2人の骨のガン患者

29年の整形外科開業医の生活で強く印象に残っている骨のガンの患者さんの話をします。

50才以上の高齢者の腰痛では腰へのガンの転移で腰痛を起こしている患者さんがまれにいます。1年に1~2人ぐらいはそのような方を診断しているでしょうか。当院の問診票ではそのような可能性を表記し、「50才以上の腰痛や若年者の膝痛などでは、 極めてまれに悪性の病気(高齢者ではガンの転移)の場合があります。そのような場合、あなたは告知を希望されますか?」と質問しています。

MRI検査では重度の骨粗鬆症でいくつもの腰骨の損傷が診断され、ガンの転移かどうかの判断が難しい場合もありますが、そうであってもより検査を進めていくにはガンの転移の可能性も説明しながら診療していかなければならず、非常に切ない思いを持ちながら気持ちを奮い立たせて患者さんと向き合うことになります。

そのような患者さんの話を2例させていただきますが、少なくとも70才を過ぎたならば、いつそのような告知を受けるかわからない、そのような気持ちを持って生きていくことが必要ではないかと私は考えます。

1例目は72才の男性、Oさんです。

令和X年Y月14日に右下肢痛(坐骨神経痛)で当院を受診されました。痛みの程度はVAS8でした。※VASについては部位別診療例の提示の“痛みについて”を参照してください。レントゲン像は良く見かける72才の男性の老化した腰椎像です。

74才男 Xp1.jpg

この症状は腰に由来する坐骨神経痛であるので、腰椎MRI検査を行いました。

74才男 MR1.jpg

L34に中等度~重度の、L45に重度の、L5Sに中等度~重度の脊柱管狭窄の所見が確認され、L45に起因する症状と判断し、右L5神経根ブロックを施行しました。

74才男 Xp3.jpg

Y月21日にVAS8→4に軽減し、それなりに効果がえられたと評価可能ですが、全ての疾病で私の治療目標は日常生活に支障のあるVAS6以上の痛みをできるだけ早期に注射や薬でVAS2~3にコントロールするという方針です。VAS4・5については微妙なレベルの軽減であり、そのような場合にはもう1度神経根ブロックを行う対応と、薬で様子をみるという対応を提案しています。この方の場合には薬で経過をみるで良いということで、ボルタレンという鎮痛薬で経過をみました。4か月後Y+4月8日まで薬の処方を受けられ、以後受診はなくなりました。

1年1か月後の令和X+1年Y’月4日にOさんは腰痛と右下肢痛で受診されました。Y’-1月25日に発症したということで、X年Y月に発症した坐骨神経痛は落ち着いていたのだと思われます。私は「令和X年Y月と同じ痛みなので、同じ神経根ブロックで症状は軽減するでしょう。」と説明し、同日右L5神経根ブロックを施行しました。Y’月14日の再診ではVAS8→2→8という経過で、ブロックでVAS2に軽減したわけですからブロックは十分効果がえられたと判断でき、診断自体は問題ないと考えます。しかし、VAS8に戻ってしまっており、そのような場合はしばしばあり、同様のブロックをさらに1~2度繰り返すことで症状は徐々に軽減していくことが多くみられます。そこで再診日にも同じ右L5神経根ブロックを施行しました。11月19日にはVAS8→7の経過で前回のような効果がえられていません。そうなると坐骨神経痛の原因はX年Y月に判断したL45でない可能性が高くなります。すると、次に病因の可能性が高いのはL34であろうという経験的な判断をして、右L4神経根ブロックを施行しました。

