足指の痛み その1 モートン病って本当?

足の前方部(足指のつけ根)の痛みをインターネットで検索すると、モートン病(モルトン病)という病名が出てくるのではないかと思いますが、私は「モートン病の可能性はほぼない」と宣言します。40年間整形外科診療を行っていて、モートン病と診断できた症例がないからです。そして、開業以来、モートン病と以外の診断名で多くの足前方の痛み(または足指の痛み)を解決してきました。

この記事ではそのような前足部の痛みについて提示したいと思います。まず、足指の関節の名称を提示します。第1足指と第5足指にはPIP関節がありません。足指は3つの骨(基節骨・中節骨・末節骨)から成り立っていますが、第1足指は元々中節骨が存在していません。第5足指では退化して中節骨がなくなってしまったために、2つの足指ではPIP関節がなくなり、IP関節という関節名となるのです。

足趾の関節の名称.jpg

まずは、患者さんが右足痛はモートン病だと思うと言って受診された55才の女性の症例です。

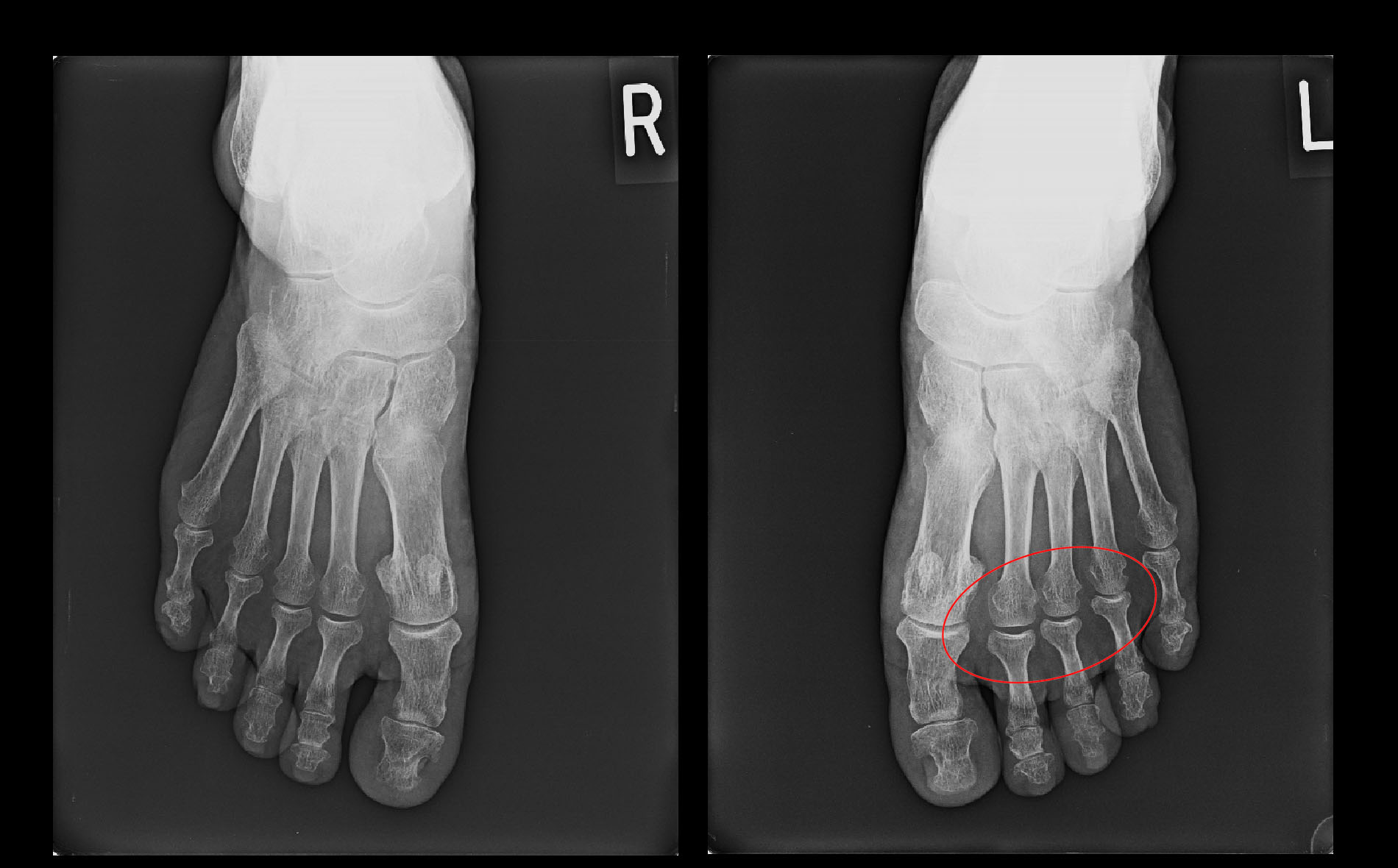
患者さんは令和4年9月27日レントゲン像の赤丸部分の足底領域の痛みで受診されました。8月下旬に発症し、立ち上がり時の歩行開始時の痛みはVAS8(とても痛い)でした。手で右足の前方部を握るようにすると痛みが出るということでした。赤丸部に圧痛は認められませんでした。

