中高年の方の中足骨疲労骨折 若年者のように原因がはっきりしないことも多い

中高年の方の中足骨の疲労骨折も時々みられます。若年者のようにスポーツによるということはまずなく、通常は日常の作業負担や歩き過ぎということが原因となります。家族でディズニーランドに出かけたら足が痛くなったというような経過であれば、疲労骨折は診断しやすいと思いますが、通常の仕事をしていて発症する場合の方が多いように感じます。

まず、スポーツ愛好者の記事同様に足部の構造を提示します。中足骨という骨の名前とMP関節という名称だけは記憶してください。

足の骨格.jpg

76才の無職の女性です。令和5年8月5日に1か月前からの腰痛で受診され、神経根ブロックという注射の治療で症状は軽減しています。8月16日腰痛が再発して受診されましたが、いっしょに2週間前からの右足背部痛の相談を受けました。見た目にも右足は腫れていて、皮膚色も赤みを帯びています。

76才女 初診時指針.jpg

患者さんは腰痛のためにあまり動かないようにしていたと言っていました。下図の赤丸が痛みの領域です。圧痛は第2第3中足骨に認めました。経過からは全くおかしいのですが、中足骨の疲労骨折を疑います。

76才女 Xp1.jpg

当然ですが、レントゲン像は異常はありません。

76才女 MR1.jpg

この方の場合、時間の都合で(通常は左右の画像を比較するのですが、)右足しかMRI検査を行っていません。STIRという条件の矢状断(足を縦に切った画像)と水平断(足を真横に切った画像)となりますが、右側の第2中足骨部では矢状断でも水平断でも骨内が白くなっています。左側の第3中足骨は異常を認めず、下側の水平断で第2中足骨の周囲が白くなっていて、これは骨膜炎の状態です。STIR条件で白くなっている所見は出血しているのと同じイメージで骨や骨膜が損傷している状態を意味します。歩き過ぎということもなく、過剰な作業負担がかかったということも把握できないのですが、疲労骨折の状態です。

腰痛もあって痛み止めの処方を行い、若年者で適応している当院独自のインソールEという中敷きの治療を行いました。

8月31日(15日後)に再診され、ご主人がなくなったということで左腰痛に対して神経根ブロックの治療を実施していますが、右足部痛の訴えはありませんでした。

76才女 Xp2.jpg

11月9日にも腰痛で受診されていますが、その時の右足の状態とレントゲン像となります。初診時赤みを帯びて腫れていた右足は正常化しており、レントゲン像では第2中足骨に骨が形成されているのと、関節部分の一部に凹みが観察されます。骨の陥凹が起こるとともに骨形成が起こり治癒したと理解されます。

次の症例は74才の女性で、北海道在住の息子さんのところに長期出かけていて、令和7年5月7日玄関で転倒し左手関節と左足関節の軽微な骨折を受傷され、地区の病院の整形外科に通院していたのに3か月半経過しても(当初の受傷部位=左足関節と異なる)左足背部痛と左母指・示指(人差指)の痛みが続くためにリハビリを続けていた患者さんとなります。8月24日に当院を受診されました。

