他整形外科で手術を勧められていた大腿骨内顆骨壊死の症例の当院での治療経過

大腿骨内顆部の骨壊死については、部位別の“膝”の中でその病態と当院の治療の見解を説明していますので、参照してください。

ここで紹介する症例は、他整形外科では人工関節の手術を勧められていたのですが、当院の診療で手術せずに、1年10か月の治療で治療を終了した症例です。

80才 初診時Xp.jpg

令和1年7月15日に当院を受診されました。

同年2月に左膝痛が発症し、ペインクリニックを受診しています。4月からは他整形外科で加療し2回MRI検査を受けていて、医師からは人工関節の手術を勧められたそうですが、手術は受けたくないということで当院を受診されました。MRI検査を受けているわけですから、大腿骨内顆部の骨壊死を前提に手術適応とされていたのだと理解します。

私の変形性膝関節症の治療方針では、関節裂隙(隙間)が消失してしまった重度の変形でなければ、人工関節は勧めていません。初診時のレントゲン像で関節裂隙は十分保たれていますから、この患者さんに人工関節を勧める考えはありませんでした。

80才 初診時MR.jpg

確かに当院のMRI検査でも左膝の大腿骨内顆部には広範な骨壊死が確認されました。発症したのが2月で当院を受診したのが7月で、発症から5か月が経過しています。私の大腿骨内顆部の骨壊死に対する見解では、順調に治療していれば半年ぐらいで症状が落ち着くことが多いと考えています。この患者さんの場合、5か月が経過しているのですから、順調に経過していれば間もなく症状が落ち着く可能性がある時期です。それを前提に治療を開始しました。

当院で通常行っているようにヒアルロン酸製剤の関節内注射を週に1回で5回連続で行う治療と、5か月経過して慢性化していると評価される痛みに対してトアラセットとノバミンという痛み止めを処方しました。

しかし、7月27日(初診12日後)には食欲不振の副作用がでて、8月3日にトアラセットは中止としました。

慢性痛の薬剤をノイロトロピンとトフラニールという薬に変更すると、8月10日のヒアルロン酸製剤の関節注射の5回目には痛みはVAS8から5に軽減しています。

8月24日にはVAS3となり、9月7日には左膝に力が入るようになってきたと述べています。9月27日には立ち上がり歩行はスムーズになっています。10月以降ヒアルロン酸製剤の関節注射は4週に1回としていました。

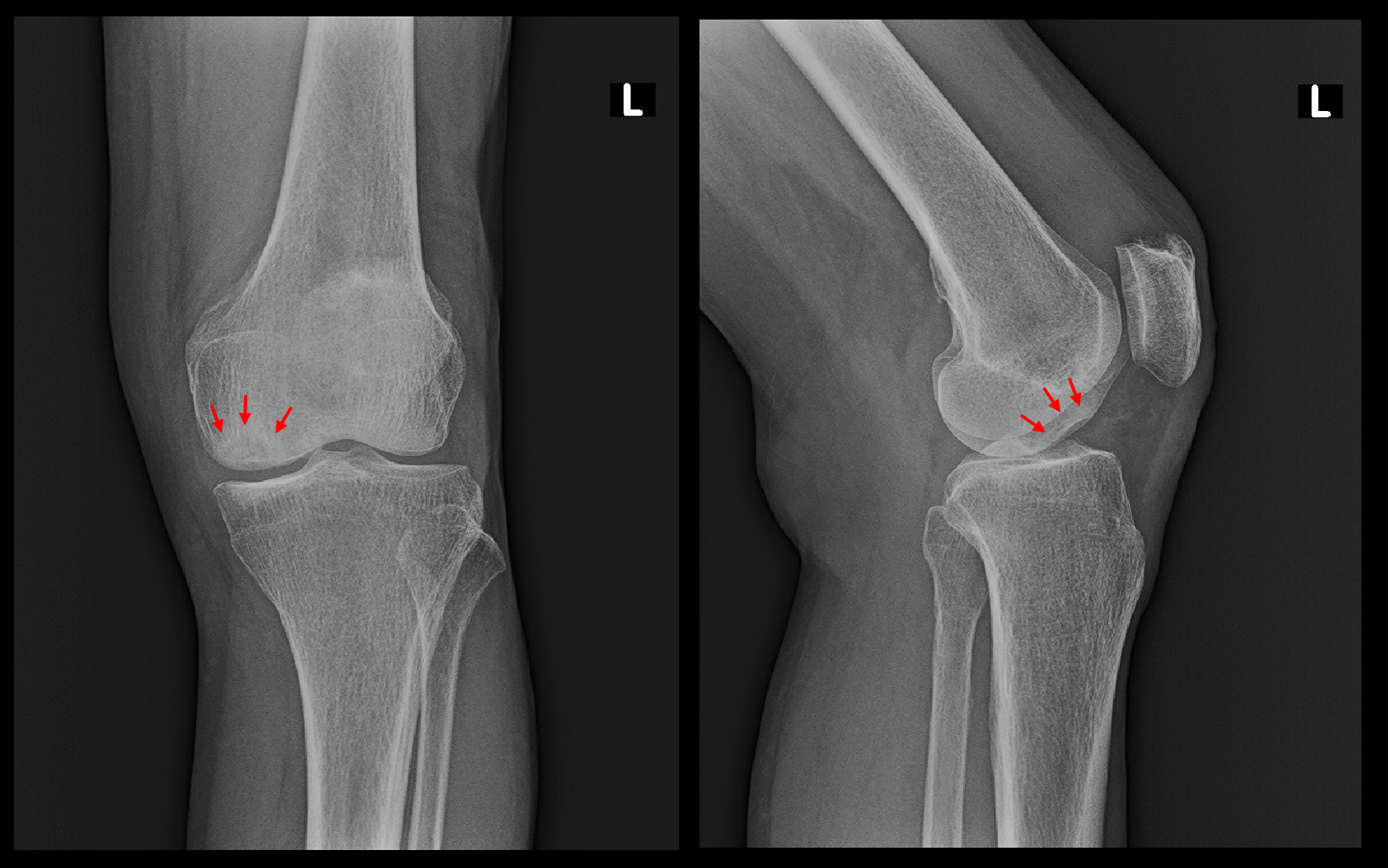
ところが、12月9日に左膝痛が増悪しVAS8となりました。内顆部の骨壊死が陥没したのです。

80才 陥凹時Xp.jpg

初診時には連続性がみられた(オレンジ矢印)大腿骨の関節面の骨のラインの連続性が絶たれています。(赤矢印)

ここからは治療薬をノルスパンテープ5㎎に変更しました。

80才 陥凹時MR.jpg

12月30日のMRI検査では骨壊死部の骨皮質(辺縁の黒い線=オレンジ矢印)は消失し、壊死部は深くなっていますが、関節軟骨(薄いグレーの部分)は維持されていると評価可能です(ピンク矢印)。

令和2年1月20日からノルスパンテープは5㎎から7.5㎎に増量していますが、3月15日には30分の散歩をしていて、息子さんと2人暮らしで家事を全て担当していると述べています。その後、左膝痛は安定していたため、5月以降はヒアルロン酸製剤の関節注射を中止し、12月からはノルスパンテープを5㎎に減量しました。

80才女 最終Xp.jpg

令和3年3月6日のレントゲン像では関節裂隙は保たれており、陥凹した関節面の骨は再形成されて埋まってきていることが確認可能です。同年5月以降、患者さんの受診は終了しました。

当院では大腿骨内顆部の骨壊死となった患者さんであっても、関節裂隙が保たれていれば、大半の症例は手術を回避することができています。