55才女Xp1.jpg

私はモートン病と診断した症例はなく、経験的には足部のMP関節炎の症例が多いと説明しましたが、同関節炎の場合、同関節を足背部から圧痛をチェックすると圧痛+となりますが、この患者さんでは同関節部の圧痛は確認されませんでした。

MRI検査を提示します。STIRの水平断という画像です。

55才女MR1.jpg

オレンジ矢印は左の青矢印に比して白い領域が広がっており、右第2足指のMP関節の軽度の関節炎を示しますが、圧痛が認められなかったため、有意な所見とは評価しません。赤矢印は第2足指の関節炎ではなく、足指を動かす腱の腱鞘炎と評価される所見です。この患者さんの痛みの部位は足底側ですので、私の診断は第2足指の腱鞘炎となります。腱鞘炎に対する局所注射を施行しています。

2週後の10月11日の再診時には痛みはVAS8→0となりました。3か月後に左頚部痛で受診されていますが、右前足部痛の訴えはありませんでした。

モートン病ではないかと受診されたこの患者さんの診断となった足指の腱鞘炎もかなりまれな病態です。

次は、比較的良く見かける前足部痛の病態を提示してみます。

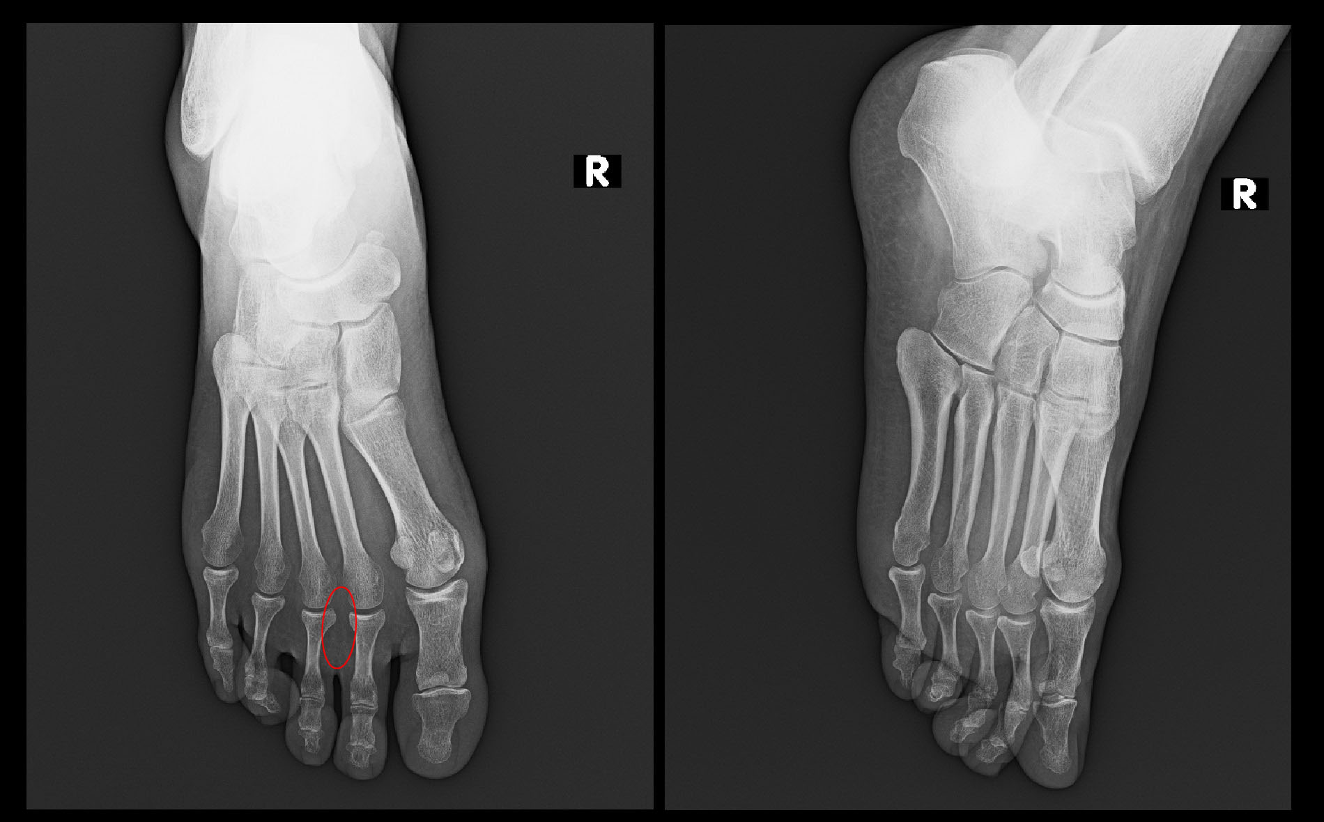