74才男 Xp2.jpg

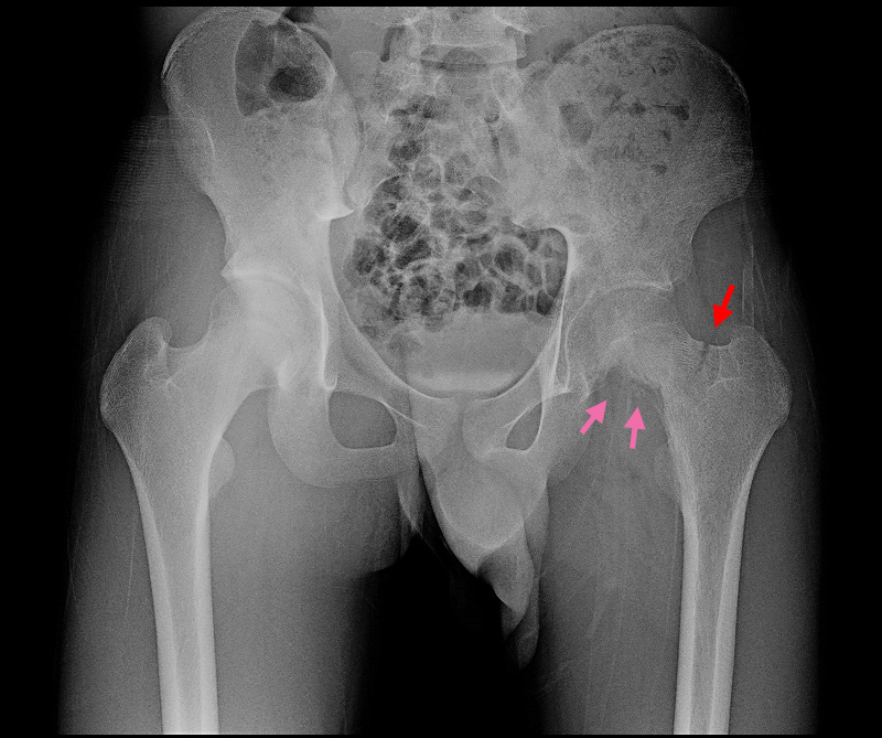
Y’+1月1日にはVAS8→1→8で、病因はL34で間違いなさそうだと判断します。でも今回もVAS8に戻っているので、再度右L4神経根ブロックを繰り返し実施しました。Y’月8日にはVAS8→5の軽減で、すっきりと軽減していません。L34が病因でない可能性もありそうだとなります。そこで腰椎のMRIの再検査を行いましょうと提案し、実施しました。すると、STIRの矢状断という腰椎のMRI検査でまず最初に調べる検査条件で腰椎の下端に位置する仙骨部で微妙に正常でない所見が確認されました。

74才男 MR2.jpg

左端の赤丸の所見がその微妙な所見で、本来黒く描出される仙骨が白く描出されています。仙骨左側の青丸領域は黒く描出されていて、その違いが認識できると思います。しかし、この程度の異常は見逃される可能性も十分あります。おかしいと判断した私は通常の腰椎では調べないSTIRの冠状断で仙骨を調べました。それが右端の画像となりますが、仙骨内は赤丸領域にわずかに高輝度所見(白い領域=赤矢印)がみられます。これをSTIRの矢状断で把握したことになります。それ以上に仙骨外には明瞭な高輝度所見とその周囲に大きな腫瘤状像(ピンク矢印)が確認されました。ここで明らかにおかしいとなり、腰椎から骨盤に検査領域を変えて、検査を追加しました。

74才男 MR3.jpg

すると、T1という条件の画像で仙骨横の骨盤(右腸骨領域)に大きな腫瘍が確認されたのです。これだけ大きくなっているのですから、1年1か月の間、全く症状がなかったということもないのではないかとも推察しますが、推察であり断定すべきことではありません。骨腫瘍の専門医に紹介したところ、Y’+1月15日に右腸骨原発の骨肉腫(ガン)の疑いという返信が届きました。そして翌日の16日にOさんから電話あり、相談したことがあるということでしたが、その場合には受診の予約をとってくださいと事務職員に伝えてもらいました。すると、後日Oさんから手紙が届きました。「私は若い頃、医師を目指していた。」とあり、「~略~、初動の基本検査をやらないための判断の誤りであるから、訴える。」という内容の手紙で驚きました。初動の基本検査というのが、令和x年Y月時点を言っているのか、令和X+1年Y’月時点を言っているのか分かりませんが、令和X年Y月以降の経過は良くなって?本人が受診しなくなっています。令和X+1年Y’月時の症状は令和X年Y月と同じですから、この状態でレントゲンは撮影していますがガンを疑う所見などなく、この時点でMRI検査を行う提案をしても(提案をしたいとも思いませんが)、ほぼ全ての人が「前年と同じ症状だから、検査はしなくてよい」と答えられます。Oさんも令和3年6月の時点で、VAS4の残存症状にもう1度の神経根ブロックを提案をされても、「しなくていい」と答えているのですから、この初動段階で検査を提案しても、まず受ける姿勢ではないと思います。Oさんの治療への評価に沿って診療を進めていて、私の対応には全く判断の誤りはないと確信します。検査の所見でも微妙な異常を見逃さず、ガンは大きく成長していましたが、診療の経過としてはごく早期に診断できて、良かったと思っていた経過でした。

MRIのない整形外科を受診していたら、診断されたのは数か月先であったかもしれませんし、MRI検査を行っても微妙な異常をしっかり確認できていなければ(そういうこともしばしばあります)同じ結果となったかもしれません。「ガンを見つけてくれて、ありがとう。」という思いを持っていただいても良かったのではないかと思う気持ちも私にはあるのですが、Oさんは「訴える」となっていて、私に対して逆恨みを持ってしまいました。骨肉腫の可能性を告知され、それによる精神的な動揺を生じOさんは何を相談したかったのか分かりませんが、手紙には電話で相談したかったのに診察の予約を指示されたのは“算術に長けた心ない医師である”とも記載があり、驚きを重ねることになりました。実際に裁判を起こそうとしてもこの経過で裁判を引き受ける弁護士がいるとは全く思えません。私はOさんの訴えに真摯に向き合って対応しており、何も過失がないからです。そのような私の見解を丁寧に手紙の返信で伝えさせていただきましたが、70才を過ぎて死というものがいつ自分に振りかかってくるのかについて見解を持っていないと、誰もがこのような見苦しい対応をとる可能性につながりかねないと感じました。

