当院の腰のブロック注射はどれぐらい痛いのか?

腰のブロックといっても3種類のブロックがあります。当院で患者さんに提示しているブロックのパンフレットです。

LW RBパンフ3.jpg

当院で実施しているブロックは③腰椎神経根ブロックとなります。私はこのブロック注射が一番効果が高く、安全性も最も高いと考えているので、このブロックを採用しています。3人のブロック注射を受けた患者さんを紹介していきます。

まずは、25年前の患者さんです。35才の男性で建設業の現場監督でプロレスラーのような体型の方でした。平成13年3月23日右臀部痛が発症し、2日後の25日には右腓腹部(ふくらはぎ)の痛みも出て歩行困難となられ、3月26日に当院を受診されました。腰に起因する坐骨神経痛と判断しますが、私の経験では坐骨神経痛は服薬で軽減することはまれです。腰椎MRI検査を行い、腰のどこに(どの高位に)原因があるのかを診断し、そこに神経根ブロックを行うことが最も効果が期待できます。検査を受けずにどこが病因なのかを正確に判断しないでブロックを受けてもあまり効果がえられないということになります。ブロックのパンフレットの①硬膜外ブロックや②仙骨裂孔ブロックはそのようなブロックとなります。この患者さんもMRI検査を行いました。

35才男MR.jpg

開業当初のMRIでの画像で今より画質悪いものですが、診断は十分可能です。L4-5とL5-Sに椎間板ヘルニアを認めすが、L4-5の方が脊髄(腰の背中側に長くつながっている領域です)の圧迫は強いと判断し、左L5神経根ブロックを勧めました。しかし患者さんは、以前他の整形外科でブロックを受け、失神しそうなほどの痛みがあったので、絶対いやだと断られました。そこで臀部に局注(ブロックのパンフレットの④トリガーポイント注射となります)を施行し、鎮痛剤を処方しました。

しかし、3日後の3月29日に再診され、局注は1日効果があったかな、服薬は効かないということで、「ブロックを受けてみる」との意思表示をされました。予定通り左L5神経根ブロックを施行しましたが、ブロック終了後にこの患者さんは、「この注射なら、俺は何回でもOKだ。」と言っていました。以前行ったブロック注射と同じ治療でしたが、当院では注射の仕方を試行錯誤してきたので、恐怖を感じるほどの痛みを感じることはありません。10日後の4月9日に現在のVAS評価ではない相対的VAS評価(最初の痛みを10としてどれぐらいの痛みか)では10が1に軽減したものの、最近少し悪化してきているから、もう1度ブロックをしてくれと受診され施行しましたが、以後の受診はありませんでした。この方は令和1年7月(18年後)に右肩痛で受診されたのですが(プロレスラーのような特徴ある体型と失神しそうになったから絶対いやだの発言で私は記憶していました)、平成13年4月のブロック後、18年間腰痛や坐骨神経痛の再発はなかったとのことでした。神経根ブロックはそれほど効果を出すこともあります。

83才女 MR.jpg

次の患者さんは83才の女性です。平成27年10月30日車いすで受診されました。同年5月14日から9月21日まで整形外科病院に腰痛と両下肢の鈍痛(坐骨神経痛です)で歩行困難となり入院していたけれど、症状は軽減せず歩行可能とはならなかったとのことでした。腰椎MRI検査ではL3-4高位で重度の脊髄圧迫(脊柱管狭窄と表現します)を認めました。これが腰痛と両下肢の鈍痛の病因です。

当院ではこのように長期坐骨神経痛が継続している患者さんには、週に1回連続3回の神経根ブロックを行ってみることを勧めています。この方にも両側L4神経根ブロックをそのように行いましたが、歩行が可能となることはありませんでしたが、VAS8(とても痛い)は2(わずかに痛い)に軽減したとのことでした。

83才女 RB.jpg

その後、平成30年4月87才まで3年9か月にわたり月1回のペースで同ブロックを継続されました。87才の方が月1回の注射を続けたわけですから、注射自体がひどく痛ければ実現しない治療であろうと推察しています。

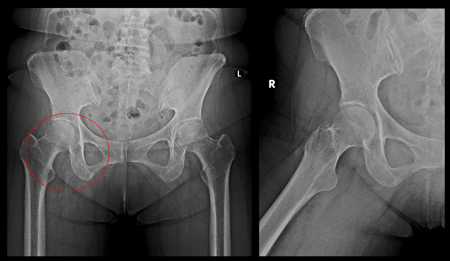
最期は60才の女性の方です。令和5年3月29日朝起床時に右腰に違和感を感じ、1週後には右下にして横になることができなくなり、右下肢(脚)にもしびれが発症し、症状が軽減しないということで、4月25日に当院を受診されました。当院受診時の主訴は右股関節痛となっていました。

60才女 Xp1.jpg

腰椎レントゲン像では目立った所見は認めません。

60才女 Xp2.jpg

パトリック兆候という股関節の異常を示す理学所見が確認されましたが、股関節のレントゲン像も異常を認めません。

60才女 MR1.jpg

股関節MRI検査では赤矢印は軽微な右股関節炎を示しますが、オレンジ矢印でも左股関節の軽微な股関節炎の所見が確認され、左右差はないと判断されます。

60才女 MR2.jpg

腰椎MRI検査では、L3-4とL4-5に軽度の椎間板ヘルニアを認めますが、中央上段のT1矢状断の右よりの画像でL3-4のヘルニアの方がL4-5のヘルニアより白っぽく目立ちます。これはL4-5ヘルニアが最近悪化したことを示す所見です。股関節痛は坐骨神経痛ととらえられるので、おそらく服薬では症状の軽減がえられないため、神経根ブロックを勧めましたが、患者さんは希望されませんでした。そのため鎮痛剤と筋弛緩剤を1週分処方しました。

以後、受診がなかったため、5月18日(初診から24日後)に電話で様子を尋ねると、症状は軽減していないが、注射は怖いと言っていました。私は再度最も効果が期待できる治療はブロックであることを伝えています。患者さんは6月15日(初診から7週後)に再診され、良くならないからブロックを受けてみるということでした。この時点で右股関節痛は軽減しており、右臀部から大腿部背側痛となっていました。右L4神経根ブロックを施行しています。

60才女 RB.jpg

6月23日(ブロック後1週)で受診され、VAS6の症状は0となり、何も困っていないということでした。患者さんは注射の痛みはさほどでなく、医師の勧めを無視して我慢していたのはバカみたいだったと述べていました。

以上の3例から受ける神経根ブロックの注射の痛みとブロックによる治療効果としての痛みの軽減を、あなたはどう受け止められるでしょうか。服薬で軽減しない腰痛・」坐骨神経痛は神経根ブロックの治療を試してみる価値があります。