FAI・股関節の骨性構造が原因となって発症する痛みがリハビリで軽減する?

16才の高校1年バドミントン部の男子生徒S君です。令和6年8月に両側股関節に違和感が発症し、部活の練習でVAS4(多少痛い)の痛みを感じていたようです。令和7年2月には自転車をこいでいてもVAS4の痛みを生じ、3月1日に当院を受診されました。練習でもVAS4の痛み、通常の立ち上がりでもVAS4の痛みがあるということでした。

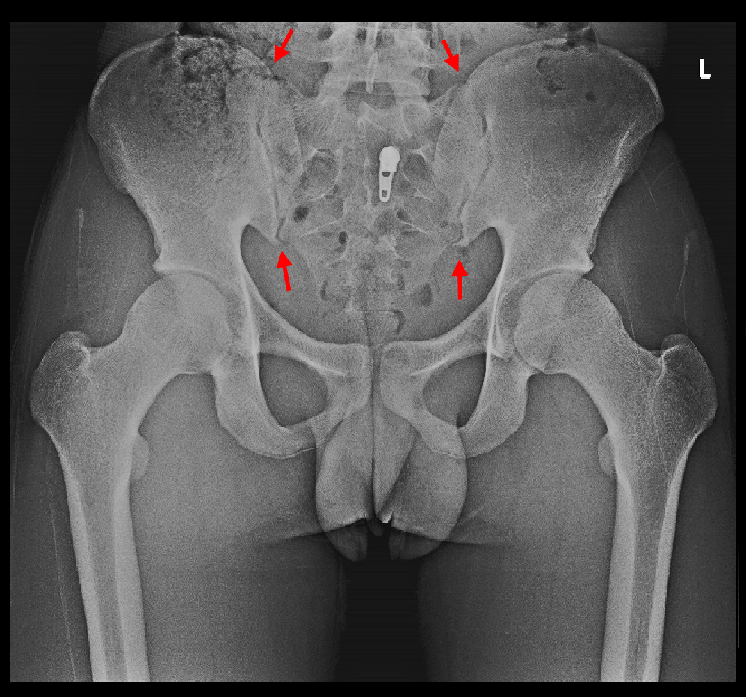
16才男Xp1.jpgS君の場合、レントゲン像で軽微なのですが、異常が確認されます。整形外科でFAIと呼ばれる所見です。FAIとはfemoral acetabular impingementの略で、日本語では大腿骨寛骨臼インピンジメント(インピンジメント=衝突)となります。右側の側面像では赤矢印の部分で大腿骨の骨頭部がわずかに肥厚しています。

FAIを説明する前に股関節の解剖の概略を提示します。

16才男図2.jpg

股関節は寛骨(解剖学的には腸骨・恥骨・坐骨という3つの骨が1つになった骨を寛骨と言います)と大腿骨から形成されており、大腿骨の頂上部は大腿骨頭と呼ばれ、その下のくびれた部分を大腿骨頚部(首)と表現します。大腿骨頭部がはまり込む骨盤(寛骨)側の陥凹部を臼蓋と呼ばれます。臼蓋部を取り囲むように赤く囲われた部分は関節唇という硬質ゴムのような軟骨となります。

16才男Xp3.jpg

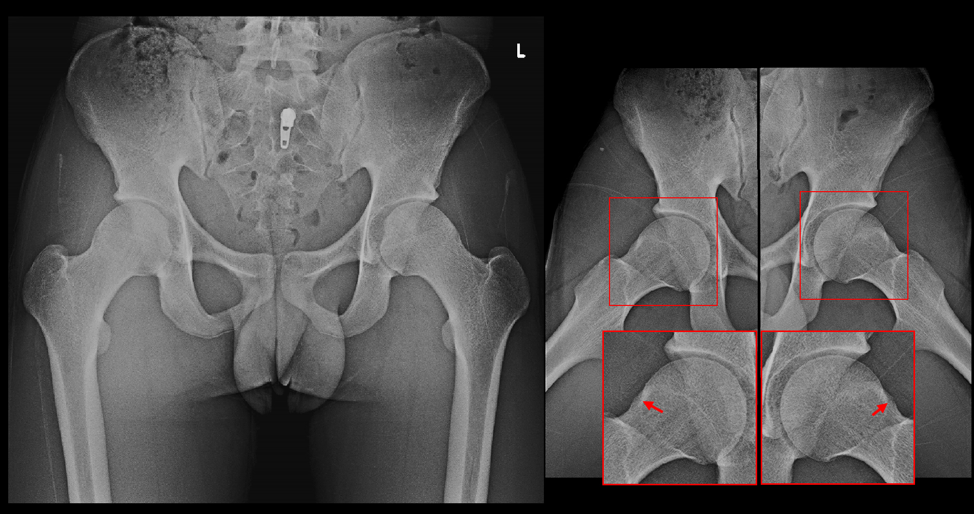
S君の股関節レ線像と正常男性の股関節レ線像を比較すると、微妙ですが大腿骨頭部の外側部分が少し盛り上がっています。これがFAIの原因となります。大腿骨骨頭の外側部が盛り上がっていると、股関節を屈曲していった時にその膨隆部が臼蓋の周囲の関節唇を圧迫して損傷することになるのです。

FAI.jpg

S君はハンドボールの練習、自転車をこぐ等の股関節の屈曲の動作で関節唇が傷ついて痛みを発症させていたと推察されます。

16才男Xp3.jpg

MRI所見では左側のSTIR画像では本来骨は黒っぽく描出されますが、両側大腿骨頭部は白黒まだらな模様で骨の炎症(こわれ)を示し、赤矢印はレントゲン像で骨が膨隆した骨の肥厚部分となります。右側のGR放射状断では臼蓋部の上縁部の関節唇(正常では黒い爪のような構造です)が、正常に比して右股関節唇は分裂し摩耗して円形状となっており、左股関節唇では骨との間の白い部分が広がっていて関節唇の炎症所見と評価されます。

発症してまもない症例や関節炎の所見のみられる症例では服薬で比較的短期に症状が軽減することも多いのですが、S君の場合発症して8か月経過しているため服薬だけでは症状の軽減が期待できないと判断し、初診1週後の3月8日から股関節の運動器リハビリテーションを開始しました。

16才男図5.jpg16才男図6.jpg

リハビリテーションの目的はレントゲン像の赤矢印の仙腸関節(脊椎の再下端部の仙骨と両側腸骨の関節)の動きを拡大誘導して、股関節の深い屈曲で大腿骨頭が関節唇を損傷する動きを緩和してやろうという対応となります。

16才男Xp4.jpg

4月5日の時点で、バドミントン時の両側股関節痛はVAS4から右は2~3に、左は1~2に軽減し、5月以降は自宅でのトレーニングが主体となりましたが、5月12日にはVAS0となったものの、自転車をこぐで違和感を残していました。6月21日に自転車をこぐ際の違和感も消失し、治癒となりました。