もう1例も骨肉腫の患者さんです。この経過には“算術に長けた”というより、金が儲かれば良いとしか考えずに診療を行っている開業医が関わっています。

患者さんは16才の高校2年生のバスケットボール部の男子生徒です。令和1年5月13日に左股関節痛で当院を受診されました。2月半ばから左股関節痛があり、近くの整形外科にかかっていたけれど、良くならずバスケットボールができず、チームメートの友人に長沢先生の医院を受診した方が良いというアドバイスがあり受診されたのでした。この経過を確認しただけで、私は「やばい」と心臓が脈打つことを感じました。16才の男子生徒が股関節痛を発症したとしても、それは何らかの股関節に起因するスポーツ障害か、腰のヘルニアの坐骨神経痛の症状であり、どちらにしても1か月もスポーツを休んでいれば自然経過で良くなり早く練習したいとなるはずだからです。あまりに早く練習を再開すると症状が再発する場合もあるかもしれませんが、K君の場合はそのような経過ではありません。3か月も部活を休んでいるのに股関節痛が軽減していかないのです。整形外科医なら「これはおかしい」と感じて当然なのです。私は何か悪い病因があって改善傾向となっていない可能性が高いと感じました。K君の症状の改善しない経過に何の関心も示さずに、ただただ漫然と3か月も鎮痛薬を処方している整形外科開業医は整形外科医療を行おうとしているのではなく、単にお金がほしいだけの整形外科というお店を出しているのだと確信します。

16才男 MR1.jpg

MRI検査(STIR条件)では本来骨は右股関節のように黒っぽく描出されるのですが、左の股関節・大腿骨は真っ白に描出されました。これは骨が損傷して出血している所見です。16才の男の子で見たことない状態でした。

16才男 Xp1.jpg

MRI検査後のレントゲン像でも、大腿骨の骨頭部の下半分は溶けており(ピンク矢印)、外側よりは一部骨折している所見でした(赤矢印)。私は“骨肉腫”と判断し、骨腫瘍の専門家にその日のうちに紹介し、診察してもらいました。しかし、返信には「良性腫瘍の可能性が高い」という内容で、驚愕しました。

紹介状.jpg

町医者の私にも、どうみても骨肉腫(ガン)しかないと即座に診断したのに、これが良性腫瘍と診断する専門医の見解は訳がわかりませんでした。

以後、K君がどうなったのかは知る由もなかったのですが、半年後にK君に当院を受診した方が良いと勧めてくれたチームメートが当院を受診したのです。この患者さんは小学生時代からご家族も含め私を信頼していただいていて、遠方から当院を受診してくれていた方でした。私は「K君はどうなった。」と質問すると、「医大で骨肉腫の治療をしています。」と教えてくれました。私は、“生きていた、良かった”と思いました。診断は骨肉腫しかないはずでした。私はK君が3か月通院した整形外科医師にK君と家族にお詫びに行くべきであるという内容の手紙を書きました。その開業医からはK君宅にお詫びに伺うと返信がありました。また、骨腫瘍の専門医にも手紙を書きました。「かつて県内で骨腫瘍に一番詳しい専門医として講演会などを行っていたあなたが、進行した骨肉腫を良性腫瘍の可能性と紹介元に返信することがあったとして、百歩譲ってそれも仕方ないとしても、診断が違っていたことが判明したら、その時点で自身の診断を訂正するような返信を記載するべきではないか。それが専門医のプライドではないか。」という内容でしたが、この医師から何らの返信もありませんでした。以前にはこの骨腫瘍の専門医の講演などを聞いて整形外科専門医の単位を取得したこともありましたが、この経験以後この医師を信頼することを止めました。

K君については、これで話に区切りとなったはずでした。

4年後に宮城在住の自衛官が腰痛で当院を受診されることがあり、私は「宮城からわざわざ、なぜ当院を受診されようと思ったのですか。」と聞きました。すると、その方は「先生はK君を覚えていますか。私はKの叔父です。今回Kの三回忌で福島に戻ってきていたので、先生の医院にかかろうと思いました。」と教えてくれたのです。私は心が奈落の底に落ちていくような気持ちを感じました。

整形外科はたかが腰が痛い、膝が痛い、肩が痛いぐらいで受診する診療科ですが、診療医があなたの訴えに真摯に耳を傾けてくれる様子がみられない場合には、早めに医師を変えた方が良いと私は思います。部位別の診療例の提示 “骨盤・股関節” の記事で「打撲?が悪化して歩行困難に」に登場する総合病院の整形外科医も同様の医師です。医師のちょっとした対応の中に自分の命と健康を預けてはいけない人間性が表れることを心に銘じておいた方が良いと思います。