年少者の膝痛について 見落とされておかしくない半月板亜脱臼

ホームページの院長のインターネット講演“町医者の考える変形性膝関節症と治療”で、変形性膝関節症の発症の発端は半月板の亜脱臼であると解説しています。その要因の大前提として40才以上の加齢ということがあり、体重が重いと進行しやすいということを説明しています。そして若年者ではサッカーのようなハードなスポーツで半月板亜脱臼が起こった事例を提示していました。しかし、最近そのような当然の概念を覆すような症例を経験したので提示してみます。

18才女 Xp.jpg

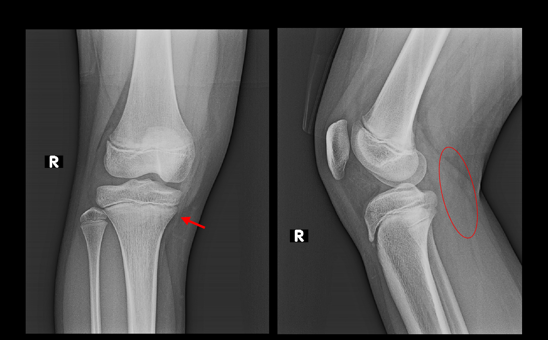
18才の高校3年生の女子生徒です。令和7年9月6日自転車での学校帰りに同じ方向に走っていた車が左折してきて、それを避けようとして左側に転倒し、左膝を打撲しました。9月7日他整形外科受診して、打撲の診断でシップと投薬を受け、服薬は有効だったそうですが、服薬終了で左膝痛は再発したそうです。以後時々左膝痛があり、10月12日さらに症状は悪化し、左膝屈曲で痛み、椅座位でも痛みがあるということで、10月25日に当院を受診されました。しかし、卓球での痛みはVAS4というので大したことないという印象でした。理学所見(診察のでの所見)で、左脛骨内顆部に圧痛(押すと痛いという所見)を認めるため(赤矢印)脛骨の骨損傷も疑われMR検査を勧めました。

18才女 MR1.jpg

MR所見で左脛骨の骨には異常はありませんでしたが、PDの冠状断(前からみた画像)では左の内側半月板は右に比して膨らんでいる印象です。

18才女 MR2.jpg

同様にPDの冠状断の中央部分では軽度の亜脱臼を認める所見でした。この2つの内側半月板所見は注意深く観察しなければ、見落としても仕方ないような所見です。

18才女 MR3.jpg

PDの矢状断(横から見た所見)でも左半月板前方部は軽微な亜脱臼を示していました。問診で大したことのない女子高生の膝痛だなと感じたわけですが、転倒により変形性膝関節症の初期所見が発生していたのです。

もう1例、さらに予想外の半月板亜脱臼の症例を提示します。

10才の小学校5年生の女子でバスケットボールを週6回しています。令和7年10月30日に1週間前から右膝の後ろ側に痛みがあるということで受診されました。歩行痛はVAS4、階段昇降でVAS6、バスケットボールの練習でもVAS6の痛みで、18才の高校生よりははっきりと痛がっている印象です。きゃしゃな体型の少女で令和7年7月にも右足部の舟状骨の疲労骨折で治療していました。

10才女 Xp.jpg

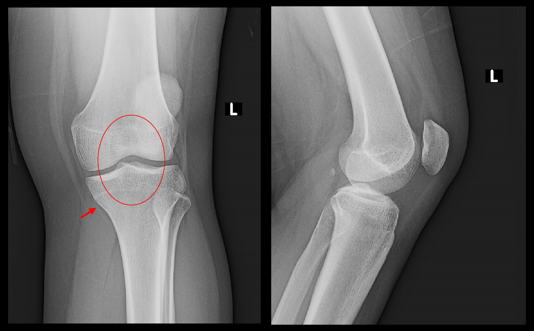
この子も右脛骨内顆部(赤矢印)に圧痛を認めました。7月の右足の舟状骨の疲労骨折の経過があるので、右膝も疲労骨折を疑いました。

10才女 MR1.jpg

しかし、STIR冠状断という画像では右膝脛骨に疲労骨折の所見はなく、また半月板損傷の場合によくみられる内側側副靭帯の炎症所見(オレンジ矢印領域の高輝度所見)も認められませんでした。赤矢印と青矢印で内側半月板の中央先端の位置が微妙に違っています。

10才女 MR2.jpg

PD冠状断という画像では内側半月板が右では軽度の亜脱臼を示しています。

10才女 MR3.jpg

PD矢状断という画像でも、右内側半月板は軽微ですが、前方に亜脱臼していると評価できます。十分な骨格ができていないのに、過重な練習負担が加わって軽微な半月板亜脱臼が発症したと理解されます。このように若年者の膝痛でも将来変形性膝関節症に進行していく半月板亜脱臼が起こりうることをを初めて把握しました。

とりあえずは痛みが軽減するまで練習を控えることと、どうしても何らかの治療対応で良くなったと感じてもらいたい気持ちもあるため処方も行いました。

すると3日後にインフルエンザにかかったけれど、服薬はどうしたらよいかという相談が電話であり、「インフルエンザが良くなるまでは服薬を止めてください。」とアドバイスをしました。

16日後の11月15日に再診され、インフルエンザで1週間練習を休んだら痛くなくなったので、11月9日から練習を再開したところ、当初は痛くなかったけれど、11月15日にVAS4の痛みが再発したということでの受診でした。私は子供の体型の膝に過重な負荷がかかって発生している痛みであり、半月板亜脱臼という老化現象の所見が出ているのだから、練習を控え日常生活で支障がでない(例えば膝の屈伸をしてもいたくない)というような状態が1~2週確保されてから、練習を再開すること、同じような練習をしていれば、また半月板の損傷が進むリスクがあるから練習は週6回から3回程度に減らすべきとアドバイスをしましたが、ご家族から「来週大事な試合があるけれど、どうしたら良いか」という質問があり、私の診療の見解がちゃんと伝わっていないと感じました。しかし、それ以上の説明は同じことの繰り返しとなるので、家族と本人の判断で対応したら良いでしょうとせざるをえませんでした。