骨折は最初から痛いとは限らない

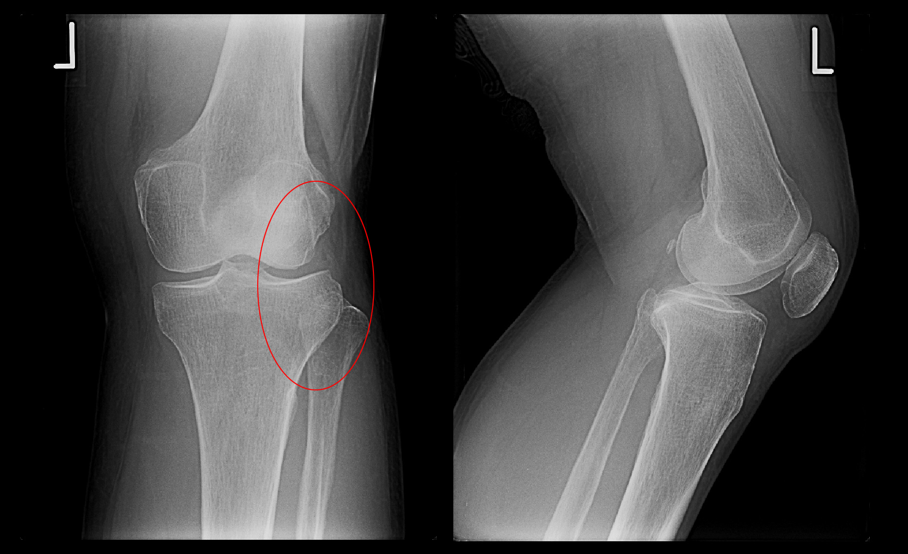
74才の主婦で社交ダンスを週2回行っているMさんです。平成29年10月26日神棚への供え物の際60㎝の脚立から転落し、左膝を打撲したそうです。しかし、その後痛みもなくダンスも続けていたのですが、11月4日(受傷9日後)左膝痛が悪化し階段昇降が困難となり、11月5日に当院を受診されました。理学所見としては左膝外側半月板に圧痛(医師が押してみて痛みが出るかどうかを見る所見です)を認めました。レントゲン像は異常を認めません。赤丸領域に痛みを訴えていました。

74才女 Xp1.jpg

鎮痛剤を1週間処方し、痛みが軽減しなければMRI検査を行いましょうと説明しました。

Mさんは11月16日(初診1週後)にMRI検査を受けられました。

74才女 MR1.jpg

T1というMRI条件での冠状断(前後像)となりますが、赤矢印が本来白い骨が黒くなっており、骨の損傷を示します。骨折です。

74才女 MR2.jpg

T1矢状断(側面像)でも赤矢印が骨折所見です。骨折(骨が損傷)していても、当初はダンスも可能であったのです。私は4週間の安静を指示しましたが、Mさんは12月10日(4週後)にクリスマスのダンス発表会があり、ドレスも購入してしまったと言っていました。私は、「諦めた方が無難ですが、私は私の判断を強制しません。気合いと根性で頑張れそうだったらやってもいいのではないですか。Mさん次第です。」と述べました。Mさんはダンス発表会にも出場して、問題なかったと教えてくれました。

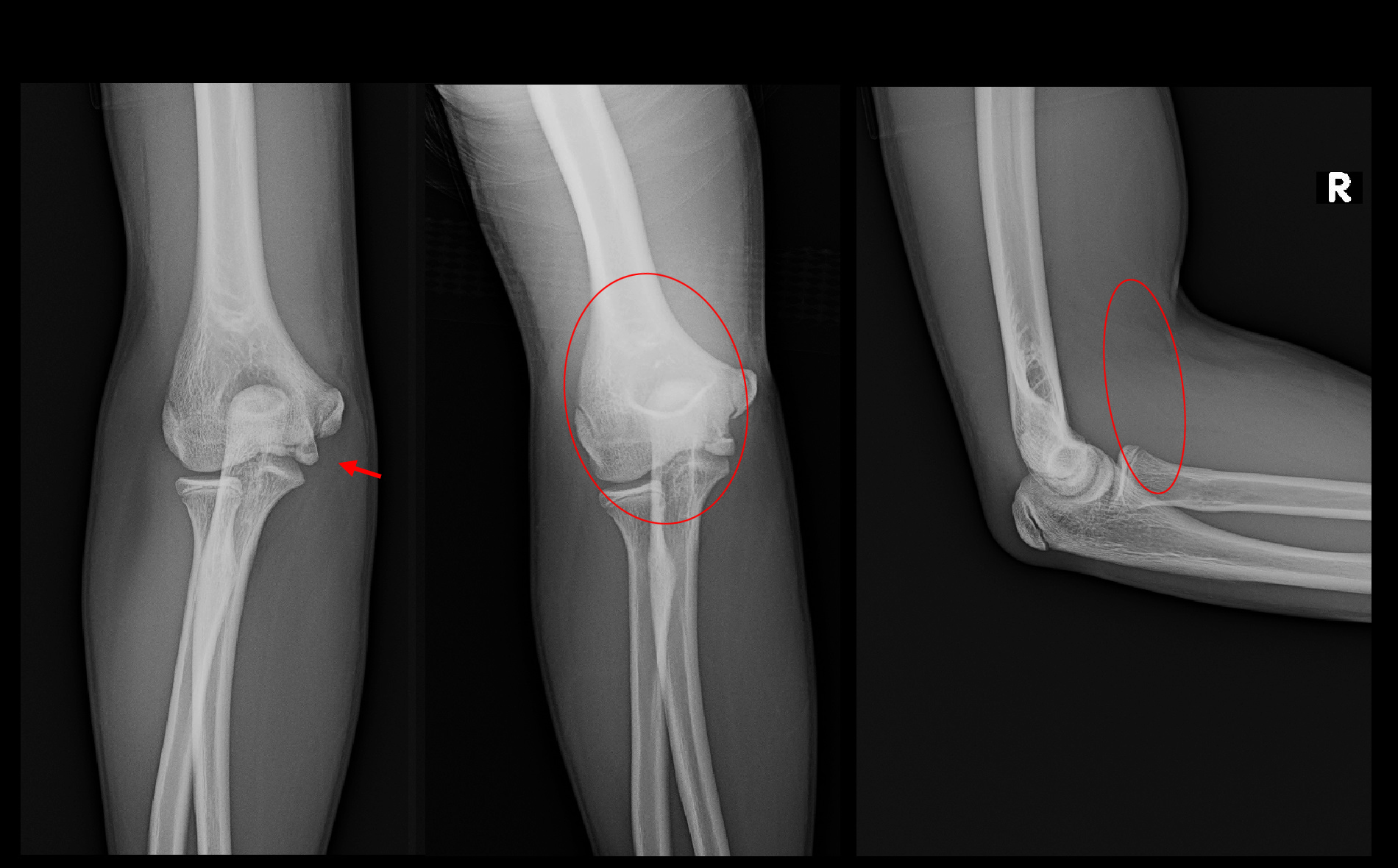
次の症例は最近の事例となります。13才の剣道をしている中学1年生のK君です。令和8年2月25日夜剣道の練習中に後方に転倒し右肘を打撲しましたが、VAS3(2:わずかに痛い、4:多少痛い)の痛みだったそうです。3日後の2月28日の練習後に右肘痛は増悪し、VAS8(とても痛い)になり、同日当院を受診されました。