76才男性で理容業をされている方でした。平成24年9月11日に当院を受診されました。2週間前より、左足レントゲン像赤丸領域に痛みがあり、普通に歩けず、左足の外側を設置させ内側を浮かすようにして歩いて受診されました。私はきっかけとなるような変わった作業はしませんでしたかと尋ねると、その5日前に床屋用のイスを押して移動したと言っていました。

76才男 Xp1.jpg

圧痛は第2足指のMP関節(足背部)に認めました。

76才男 MR2.jpg

MRI検査では第2足指(足趾)MP関節に関節炎を認めます(赤矢印)。オレンジ矢印は皮下の炎症または第2足指の伸筋腱の腱炎ともみれます。

76才男 MR1.jpg

第3足指(足趾)のMRI所見では、第2足指ほどの関節炎は認めず、皮下または腱の炎症が確認されます。

圧痛を認めた第2足指のMP関節に関節炎を軽減させるステロイドの関節内注入療法を施行しました。

76才男 Xp2.jpg

以後、患者さんは再診されなかったため、3週後の10月1日に電話で経過を確認すると、当初の痛みを10とすると2~3に軽減していて、屋内歩行は問題ないが、革靴を履くと痛みがあるということでした。私がもう1度関節内注入を行うとより改善する可能性がありますと伝えました。10月7日に再診され、2度目の右第2足指MP関節内ステロイド注入を施行しました。その後も受診されなかったため、12月30日に電話をかけると、2回目の関節内注入後、3日で症状は治癒したとのことでした。