74才女 初診時.jpg

初診時の写真からは、左足部全体が少し腫れているが分かると思います。

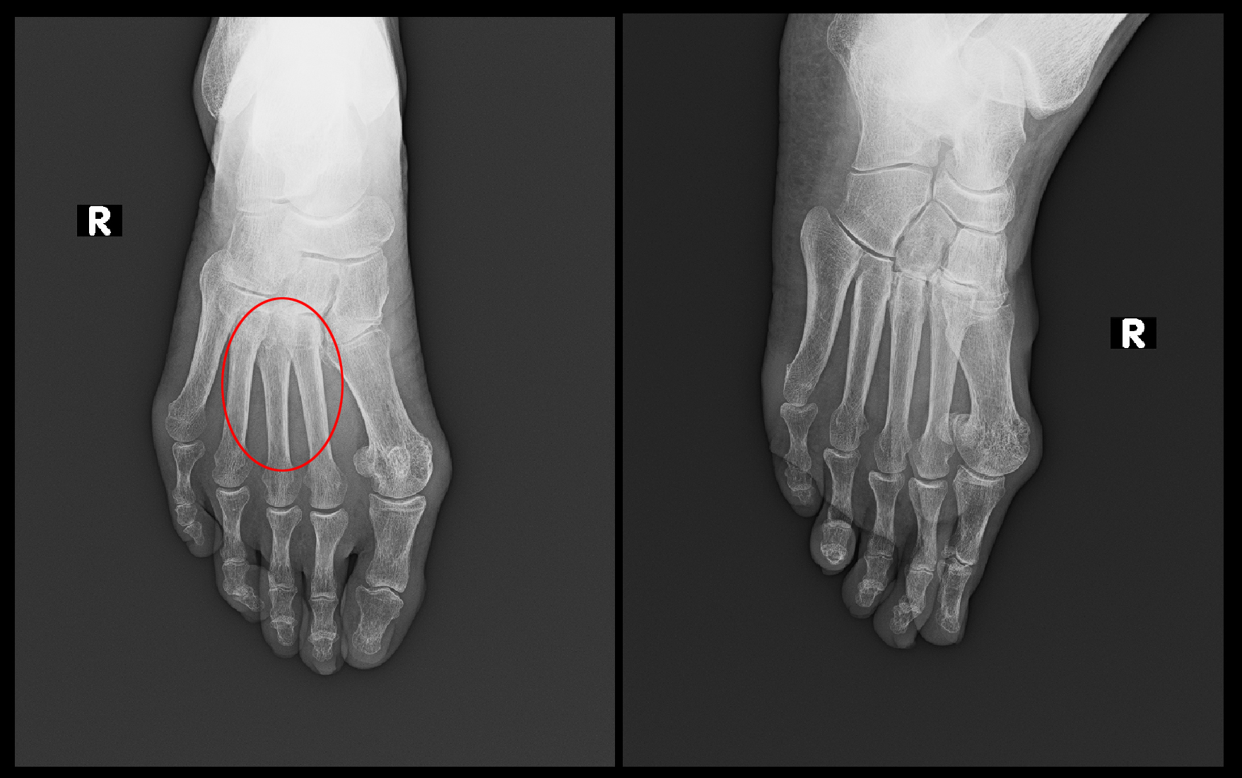
74才女 Xp1.jpgレントゲン像からすれば、左手関節も左足関節もどこが骨折だったの?というほどの軽微な骨折で普通の治療であれば2か月も経てば問題なく治癒していていいような骨折でした。左足部の骨は異常を認めません。

私の診断では左母指・示指痛は骨折とは直接関係のない腱鞘炎であり、左足背部痛は左第2~第4足趾MP関節に圧痛を認め、関節炎を疑いました。(※部位別の診療例の提示“足” 「足指の痛み その1」を参照してください。)左足部痛に対してはMRI検査を実施しています。また、患者さんはリハビリで左手指を動かされると、とても痛かったと言っていましたが、当院での腱鞘炎の1回の局所注射で治癒しています。

74才女 MR1.jpg74才女 MR2.jpgMRI検査の結果はMP関節炎ではなく、左第3中足骨の疲労骨折でした。STIRの条件で矢状断でも水平断でも第3中足骨が高輝度と(白く)なっています。患者さんは左手も左足関節も骨折後なのですから、必要以上に歩いたり、作業をしたりしたとは思えません。左手指の痛みもそうですが、この左足背部の痛みも不適切に過剰なリハビリが原因となって起こっていた可能性が高いと私は推察します。

74才女 写真2.jpg処方とインソールEの中敷きで治療していますが、初診の11日後の9月4日の写真では左足の足関節よりで血管所見が正常となっており、腫脹が軽減していることが分かると思いますが、痛みはVAS6(けっこう痛い)がVAS2(わずかに痛い)に軽減しており、9月18日(4週後)に治癒となりました。

MRI検査を適応しない不適切な診断による漫然とした治療では、かえって病状を悪化させる可能性があることが分かります。