ちょっとした突き指で発症する手指のボタン穴変形 放置すれば一生変形したままとなってしまう

手指の外傷によるボタン穴変形という変形障害があります。ちょっとしたケガで発症することも多いのですが、その治療はけっこう困難でうまく行かない場合もあり、生涯にわたり変形が残ることも少なくありません。私は卒後10年ぐらいまでは千葉大学で手の外科を専門とする整形外科医でしたが、大学の手の外科診療でうまくボタン穴変形を治療できたという記憶が残っていません。開業後の診療でうまく治療できなかった症例を提示しますが、まず手指の関節の呼び方を提示します。整形外科医は和名が長いため、英語の略称で手指の関節を表現しています。

手指の関節.jpg

64才の女性で音楽教室の先生でした。平成23年5月17日に自転車のブレーキをかけたら、左示指PIP関節が屈曲位のまま伸展不能となり、右手で同指を伸ばしたそうです。腱が断裂したと推察されます。1週間後にA病院整形受診。打撲の診断で治療の対応はなかったそうです。まず、これが決定的にトラブルです。この時点で手術が検討されなければいけなかったと考えます。

手の診療は難しいことも多く、整形外科医なら全てちゃんと診断してくれるかというとそうでないことも多いのです。まして、整形外科医でない他科の当番医の手指の診療を信頼してはいけません。ホームページの部位別の診療例の提示“創傷について”「包丁で切った創は要注意 中学2年生が経験した悲劇」を参照してください。

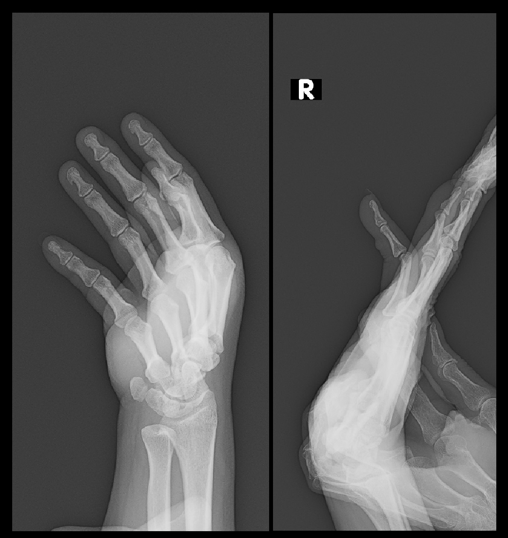
1か月経過してB病院整形受診。テーピングを指導され3週経過し、7月11日に症状不変で装具治療の適応とされ、業者が装具を装着したそうです。7月25日医師が装着状態の不備を指摘し装具の修正がされたそうです。担当医の診断は正しかったかもしれませんが、ボタン穴変形の治療が極めて困難であることを意識しておらず、他人(業者)任せの治療でした。手の外科専門医が診療してもうまく行かないことも多い、ボタン穴変形がこのような姿勢で良くなるはずがありません。参考までに千葉大の手の外科で同様の装具治療を行った記憶がありますが、しっかり改善したという記憶がありません。患者さんは担当医に不信感を感じ、8月1日受傷から2か月半経過して当院を受診されました。骨折はなく左示指伸筋腱皮下断裂と診断し、アルミシーネ伸展位で6週間固定の方針としました。開業後はこの治療方針で受傷3週間以内程度のボタン穴変形は良好に治療できてきました。しかしこの患者さんの場合、順調に経過せず5か月経過時点で、次図のような状態で当院初診時とあまり変わらぬ結果でした。この患者さんの場合、PIP関節の伸筋腱が完全に断裂していたために、良好な経過とならなかったのだと思われます。

64才 治療不良例.jpg

ここからは最近経験し良好な経過となった症例を提示しますが、まず手指の伸筋腱の構造とボタン穴変形の名前の由来について説明したいと思います。

ボタン穴変形2.jpg

伸筋腱は指の骨の上で上左図のような構造となっています。指の中央部にある伸筋腱と両サイドから上がってくる伸筋腱があり、それぞれ2つの部分に分かれ、また融合する形で指の骨についているのです。この構造は手の外科専門医でなければ正確には理解していないと言っていいと思います。伸筋腱のPIP関節付着部が外傷で断裂すると、その部位から手指の基節骨の先端部(頭部)が突出してくるようになるのです。右図のような状態です。両サイドの伸筋腱の間から突出した基節骨がちょうどボタンの穴から出てくるボタンのようなので、“ボタン穴変形”と呼ばれています。