2例、関節内注入で治癒した症例を提示しましたが、この治療で治癒しない(繰り返し症状を再発する)症例もそれなりにあります。

その典型的な症例を提示したいと思います。

63才の女性で12年前から当院で慢性関節リウマチの治療を続けていた患者さんです。令和3年11月15日にかなり以前から左第1足指のMP関節にしびれ・違和感を感じていたが、最近は足の着き方によりVAS4程度の痛みとなったということでの相談でした。その時のレントゲン像です。

67才女RA Xp1.jpg

右第1足指MP関節の赤矢印が左第1足指の同部より関節の隙間が幾分狭くなっていて、リウマチによる変形性関節症化の所見と評価されます。

令和6年2月20日には2週間前から左第1足指のMP関節は歩行時VAS5の痛みとなり、同関節が背側位とならないように気を付けて歩いているという訴えとなりました。同日のレントゲン像では令和3年11月(オレンジ矢印)よりさらに関節の隙間は狭くなっていると評価されます(赤矢印)。

67才女RA Xp2.jpg

ここに先に提示した対応のステロイドの関節内注入治療を同日(4月16日)に施行しました。一定の効果がえられましたが、再発し、6月11日、11月7日、11月14日、7年4月14日、8月4日と計6回行いました。再発し治癒とはなりません。

令和6年患者さんは67才となっていましたが、11月7日に痛みはVAS5~8であるということで、左足のMRI検査を施行しました。

67才女RA MR1.jpg

左第1足指MP関節では関節炎も確認されますが(オレンジ矢印)、中足骨の関節部の骨が正常では黒くなるのですが、白くなっており骨の損傷状態(赤矢印)が確認されました。第2足指・第3足指のMP関節にも関節炎の所見は認められますが、患者さんは痛がっておらず、圧痛も認めません。

ステロイドの関節内注入では治癒にもっていくことができないと判断し治療方針を変えて、注入薬剤をステロイドから変形性膝関節症で適応されている変形老化予防のヒアルロン酸製剤に変更して、1週間に1回連続5回関節内注入してみましょうと提案し、了承をえました。

67才女RA Xp3.jpg

令和7年10月28日からヒアルロン酸の関節内注入を開始し、11月25日に5回目の注入を行いました。以後は2週に1回で継続しましたが、令和8年1月6日には痛みはVAS0~1ということでヒアルロン酸の関節内注入は経過をみることにしました。

このリウマチの女性の第1足指MP関節へのヒアルロン酸の関節内注入の適応は、他の同足指MP関節へのヒアルロン酸の関節内注入で劇的な改善がえられた患者さんがいたことで適応してみたのです。

74才の女性で令和3年10月7日に1年前から左第1足指MP関節痛が続いているということで受診されました。内科で痛風の治療薬の処方を受けているということでした。足の第1足指MP関節痛は男性であれば痛風の可能性が極めて高いと判断しますが、女性でも時には痛風の方もいます。しかし、痛風の薬を服用し続けているのに症状は改善していないのですから、痛風の痛みではないはずです。

レントゲン像では左第1足指のMP関節は関節の隙間はかなり狭く、骨の端はとがっていて中等度~重度の変形性関節症の所見です。この患者さんにヒアルロン酸の関節内注入を施行してみました。

74才女 Xp1.jpg

1週後の10月14日にはVAS6の歩行痛は0となりました。2度目のヒアルロン酸の関節内注入は行いましたが、当初予定した5回の連続の注射は2回で終了となりました。

67才のリウマチの女性の場合には、リウマチという関節炎の病状があるため、リウマチの関節炎にはステロイドが効果を示すはずという強い思い込みがあって、ヒアルロン酸の関節内注入を考慮するのが遅れてしまいました。ステロイドの足指のMP関節への関節注入で症状の軽減治癒がえられている患者さんは少なくないので、MRI検査で関節炎が確認されれば、私はステロイドの関節内注入を勧めています。しかし、再発する場合、変形性関節症の所見が明瞭の場合にはヒアルロン酸の関節内注入の適応を勧めることになるかと考えます。