中高年者の膝痛 治りにくい内側半月板後根部の損傷について

治りにくい後根部の損傷の説明をする前に膝関節の構造を提示します。

膝・解剖図.jpg

半月板は大腿骨と脛骨(けいこつ)との間にはさまって大腿骨と脛骨の接触面積を増やし脛骨が受ける体重の負荷を分散する機能を担っていますが、大腿骨と脛骨の間で無理な負担(動き)にさらされることで半月板はいろいろに損傷する可能性があります。

以下に損傷の形態を提示してみます。

半月板損傷の形態.jpg

ホームページの“資料や動画で学ぶ”の「町医者の考える変形性膝関節症と治療」の中で変形性膝関節の発症の契機は半月板の亜脱臼であると述べていますが、加齢現象としての膝の損傷は半月板の亜脱臼とともに半月板の損傷が起こります。亜脱臼は半月板の損傷の前に起こる現象と考えて良いと理解しています。半月板の損傷の中で老化現象として最も多いのは水平断裂です。

水平断裂のメカニズム.jpg

大腿骨の動きにより、半月板は上方の大腿骨側と下方の脛骨側の間でずれるような力が加わり、結果半月板はサンドイッチがスライスされるような切れ目が入っていき、水平断裂となるのです。損傷というはっきりとした外力が加わらなくても、水平断裂は膝の動きと半月板への体重負荷と加齢という半月板の劣化により日常生活の中で自然に発生し、進行していきます。それに比して他の損傷は半月板に一定無理な(過大な)外力が加わり、半月板は引きちぎられるような損傷となります。水平断裂は断裂が生じても、損傷部位には日常的な大腿骨の回転の力が働くことで半月板の摩耗は進行し、断裂部は徐々に薄くなっていき、自然に消失していくという経過となります。変形性膝関節症では半月板が摩耗して消失するべきような劣化した部分が消失するまでは痛みを発生しますが、それ以上半月板が消失しないところまで摩耗が進むと痛みは落ち着くという経過になると考えられます。この際、半月板とともに(骨に載っている)関節軟骨も摩耗し損傷するわけですが、その関節軟骨の損傷摩耗も落ち着くことが必要です。繰り返しですが、加齢による日常的な損傷では水平断裂が多く、その痛みの軽減は比較的短期にもたらされることが多くあります。

しかし、前図でしめしたような過大な外力によって発生する半月板損傷ではなく、日常の老化現象で比較的簡単に発生して治りにくい半月板損傷の形態があります。それは内側半月板後根部の損傷です。内側半月板後根部損傷の症例を提示したいと思います。後根部とは内側半月板が脛骨の中央部の背側側で骨にしっかりと固着する部位となります。

