肘痛で最も多い疾患

40才以降の方が肘痛で受診される場合、その大半は上腕骨外側上顆炎か内側上顆炎です。

ともに手作業の負担で発生する肘の筋肉の付着部の炎症(私は患者さんに小さな肉離れのような状態と説明しています)で、外側上顆炎は手関節の背屈の負担で生じ、内側上顆炎は手関節の掌屈の負担で発生します。外側上顆炎は手を下向きにして物を持とうとする時に痛みを生じ、内側上顆炎では手のひらを上に向けて肘を屈曲する(顔を洗うとか歯を磨くというような動作)で痛くなります。

両疾患に対して当院では2回までは局所の注射で治癒を期待しています。

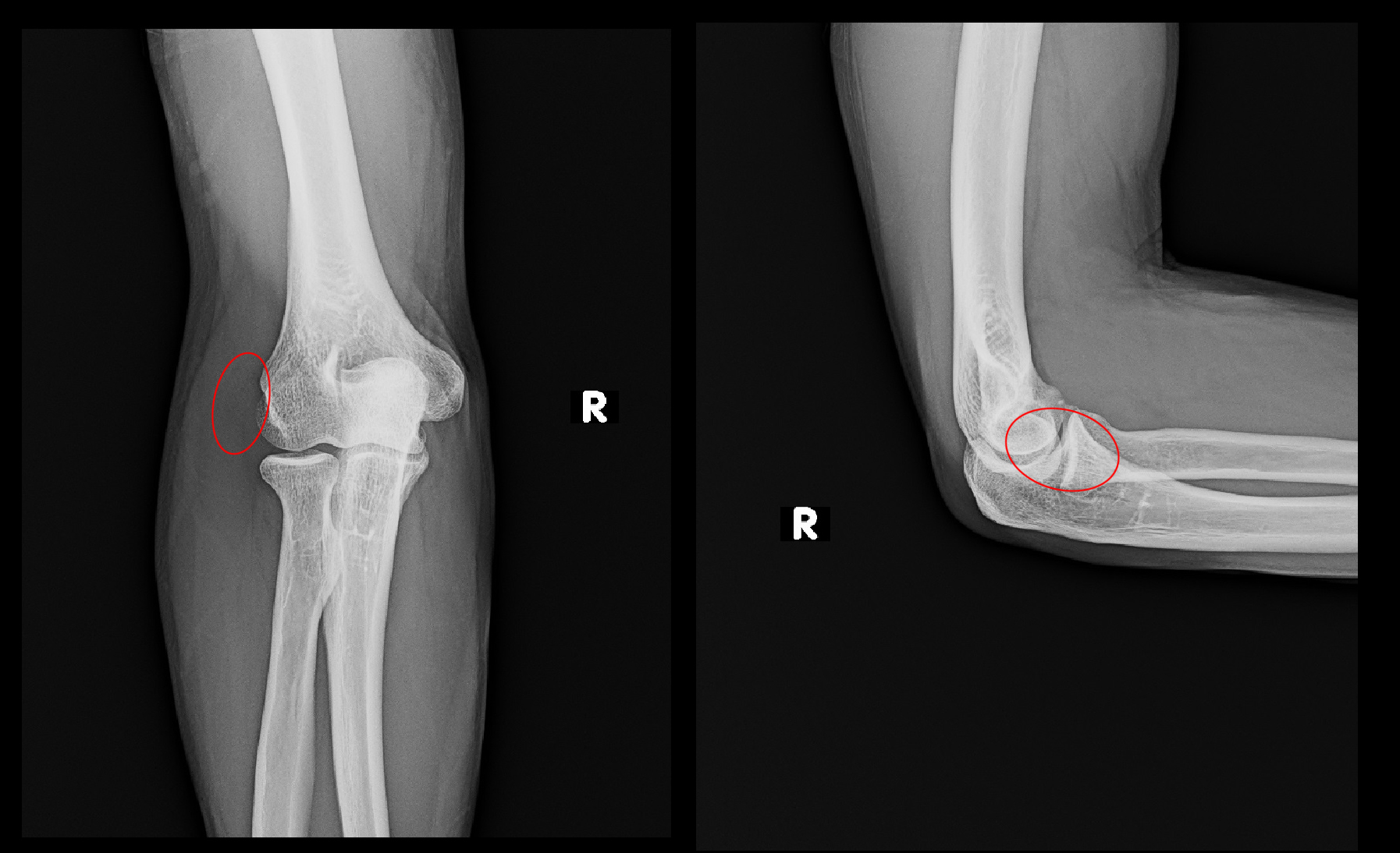
40才の男性です。レントゲンの赤丸領域に痛みを訴えた外側上顆炎の患者さんですが、令和5年の4月と9月に局注の治療を行い、治癒しています。同時期、手指の腱鞘炎の治療も行っていました。

40才男 局注治癒例.jpg令和7年10月に対側である左の外側上顆炎の痛みで受診されましたが、2年前の腱鞘炎の治療は覚えていたのですが、右の外側上顆炎の治療を行っていたことは忘れていました。

外側上顆炎も内側上顆炎も局所注射で治癒する可能性がありますが、再発する患者さんもけっこういます。

再発を繰り返していると、局所注射の効果は衰えていき、治療は困難となっていきます。

令和5年の春から、3度目の再発からは対外衝撃波の治療器マスターパルスという機器を使った治療を適応しています。この治療では1度の注射ですっきりと痛みが軽減するのではなく、(当院では)週に1回マスターパルスの治療を繰り返し、通常5回以上の治療(多くの場合、10回を超える回数)で痛みが徐々に軽減していくという治療となります。

47才の女性でピアノ講師をしている方で、右内側上顆炎の患者さんです。赤丸領域の内側上顆にピアノを弾いた後にVAS7~8の痛みを感じて、令和5年10月に受診されました。レントゲンでは両内側上顆部に石灰沈着の所見を認め、左内側にも潜在的な炎症所見の可能性が示唆されています。

47才女ピアノ講師Xp.jpg2度右肘内側上顆部に局所注射を施行しましたが、痛みはVAS7~8は6にしか軽減せずに、通常の局所注射への反応とは違っていました。

47才女ピアノ講師MR1.jpgMRI検査を施行していますが、患側の右肘では赤矢印の内側上顆部の周囲が白く炎症所見を示しています。また関節部も白くなっており(オレンジ矢印)、関節液の貯留を意味し関節炎の所見です。

47才女ピアノ講師MR2.jpg

両側肘部の水平断では内側上顆部周囲のみでなく、骨内も白くなっており(オレンジ矢印)骨内の炎症も確認されました。局所注射は骨内病変までは効果をもたらしませんから、局所注射の限界はこれが原因であった可能性があります。3度目の局所注射でVAS5まで痛みは軽減しましたが、満足できる効果ではなかったために、6月18日からマスターパルスを適応することになりました。9月26日の13回目のマスターパルスを最後に痛みはVAS2~3に軽減し、治療は終了となりました。