疲労骨折について

疲労骨折という状態は一般の方(患者さん)には理解しにくいと思います。

バイクに乗っていて転倒し、足を骨折する、という話は分かります。骨を破壊するような強大な力が加わり骨折を生じます。それに対して疲労骨折という病態は、走っているだけで骨折となっていきます。走るだけで骨折?という疑問を誰しも感じてもしかたないと思います。

しかし、運動の負荷で骨も筋肉も損傷するのです。昔バレーボールをしていたけれど、数年来遠ざかっていて、久しぶりに2時間バレーボールをしたら、体のあちこちが痛くなったというような状況は誰もが経験すると思います。この時、筋肉も関節も、そして骨も急な運動負荷で多少損傷しているのです。傷ついたから痛くなったのです。そして運動によって筋肉が鍛えられるように、骨も丈夫になっていきますが、それは運動によって傷ついた筋や骨が修復されるときに従前より多く筋や骨が生成されることで筋や骨がさらに丈夫になっていくのです。そのようなメカニズムで学生時代に運動している人は、運動していない人より丈夫な骨になります。日常的に自覚できないような疲労骨折は(運動をしている人では)起きているのです。

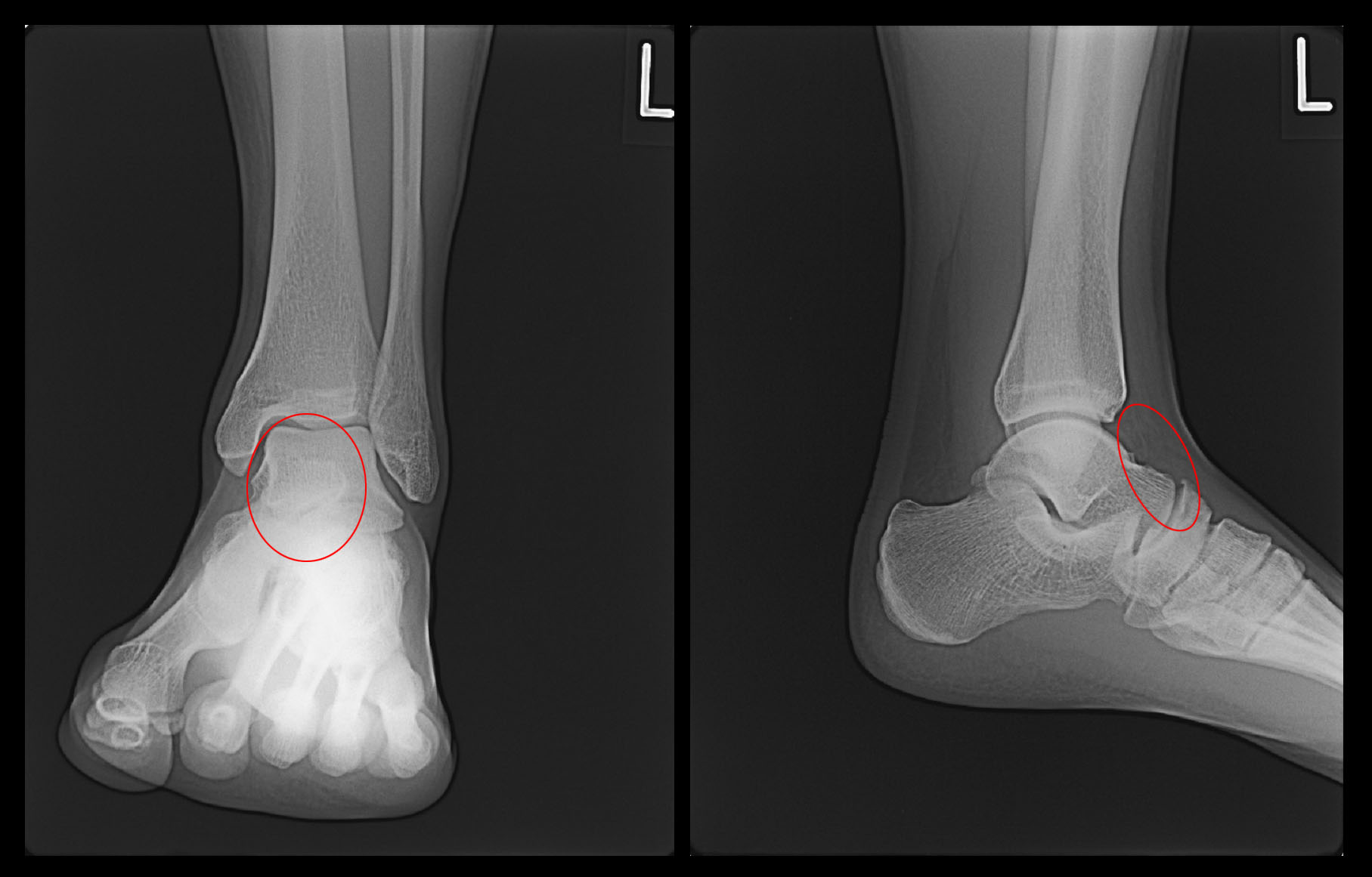
通常疲労骨折はレントゲンでは診断できず、MRI検査でしか診断できません。何らかの大きな負荷が加わってグキっといったというような状態となって明確な骨折となるのですが、それをはっきりと理解できる症例を“部位別の診療例の提示”の“下腿部”の「高校1年の陸上選手 医師のアドバイスを無視したために疲労骨折が骨折となった症例」に提示しています。