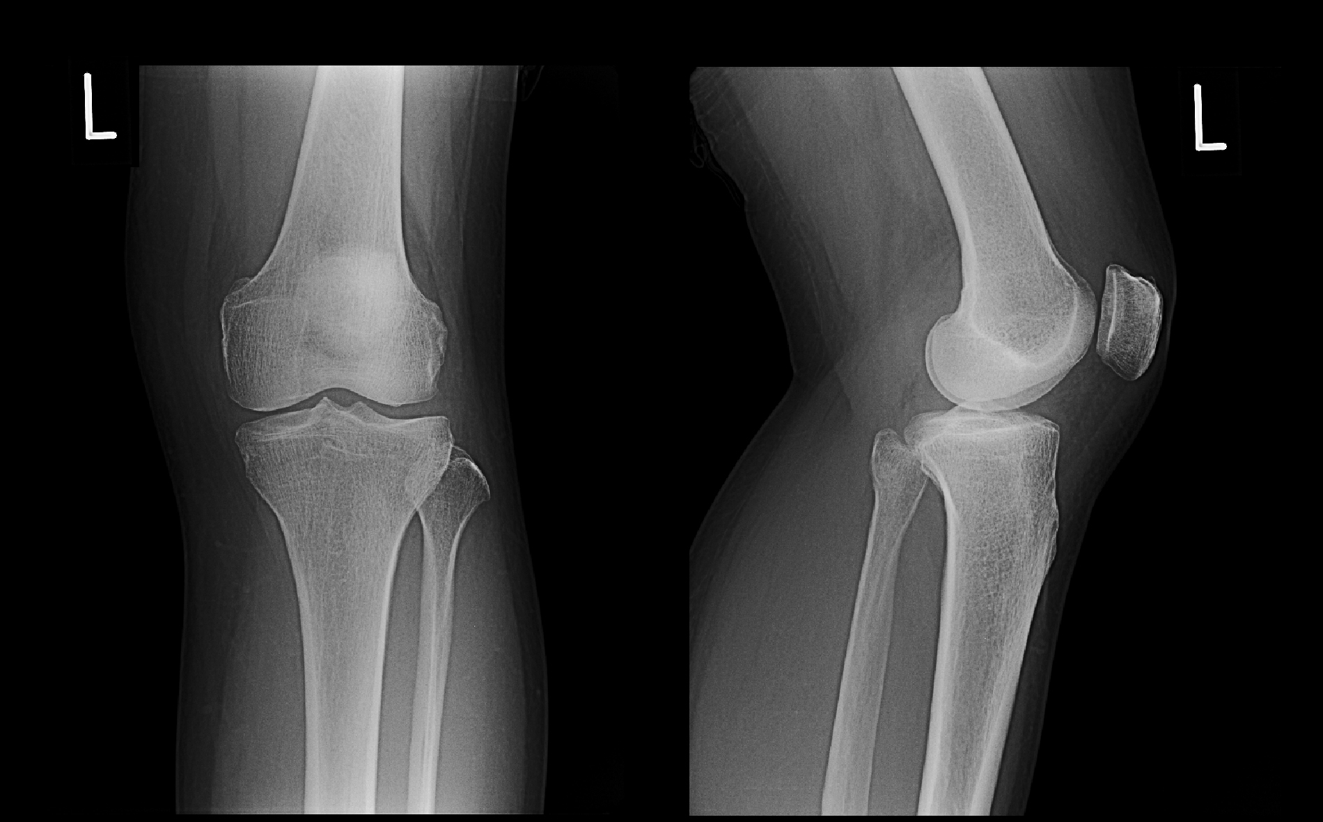
66才の女性で訪問看護師をしていた方です。平成29年ボランティアの会議で6時間座っていて立ち上がりの際に左膝痛が発症し、6月19日に当院を受診されました。左膝は軽度熱を持っており、内側半月板に圧痛を認めました。鎮痛薬と関節の腫脹を軽減するプレドニゾロンという薬を1週分処方して経過をみることにしました。

66才女Xp1.jpg

6月22日車から降りた時に左膝に腫脹感を感じ、その後横断歩道を小走りで渡る時に左膝窩部(膝の背側部です)がギクっとなり、左膝が伸展困難となったそうです。6月23日に当院を受診されました。同日、膝MRI検査を施行しています。

66才女 MR1.jpg

GR冠状断(前後像)です。左膝赤矢印が内側半月板の後根部となりますが、健側右膝は内側半月板は黒く描出されていますが、左膝後根部は白くなっており、損傷(=変性)して出血しているようなイメージです。内側半月板の内側縁よりも白くなっており(オレンジ矢印)、損傷していることが分かります。

66才女 MR2.jpg

GR矢状断(横から見た画像)です。健側右膝では青矢印の内側半月板は中央で黒くしっかりと脛骨に付着しています。しかし、左膝の内側半月板後根部は白くなっており、脛骨から剥がれそうな状態です。左膝へのヒアルロン酸の関節内注射を週1回、連続5回行つとともに服薬で治療しました。ヒアルロン酸の関節注射は5回施行後は2週に1回で継続しています。同年の9月2日まで2か月半加療して、症状は軽減傾向があって通院は終了しています。

翌年2月にその後の経過を電話で確認しましたが、無理すると左膝痛が悪化することを自覚できたので、通院中に訪問看護の仕事は退職したとのことでした。私のアドバイスに沿って正座はしない、重量物は持たない、無理をしないを意識していれば、10分程度の歩行や立位作業は問題なく行えるが、それを超えると左膝の腫脹感と痛みが出てくるとのことで、患者さんはその状況に満足しており、それ以上の積極的な治療は希望されていませんでした。

