坐骨神経痛 MRI所見は軽度・患者さんの訴えは重度 病因高位の決定も困難な症例

54才の女性で自営業のYさんです。令和7年9月18日左下腿部痛発症し、顔面の帯状疱疹を脳外科で加療していたため、同医院で投薬を受けるも症状軽減せず、その後左脚全体の痛みとなり、10月30日に当院を受診されました。腰椎に起因する坐骨神経痛と判断しました。

54才女 Xp1.jpg

腰椎レントゲン像は、L5S椎間板の狭小化を認める程度で年齢の割には加齢性所見は軽度であると評価できます。股関節MRI検査も行っていますが、異常所見は確認されませんでした。

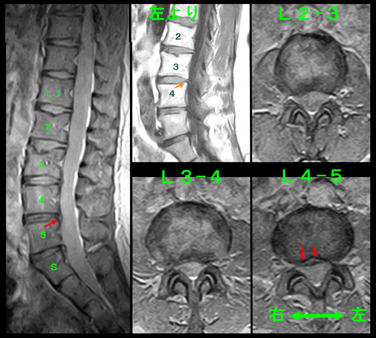
54才女 MR1.jpg

腰椎MRI検査でも目立った所見は確認されませんが、L23・L34・L45・L5Sの各椎間板に軽度の椎間板ヘルニアが確認されました。どこの椎間板が明確に脊髄を圧迫していて、それが坐骨神経痛の原因であろうと推察できません。しかし、医師は原因を見つけ出さなければなりません。そのような場合、私は4分割の左上のT1矢状断の画像のオレンジ矢印で示すL34の椎間板の突出が他の椎間板に比して白っぽくなっていると評価しました。私はT1の椎間板の突出部位が白い場合、そこが最近悪化した箇所であると判断しているので、Yさんの病因はL34の椎間板ヘルニアであろうと判断し、左L4神経根ブロックを施行しました。

54才女 Xp2.jpg

私は自信を持っていたのですが、11月6日の再診時の評価では、VAS8→7→8という経過で、全く効果がなかったと評価すべき経過でした。

文書1.jpg

赤枠の用紙は当院が準備する評価用紙ですが、Yさんは几帳面な方で1週間の症状の経過を朝・昼・夜と表を作って報告してくれました。元々患者さんの評価はVAS8(とても痛い)ですが、自身の辛い症状を少しでも改善したいという気持ちの表れと私は感じました。

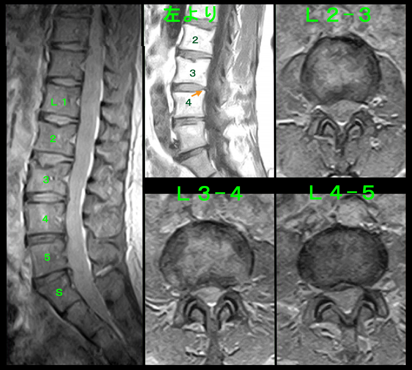
54才女 MR2.jpg

Yさんの痛みの原因はL34ではありませんでした。ならばどの椎間板なのかをMRI所見からみつけださなければなりません。するとT1の矢状断でL5Sの左側で他の椎間板高位より突出が認められ(オレンジ矢印)、4分割の下の2つの画像では左側で軽度の脊髄圧迫、右側では脊髄の外側に中等度のヘルニアがあるようにもみれると評価し、これが病因であろうと判断しました。左S1神経根ブロックを行い、1週間後に再診予定としました。

54才女 Xp3.jpg

2日後の11月8日にYさんは受診されました。VAS8→5という評価でしたが、痛みが強いので早期の診察を希望されたとのことでした。右下腿から足の外側の痛みで夜間どうしていいか分からないとも述べていました。

L5SがYさんの病因ではないと判断するべき経過です。また、MRI画像の見直しです。

54才女 MR3.jpg

元々MRI画像の水平断ではL45での脊髄は逆三角形となっていて、最も脊髄の圧迫の強い高位だったのですが、椎間板ヘルニアは右側で優位であるため、左坐骨神経痛を訴えるYさんの病因ではないであろうと除外していました(赤矢印)。でもYさんの病因はL34でもL5Sでもありませんでした。L23の水平断の圧迫はごく軽微ですし、これも右優位です。L34でもL5Sでもなければ、L45しかないと判断しました。同日、右L5神経根ブロックを施行しました。

54才女 Xp4.jpg

11月18日の評価ではVAS5→3に軽減していました。トアラセットという痛み止めも処方していましたが、悪心を感じ1回しか服用しなかったというので、Yさんの左坐骨神経痛はL45高位が原因であったと受け止めます。老化現象に起因する各部位の痛みの治療につては、VAS6以上の痛みを(慢性化させないように早期に)VAS2~3に軽減することが私の診療の基本方針です。Yさんの坐骨神経痛はVAS3となり、目的レベルに達しました。症状が軽減したことで、安心したYさんは私にサプリメントや、マッサージを受けることについて質問されました。質問したかったけれど、我慢していたということでした。

Yさんは、私は以前から知っている方で多少なりともお世話になっている方でした。そうであるからという訳ではありませんが、かなり辛そうにしているYさんの検査所見はごく軽度であり、診断や治療に当惑する面もありましたが、ホームページの最初の項目・診療の指針9に示すように患者さんの訴える症状は事実であると受け止め、とても辛い状態を良くしてあげたいと強く思いました。そして症状は坐骨神経痛であり、坐骨神経痛の最も有効な治療法は神経根ブロックであるという私の医療見解に基づき、試行錯誤することで治療の正解にたどり着けてほっとしました。このように診断がスムーズにできない症例もしばしば経験するところです。