脛骨疲労骨折.jpg

疲労骨折の明確化(痛みの自覚)について、症例を提示して説明したいと思います。

17才男性 高校2年生のサッカー部の選手です。平成24年7月14日に当院を受診されました。1か月前から左足関節の前方部に痛みを感じていたそうです。特に外傷があったわけではないと言っていました。7月14日の試合中に症状が悪化し、歩行も困難となり交代し、当院を受診されました。レントゲン像です。

18才男 サッカー舟状骨Xp.jpg

赤丸が疼痛部位となりますが、特に腫脹はみられませんでした。

18才男 サッカー舟状骨MR.jpg

MRI画像では、左足関節の赤矢印の部分(舟状骨という骨です)が白くなっていて(高輝度所見で)疲労骨折と診断できます。健側の右舟状骨も青矢印で軽微な高輝度所見を呈しています。さらにその前方部の第2楔状骨という骨はそれなりの高輝度(オレンジ矢印)ですが、右足関節は痛みを訴えてはいません。即ち、青矢印やオレンジ矢印は疲労骨折の潜在的な状態と理解されます。左舟状骨は1か月前から潜在的疲労骨折から自覚的な痛みを感じさせる軽度の疲労骨折になったのです。そして、7月14日の試合でその症状は増悪し、歩行も困難な痛みとなったと理解されます。

もう1例提示します。11才の小学5年生です。平成29年9月3日特設陸上部の選手に選ばれて、陸上競技の練習が始まりました。9月7日の練習で両側の足関節痛が発症し、1.2㎞の徒歩通学も困難となり、9月12日に当院を受診されました。

11才陸上Xp.jpg

レントゲン像の赤丸部分が疼痛部位となります。レントゲン像では異常はありません。

11才陸上MR.jpg

MRI画像では赤矢印では明瞭な高輝度所見(顕在的疲労骨折所見と評価して良いと思います)が確認され、黄色矢印では軽度の高輝度所見(潜在的疲労骨折所見)が確認されます。このように急な運動負荷で骨は大なり小なり損傷するのです。この患者さんの場合、痛みは強くないと判断し、運動を休止せずに服薬のみで対応しましたが、陸上の大会まで練習は可能であったと報告を受けています。

潜在的疲労骨折と顕在化した疲労骨折の違いや、疲労骨折と骨折の違いというのも明確なものではないと私は理解しています。私は、この理解を1階から2階に上がる階段で説明しています。

1階から2階に階段を上っていくのに、どこからが2階と言っていいのかという疑問です。2階に上がりきれば、そこは2階ですが、階段でその1段下は2階ではなく、ならば1階なのかと、いや違うでしょう。ならばどこからが2階なのかという疑問です。このことを骨の損傷に当てはめてみます。1階は正常の骨です。2階はレントゲンでも骨折線を認められるよう骨の損傷です。1階から2階に上がっていく途中で痛みを感じるようになりますが、どこで痛みを感じるかは個人差があります。

疲労骨折での痛みを感じるレベルについても階段で説明します。子供は階段から跳び降りて下りて遊ぶことがあると思います。1段づつ高くして気分良くジャンプするでしょうが、ある高さで”怖い”となってジャンプできなくなります。疲労骨折の階段における痛みも(個人差がある上で)このように自覚されるのではないかと思います。

どこまでが疲労骨折で、どこからが骨折なのでしょうか。明確に答えることはできませんが、私は患者さんが痛みを感じた時点で疲労骨折となったと理解しています。明確な疲労骨折とはレントゲンで確認可能なものかもしれませんが、それはレントゲンでしか診断しない医師の自分の満足のための診断基準であり、患者さんにとっての治療という視点ではレントゲンで確認されない疲労骨折は骨折ではないという診断はありがた迷惑な診療でしかないと私は理解します。

最期に疲労骨折を診断するMRI検査でのSTIRという条件での所見の改善は非常に時間がかかるということを示します。

17才の高校2年生女子バレーボール部の選手です。平成24年4月28日に左足部外側痛で受診されました。投薬と局所注射で対応したのですが、痛みはかえって増悪し、5月8日に跛行を呈し(びっこの状態です)、再診されました。そこでMRI検査を行っています。

MR1.jpg

左足では立方骨という骨が高輝度所見を呈し、疲労骨折の診断となりました。

この患者さんは服薬の対応で、同時期のインターハイ大会をチームのエースアタッカーとして気合いと根性で乗り切りました。その大会を最後に引退したのですが、5か月経過した10月20日に受診されました。体育などでも痛くないので、どの程度良くなったかMRI検査で確認したいという意向でした。その時のMRI画像を提示します。

MR2.jpg

左立方骨の高輝度領域はかなり縮小していますが、全く正常化しているわけではありませんでした。

“部位別の診療例の提示”の“骨について”の「疲労骨折について 骨(骨折)の痛みは安静をとらないと治らない」の膝蓋骨の疲労骨折の症例では高輝度所見は4週間でかなりの改善をみています。

縄跳びおじさん・。膝蓋骨疲労骨折.jpg

治癒過程も痛みの発症同様に多様なバリエーションがあることが分かります。