まあ、十分に回復したとは言えませんが、内側半月板後根損傷に対する2か月半の治療の結果としてはかなり良い方ではないかと思います。

もう1例提示します。

63才の女性Kさんで、週3~4回社交ダンスをしている方です。平成22年3月初めに左膝痛を発症し、4月10日に当院を受診されました。立ち上がり時や歩行の向きを変える時に痛みを感じるそうです。内側半月板の後方に圧痛を認めました。

63才女 Xp1.jpg

投薬を行いましたが、4月16日に外出時に左膝がぶちっと言って、普通に荷重(体重をかけること)ができなくなりました。4月20日どうにか荷重が可能となり、MRI検査を施行しています。

63才女 MR1.jpg

GR冠状断(前後像)ですが、当時は赤矢印の左膝内側半月板の変性(=損傷)にのみ目が行き、それに起因する左膝痛と診断していました。令和6年10月にこの画像を見直しては黄色矢印で左膝内側半月板は後根部が白くなっており、後根損傷が起きていたことを把握しました。

63才女 MR2.jpg

さらに令和6年のMRI画像の見直しでは、内側半月板の亜脱臼も確認され、後根損傷が明瞭に診断されました。Kさんの左膝痛は治りにくいタイプの加齢性の状態(変形性膝関節症の初期)であったと理解して良いと思います。4月26日からヒアルロン酸の関節注射を開始していますが、5月28日にはKさんは「治りますか?」と質問しており、後根損傷や亜脱臼について認識していなかった当時の私は「治ります。月単位で経過をみてください。」と答えています。6月24日にも10月1日にもKさんからは「ダンスができない」と訴えられています。7月1日から2度目の連続5回のヒアルロン酸の左膝関節注射を行っています。10月30日に階段の昇降が慎重に交互にできるようになったと報告されていて、11月15日に私はダンスに少しづつ挑戦してみてくださいと言っています。そして12月10日以後受診がなくなりました。初診後8か月経過していました。

参考ですが、この方の70才時のカルテの記載では身長153㎝、体重47㎏と中肉中背の女性です。

Kさんはその後もダンスは続けておられ、7年後の平成29年5月と、30年7月にも両膝に対して連続5回のヒアルロン酸の関節注射を施行しています。以後は2~4週に1回で膝の関節注射を継続していました。

Kさんは9年後の令和1年8月末に左膝痛の増悪を訴えられ、ダンスが困難となったと相談を受けました。9月9日から3度目の連続5回のヒアルロン酸の関節注射を行っています。ダンスは週3回で継続されています。

令和2年3月から4か月左膝のヒアルロン酸の関節注射を休止しています。同年7月から右膝に2度目の連続5回のヒアルロン酸の関節注射を行っていますが、8月に信号で小走りをして右膝痛が悪化し、以後令和3年1月までダンスができなくなっています。

63才女 MR3.jpg

8月25日のMRI検査では左内側半月板の後根部から後方部分の変性(白く見える所見:オレンジ矢印)は進行し、右膝内側半月板も(赤矢印)後方で変性が起こり、後根部で断裂を生じていることが確認されました。

令和3年以後は両膝に月1回のヒアルロン酸の関節注射を継続しながら、週4回でダンスも続け、令和5年11月には77才で仙台でのワルツの大会にも出場されています。

Kさんの場合、左膝内側版月版の後根部損傷という治りにくい膝痛から社交ダンスへの復帰に8か月を要しましたが、その後も膝痛と向かいながらダンスを続けておられます。肥満傾向がないという好条件があって可能な運動と理解します。

63才女 Xp3.jpg

レントゲン像は77才で仙台のダンス大会に出場した頃のものです。右膝に比して左膝では大腿骨の内外縁での骨棘形成が目立ちますが、関節の隙間の狭小化は左右とも目立たず、レントゲン所見では軽度の変形性膝関節症の状態です。

半月板の後根部損傷は治りにくく、手術を勧めるインターネット記載も見られますが、私の経験では時間がかかるものの、大きな日常生活への障害のないレベルに改善していくことが可能であると理解しています。