足指の痛み その2 足に原因がないと言われても?

足指のちょっとした痛みで受診される患者さんがいます。それぐらいの痛み気にしなくてもいいんじゃないかと感じることもありますが、他の病気のついでに相談されることもありますし、長年その症状が気になっていて解決したいと願って受診される方もいます。そのような症例を2例提示してみます。

患者さんは82才の男性Kさんです。令和7年1月1日玄関に松飾りをつけようとして、1mの脚立から落下して第12胸椎の圧迫骨折を受傷しました。順調に症状は軽減し、骨粗鬆症の治療を継続していましたが、4月15日に受傷時とは異なる下側の腰痛の訴えと、左第1足指の指先に針で刺されるような痛みの相談を受けました。

82才男 Xp2.jpg

オレンジ丸の領域が第12胸椎圧迫骨折受傷時の腰痛で、4月15日に相談された時の腰痛は赤丸領域となります。

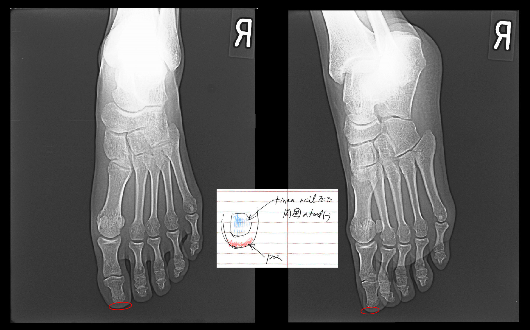
82才男 Xp1.jpg

Kさんの足・足指のレントゲンは撮影しておらず、提示するレントゲン像は他の患者さんのものを代用していますが、中央にカルテに記載した図の赤領域が患者さんが針を刺すような痛みを訴えていた部位です。診断上重要なことは左第1足指の痛みの部位に圧痛を認めないということです。圧痛とは局所を押してみて痛みが確認されれば圧痛+で、その局所に痛みの原因があると医師は判断し、押してみて痛みが出なければ、その局所には痛みの原因がないと判断することが多いのです。この患者さんの痛みの領域はごく限定的な領域ですから、そこに痛みを起こす病態があれば必ず圧痛をともなうはずです。例えば巻き爪で爪が皮膚に食い込んで痛みを起こす場合がありますが、その場合には爪の周囲を押せば痛く、患者さんは押されるのを嫌がるものです。トゲが刺さって痛い場合も同様です。しかしKさんの足指には圧痛がないのですから、医師は左第1足指の足先には痛みの原因がないと判断するのです。では、痛みの原因はどこにあるのでしょうか。Kさんは足指の痛みとともに腰痛を訴えています。私は左第1足指の痛みは腰が原因で起きた坐骨神経痛の一症状だと判断しました。このようなことは時々あるものです。

82才男 MR1.jpg

腰椎MRI検査ではL45で重度の脊髄の圧迫(赤矢印)が確認されます。第12胸椎圧迫骨折に起因するオレンジ丸領域の腰痛が軽減して、元々あった腰椎の老化による脊髄圧迫による腰痛と右足指の坐骨神経痛が症状を出したのだと判断します。そこでL45高位で足指の痛みある左側の神経根ブロックを施行しました。

82才男 Xp3.jpg

2週後の5月1日に再診されたときにVAS6の腰痛は0に、VAS4の左足指の痛みも0に軽減していました。左第1足指の指先の針を刺すような痛みは腰に起因する坐骨神経痛であったで間違いないと思います。

次の患者さんは44才男性のSさんです。令和5年1月13日に当院を受診されました。数年前から右第1足指の内側に感覚の違和感があったとのことですが、最近指先に針で刺すような痛みが出てきたので受診したということでした。赤丸領域が違和感の部位で赤矢印が針刺すような痛みの部位です。

44才男 Xp1.jpg

しかし、重要なことは痛みの部位にも違和感の部位にも圧痛は確認されないということです。すると痛みと感覚の違和感の原因は右第1足指ではないということになります。通常このような場合に原因として可能性が高いのは、82才のKさんと同様に腰となります。

44才男 Xp2.jpg

腰椎のレントゲン像では坐骨神経痛を起こすような所見は確認できません。しかし、第1腰椎の上縁が陥凹しています。Sさんは10年前の平成25年1月24日にスノーボードで尻もちをついて第1腰椎の圧迫骨折を受傷し、当院で加療していたのです。

44才男 MR.jpg

その時のMRI画像となりますが、圧迫骨折を発症した第1腰椎の右上の水平断では脊髄の軽度~中等度の圧迫の所見が確認できます(赤矢印)。第12胸椎(Th12)と第2腰椎(L2)高位での脊髄は円形または楕円形の形態です。第1腰椎での脊髄の圧迫が右第1足指の違和感の原因となってもおかしくはないと考えます。令和5年には腰椎MRI検査は行っていませんが、松飾りで受傷したKさんのように腰椎の下位レベルで加齢による椎間板ヘルニアが起きていて、第1腰椎の変形と椎間板ヘルニアの相乗効果で右第1足指の痛みとなっていたかもしれません。とにかく受傷後間もなくの数年前から右第1足指の違和感が続いていたわけですから、その違和感は第1腰椎の圧迫骨折とそれにともなう脊髄圧迫に起因しているという理解で良いのではないかと私は考えます。Sさんにとって右第1足指の痛み生活に支障があるほどではなく、長年気になっていたということの方が大きな問題であったのだと推察します。Sさんは私の説明に納得して、それ以上の検査や治療は希望されませんでした。

足指の痛みの場合、局所に圧痛が確認されるのかされないのかで、診断と治療方針は異なってきます。