しかし、ボタン穴変形は腱が断裂しなくても発生します。その理由を説明してみます。

人が寝ている時の手の状態はどうなっているでしょうか。

手指の状態.jpg

普通左図のような状態で寝ているはずです。右図のような手の姿勢で寝ている人はいないでしょう。不自然な肢位です。それは手指の筋肉は屈曲する側(屈曲筋)が伸ばす筋(伸筋)に比較して数段強いため、リラックスした状態では手指は握った状態となるからです。

突き指などでPIP関節がケガをするとPIP関節は関節炎を起こして腫れることになりますが、関節を包んでいる関節包という袋は指背側の強度が弱い構造となっているのです。その結果背側の関節包が腫れ、その上に乗っている伸筋腱は幾分引き延ばされることになります。

伸筋腱の弛緩.jpg

その状態が数週間続くと腱としての強度が弱い伸筋腱は弛緩して、外傷前と同様に手指伸筋がめいっぱい収縮しても腱は弛緩して延長してしまっているため、手指は伸びきらないという現象が起こり、伸筋腱の断裂がなくてもボタン穴変形が発生し、固定してしまうのです。

ここからは腱は断裂していないけれど、ボタン穴変形が発生した症例を提示していきます。

41才の医療従事者です。令和7年7月12日転倒して右小指から地面について、右小指PIP関節を脱臼し、自分で整復したそうです。当日当院を受診されました。脱臼は掌側に起きていたそうです。

41才女 Xp1.jpg

レントゲン像は、脱臼は整復されていて問題ありません。初診時、右小指は環指(薬指)とともに伸展位固定をしています。またボタン穴変形について、治りが悪い変形であることも説明しています。

41才女 フォト1.jpg

2週後の7月26日には仕事で邪魔だと固定のアルミシーネを除去して受診されました。ボタン穴変形が発生しています。このままでは変形が固定する(生涯変形が残る)可能性が高いことを説明し、関節の腫脹を軽減させるために関節内注射を行っています。ここからは小指単独の固定としました。

41才女 Xp2.jpg

このPIP関節造影レントゲン像で(赤矢印)伸筋腱は断裂していないことが確認されました。

41才女 フォト2.jpg

関節注入2週後(受傷4週後)8月2日の右小指の状態です。ボタン穴変形は大分改善しています。鎮痛剤ロキソニンと関節の腫脹を軽減するプレドニゾロン2.5㎎を1日2回で処方しています。8月9日もPIP関節の伸展が維持されていたため、しっかり3週間の固定を維持してから固定を除去しました。断裂していないので、それで十分であろうと判断しました。

41才女 フォト3.jpg

しかし、固定を外して2週間後の8月23日には右小指のボタン穴変形は再発していました。患者さんは同指の亜脱臼感があるためテープで固定していたと述べていましたが、その効果は不十分でした。この状態は受傷2週後の不完全なシーネ固定後の状態と同じです。私はこの時点で4週間しっかりとアルミシーネ固定を追加しましょうと説明し、患者さんも不徹底な治療では変形が(一生)残る可能性を理解して同意されました。

41才女 フォト4.jpg

シーネ再固定2週後の9月6日はボタン穴変形は改善しています。

41才女 フォト5.jpg

9月20日も改善は維持されていたため、シーネ固定は4週で外すことにしました。しかし、PIP関節の腫脹は残存すると評価してCRPS(※CRPSについては部位別の診療別の提示の「CRPS」を参照してください)に準じて、ノイロトロピン6錠とプレドニゾロン1㎎3錠の処方を開始しました。

41才女 フォト6.jpg

10月4日に伸展は軽微改善、屈曲は改善し、腫脹も改善と評価しています。さらに腫脹を改善するために、ノイロトロピン6錠と継続とプレドニゾロンを2.5㎎3錠に2週間増量して処方しています。

41才女 フォト7.jpg

ノイロトロピンとプレドニゾロンを再開して6週後の10月25日には右小指の腫脹はかなり改善したと評価されます。健側に比較するとまだ腫脹は残存していましたが。ここで処方は終了し、11月8日に状態が維持されていることを確認して、治療は終了となりました。

この症例の教訓としては、①ボタン穴変形に対しては伸展位のシーネ固定は5週以上しっかり行うべきこと、②関節の腫脹を軽減するプレドニゾロンの処方は6週前後は行うべきこと、③腱が断裂していなければ発症後7週程度までのボタン穴変形はしっかりとした治療対応を行えば症状軽減の可能性がある ということを把握できたと思っています。