であろうと判断しました。待合で30分様子を見てもらいましたが、Aちゃんは腕を動かさないということでしたが、私はお母さんに「これ以上戻そうとしてもAちゃんを痛がらせ、泣かせるだけになると思うので様子をみてください。明日まで経過をみても動かさない場合には優先的に対応しますから、明日また受診してください。」と伝えました。しかし翌日朝に受診され、お母さんは「更衣で痛がっている。」「夜中にも何度も痛がって起きていた。」ということでした。そこでもう1度、整復操作を行いましたが、Aちゃんが泣くだけで整復感はありません。翌日は日曜だったので、「月曜日まで様子を見てください、動かさなければ月曜にも優先的に診ます。」と伝えましたが、受診はありませんでした。多分整復されていてAちゃんは右腕を動かすようになったのだと思います。火曜に確認のために電話をしましたが、出ていただけませんでした。スマホの時代、このようなことで経過を確認しようと電話をかけても、登録されていない当院の電話には出ていただけないことは日常的です。

肘内障のような症状でも肘内障でない場合もあるので、2例提示してみます。

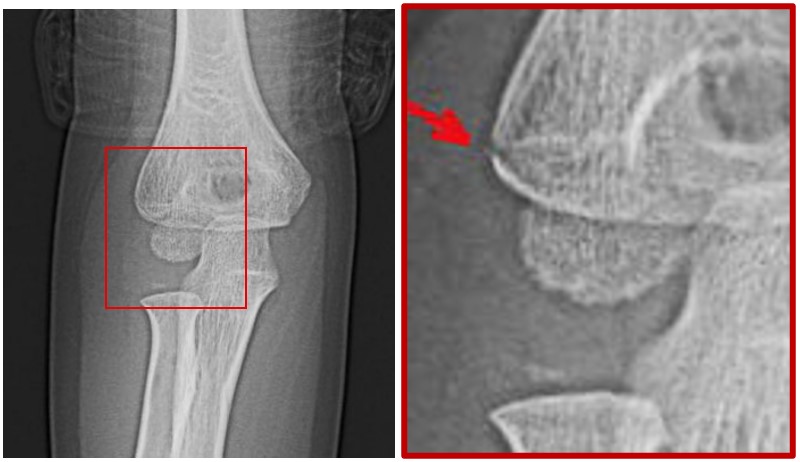
6才の男児ですが、保育園で転倒し右肘を打撲して、翌日右腕を動かさないということで受診した患者さんです。肘の腫脹は多少あるかなという程度でしたが、打撲という受傷原因があるので、肘内障でない可能性が高いと考えます。レントゲン撮影を行いました。

6才男 Xp1.jpg

 図の赤矢印に軽微な異常があると疑いました。

6才男 MR1.jpg

確認のためMR検査を行うと、右肘の赤矢印に骨折を認めました。健側の左肘は骨折線は確認できません。この骨折は上腕骨外顆骨折と呼ばれるもので、見逃されると骨折が治癒せず、あきらかな変形を残したり、大人になっても肘痛や手のしびれの原因となる可能性もある骨折です。ばかにできません。

もう1例です。3才の女児ですが、妹と遊んでいて転倒したか?(見ていないので分からないのは仕方ありません)左腕を動かさず、抱っこしようとすると嫌がるということで、その日に受診されました。肘には腫脹はなく、肘内障のようにも思えますが、肘内障で抱っこを嫌がるということはありません。以前に同様に抱っこを嫌がるという赤ちゃんで鎖骨骨折の子がいたので、鎖骨のレントゲン撮影を行いました。

3才女 Xp.jpg

赤枠の赤矢印に上腕骨の骨折線が確認できます。2週後には仮骨の形成もみられ、痛がらなくなりました。

幼児で腕を動かさないというのは肘内障と決まったわけではありません。