肘・レントゲンで診断できない骨折 その骨折治癒の判断はどうなるのか?

15才高校1年のバレーボールの男子生徒です。令和4年7月3日自転車で転倒し、左肘を打撲しましたが、部活の練習を続けていたところ、左肘痛が続くということで7月11日に当院を受診されました。日常生活では痛みはないということでした。

15才男 初診Xp.jpg

レントゲン像では異常はみられませんが、橈骨(親指側の骨)の関節側(赤丸部分)に圧痛を認めました。私はおそらく骨折があると思われるので、MRI検査で確認することを勧めました。

15才男 初診MR.jpg

MRI検査でのSTIR条件の画像ですが、左肘の橈骨は本来骨は黒く描出されるのですが、白くなっています。白いのは骨の中に出血した状態を示しています。側面像では赤矢印の部分が骨折部分となります。

日常生活では痛みがないということですから、骨折の一般的な治療としての患部の固定等は行う必要性はないと判断しましたが、3週間バレーボールや腕を使うスポーツを休止しましょうと指示しました。

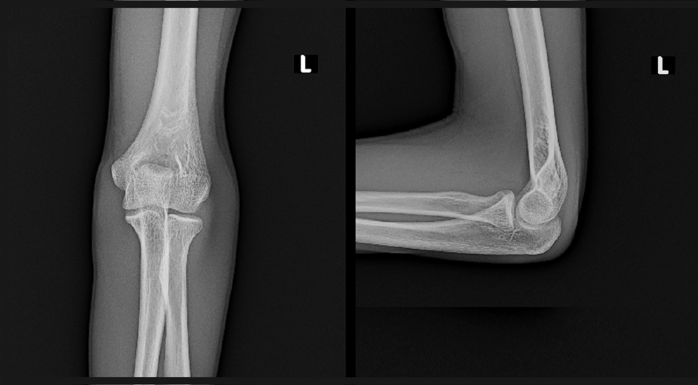
15才男 3週後Xp.jpg

3週後のレントゲン像では赤矢印の部分に骨折治癒のための新しい骨形成(仮骨形成と言います)が確認され、治療経過観察を終了しました。

同じような事例を提示します。

22才の男性警察官です。平成27年10月23日の逮捕術の大会で投げられて左手の上に相手が乗り上げて受傷し、即日他整形外科を受診し、骨折と靭帯損傷損傷と診断されたそうです。10月30日にMRI検査を希望されて受診されました。私の推測ですが、自身がレントゲン像をみてもどこが骨折であったのか理解できなかったという状況があったのではないかと思います。

22才男 初診時Xp.jpg

レントゲン像では拡大部分の赤矢印部分が他部位に比して骨が少し黒っぽくなっている印象で、これが少し正常とはしがたい程度の印象です。受傷時はより異常は出にくいので、良くそれで骨折と診断できたなと不思議に感じる所見でした。

22才男 初診時MR.jpg

MRI検査では(これははT1という条件で、15才の例のSTIR条件とは異なる画像となりますが)黒い部分が骨折の所見となります。この患者さんには骨折と診断されて左腕の固定を受けていたので、トータルで4週間のギプスシーネ固定で治療する方針としました。

実際には患者さんは3週でギプスシーネを外しています。

22才男 7週後Xp.jpg

12月19日受傷後7週のレントゲン像ですが、15才のバレーボール部員のような仮骨の形成の確認は困難です。折れてずれているような骨折でも7週経過すれば仮骨が形成されて日常生活には支障のないような強度に骨折は治癒することが通常です。元々レントゲン像では確認できないような軽微な骨折ですから、レントゲンで仮骨が確認されなくても十分骨折治癒は進んでいるはずです。私は普通に逮捕の訓練を再開しても良いと説明しました。以後、患者さんは受診されていません。

このように同じ部位の同じような骨折でも、レントゲン像で骨折の骨形成が確認できることもありますし、レントゲン像で仮骨の形成が全く確認できないまま治癒とする場合もあります。骨折の治癒の判定は医師の経験に任せていただくしかないかなと考えます。