他院での骨折治療後2年間痛みが続く肘痛 外傷とも言えないほどの痛みが治らない症例

38代の男性で、令和3年4月23日当院を受診されました。

2年前に転倒し左肘を打撲し、他整形外科で左肘尺骨肘頭部骨折と診断されて治療を受けたそうです。

以後2年間、VAS4~6の左肘痛と左手関節痛が続いているとのことでした。

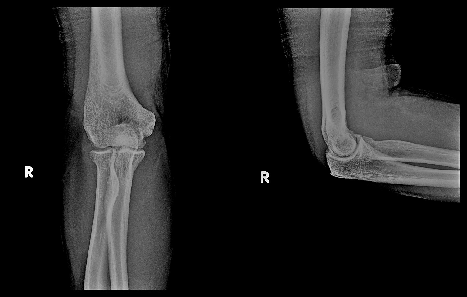
38才男 初診時Xp.jpg

初診時の左肘のレントゲン像です。左肘頭部とはオレンジ丸の領域ですが、異常を認めません。右肘に比して赤矢印の橈骨頭部と呼ばれる部分は左肘では四角く出っ張っていて、骨のラインは滑らかな曲線となっていません。この部分(橈骨頭部)に骨折があったと推察されます。橈骨頭部の骨折では手関節痛を訴えることはしばしばあります。

38才男MRI1.jpg

MRI検査では左肘の赤矢印(橈骨頭部)に関節面の軽微な不正像と骨のラインが断裂して骨折が少しずれて治癒していることが分かります。

38才男MRI2.jpg

このMRI画像では赤矢印の橈骨頭部は右肘に比して骨折により広がっていて、関節面は陥凹していることが分かります。

38才男MRI3.jpg

MRIでの尺骨肘頭部は赤矢印で関節面が軽微断裂または段違いとなっていますが、このような軽微な所見は通常のレントゲン像では正常と認識されることが大半です。受傷時の肘頭骨折がこれだけの所見だったのか、もっと違う所見があったのかは分かりません。

左肘は橈骨頭部のところで関節面が段違いとなり、日常の使用により関節軟骨が摩耗して、変形性関節症化しつつある状態と理解されます。2年間続いた痛みの原因である軟骨摩耗による関節炎の軽減に対して最も有効なのは関節内注射の治療であると私は考えるため、関節内注射を提案したところ、患者さんは了承されました。

38才男 関節造影.jpg

関節内注射の造影像となります。以後、患者さんは受診されなかったため、6月13日(受診2か月後)に電話で症状の経過を確認しています。

注射の翌日より、VAS4~6の左肘痛はVAS2に軽減したそうです。6月に入ってVAS3~4となっているということでした。

もう1例、肘痛の例を提示してみます。外傷とは言えない程度の発症状態での肘痛です。

46才男性で、ボクシングを週2回している方です。

令和6年1月5日ボクシングでミットを打ち損ねて空振りし、右肘痛が発症しました。

1月29日に他整形外科を受診し、シップの処方のみの対応でした。以後も症状が軽減しなかったため、

2月19日発症して6週後にMRI検査を希望されて当院を受診されました。

46才男ボクシングXp.jpg

レントゲン像では異常はありませんが、右肘は25度曲がったまましっかり伸ばすことはできない状態でした。

46才男ボクシングMRI1.jpg

STIRの矢状断というMRI画像では、赤矢印が関節液が多く貯留した状態で関節炎の状態です。

46才男ボクシングMRI2.jpg

やはりSTIRの矢状断ですが、赤矢印で右橈骨の関節面が軽度白くなっており、骨の損傷が疑われる所見です。

46才男ボクシングMRI3.jpg

T1の冠状断というMRI画像では上腕骨の赤矢印の部分で、健側の左上腕骨のように滑らかな曲線になっておらず、軽微平坦化していると評価しました。おそらく空振りの衝撃で上腕骨と橈骨がぶつかって、上腕骨も橈骨の頭部も少し凹んだのだと推察されます。これが関節炎の原因です。

凹んでしまった骨は元のように膨らませることはできません。関節炎を抑えることで左肘痛は軽減する可能性があるので、この患者さんにも関節内注射を勧めたところ、患者さんは了承されました。

46才男ボクシング関節造影.jpg

3月17日(初診後17日)に再診され、VAS6の痛みは0~1に軽減し、日常生活に支障がなくなったと報告を受けました。