13才男 Xp1.jpg

赤丸領域に痛みを訴えていました。可動域は5度から125度で軽い伸展制限を認めますが、ほぼ正常です。内側側副靭帯(赤矢印)に圧痛を認め、「K君のケガはドジャースの大谷翔平選手と同じだよ」と述べ、MRI検査を行いました。

13才男 MR1.jpgMRI検査のSTIRという条件での冠状断(前後像)では確かに内側側副靭帯の周囲が白くなっており、同靭帯の炎症が認められました(赤矢印)が、それ以上に上腕骨の内側の筋付着部がより白くなっており、上腕三頭筋の損傷と診断しました(オレンジ矢印)。同部には内側側副靭帯よりも強い圧痛が確認されました。筋損傷の下側の骨内が少し白っぽくなっていますが(黄色丸領域)、大したことないと判断し、この程度の筋損傷・靭帯損傷に厳密な治療は迷惑であろうと考え、投薬のみを行いました。

しかし、その4日後の3月4日夜に左肘痛は増悪し、ほどんど眠れない状態となり、3月5日に再診されました。可動域は40度から45度とほとんど動かせません。躊躇せずMRIの再検査を行いました。

13才男 MR2.jpg

T1という条件の冠状断(前後像)で右肘上腕骨の外側関節部分の赤矢印が骨折線と判断されます。

13才男 MR3.jpg

違うT1の冠状断では上腕骨の内側部分(赤丸の領域)で骨が黒っぽく(低輝度と)なっていて、これも骨の損傷を示しています。初診時のSTIRの冠状断で上腕骨の内側部分(黄色丸領域)が白っぽかった(高輝度を呈していた)のはこの骨損傷に起因していたのです。

13才男 MR4.jpg

T1の水平断(横断面)では上腕骨の関節部分の大半が低輝度となっており、骨損傷が広範囲に起きていることが把握できます。また、患側の右肘は左肘に比較して重度に腫脹しています。

この時点で(3月5日に)右上肢はギプスシーネ固定を行い、よりしっかり処方も行いました。ギプスシーネ固定の1週後の3月12日には痛みは全くないと言っていました。

13才男 Xp2.jpg

受傷後4週の3月27日のレントゲン像では上腕骨内顆部(上図の拡大図の領域です)は、初診時には確認できなかった骨透亮像(透明化=黒っぽくなった所見/赤矢印の領域です)が確認でき、これは骨の壊れが進んだ所見です。しかし、骨透亮部は肉が固まってきている状態で痛みは軽減してきています。この時点でギプスシーネは除去しています。

13才男 Xp3.jpg

4月10日(初診6週後)日常生活での痛みはなくなり、剣道の練習開始を許可しました。

4月28日(初診2か月後)剣道を100%で行っているが、痛みはVAS2程度であるとのことでした。レントゲン像でも骨透亮部位には骨形成が起きて、白くなってきています。この時点で経過観察は終了としました。

K君は右肘の骨折を受傷していたのですが、3日間剣道の練習も続けていて、4日目の初診時にはほぼ普通の動きでした。しかし8日後に痛みで寝ることもできなくなり、また右肘は全く動かせなくなったのです。

この2例のように骨折は最初から痛いとは限らない場合もあるのです。