東京の日帰り往復と30分の畑仕事で腰痛が生じブロック希望で受診されたが、以前ブロックで治った腰痛とは全く原因が違っていた症例

64才女性。令和6年12月19日腰痛と左ふくらはぎの痛みで寝返りが困難、夜も十分眠れないということで受診された患者さんです。腰椎MRI検査を行い、重度の脊柱管狭窄(腰椎部の老化により脊髄が圧迫されて腰痛・下肢痛=坐骨神経痛が発症する状態です)を認めたL45高位で神経根ブロックを行い、症状の軽減がえられました。

65才女 MR.jpg

10か月後の7年10月30日に左臀部痛で再診され、ブロックを希望で受診されました。10月15日日帰りで東京に車で出かけ(本人は後部座席に座っていて、1時間ごとに休憩をとっていたそうです)、腰痛が再発し、10月29日に畑仕事を30分ほどしたら右臀部痛が悪化したため、10か月前と同じと判断しブロックを希望されて受診されました。

65才女 Xp.jpg

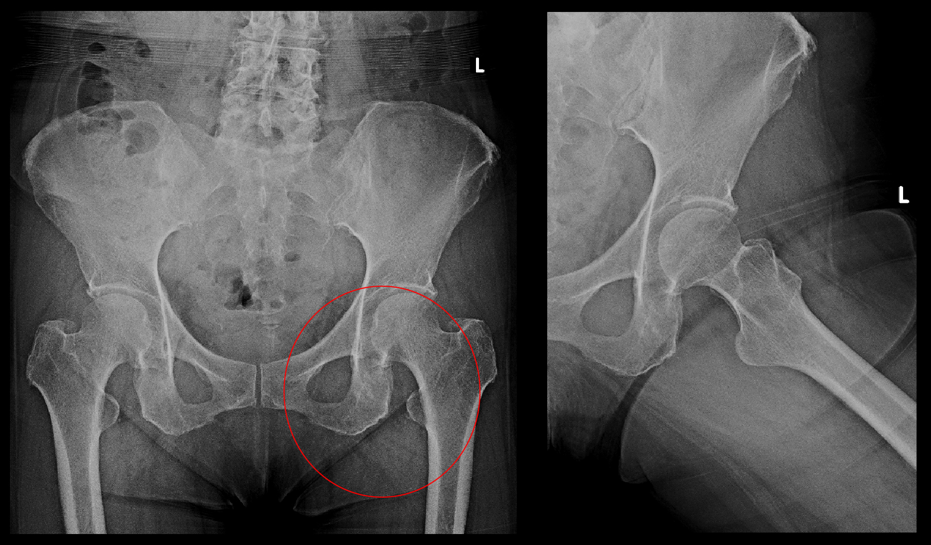
臀部痛・大腿部痛の患者さんでは股関節の異常の有無をチェックしますが、左股関節の異常を疑わせる理学所見がみられたため、股関節と腰椎のMRI検査を行いました。

赤丸が臀部痛の領域ですが、股関節のレントゲン像は異常はありません。

65才女 MR2.jpg

腰椎のMRI検査の所見は10か月前と変わりはありませんでしたが、股関節のMRI検査で左股関節周囲に広範な肉離れの所見(筋肉層の中に出血を示す白い所見)が確認されました。患者さんが10か月前と同じ腰に起因する痛みと感じても、その原因は全く別なものでした。

東京への往復の車の乗車と30分の畑仕事でこれほど広範な肉離れを発症することが疑問なので、改めて問診すると、患者さんは東京行き以後発症した腰痛は運動不足のせいと判断し、積極的に(おそらくは痛みがあったにも関わらず)いろいろな体操を行っていたということで、それが悪化の直接的原因と推察されました。