ながさわ整形外科は医大より診療レベルが高い?

79才の女性の患者さんです。

X年とX+1年に医大で狭心症に対して手術的な処置(心臓の冠動脈に対するカテーテル処置)を受けています。その後も左心臓近傍の痛みがしばしばあり、X+3年に心臓のカテーテル検査を受けていますが、異常なしの結果であったそうです。

その経過の中で心臓近傍の痛みは整形外科的なものではないかと疑われ、医大の整形外科脊椎外来で診療を受けていますが、問題なしの結論で市中の整形外科に紹介となりました。

心臓の診療もX+4年より市中の総合病院の循環器内科に紹介となりました。

X+7年1月より心臓近傍の痛み発作が頻回となり、しばしば夜間救急で総合病院を受診するようになったそうですが、受診の度ごとに心臓は異常がないという判断であったそうです。

X+8年9月に患者さんの希望で、総合病院内科から心臓近傍痛について当院に紹介があり、9月4日に当院を受診されました。

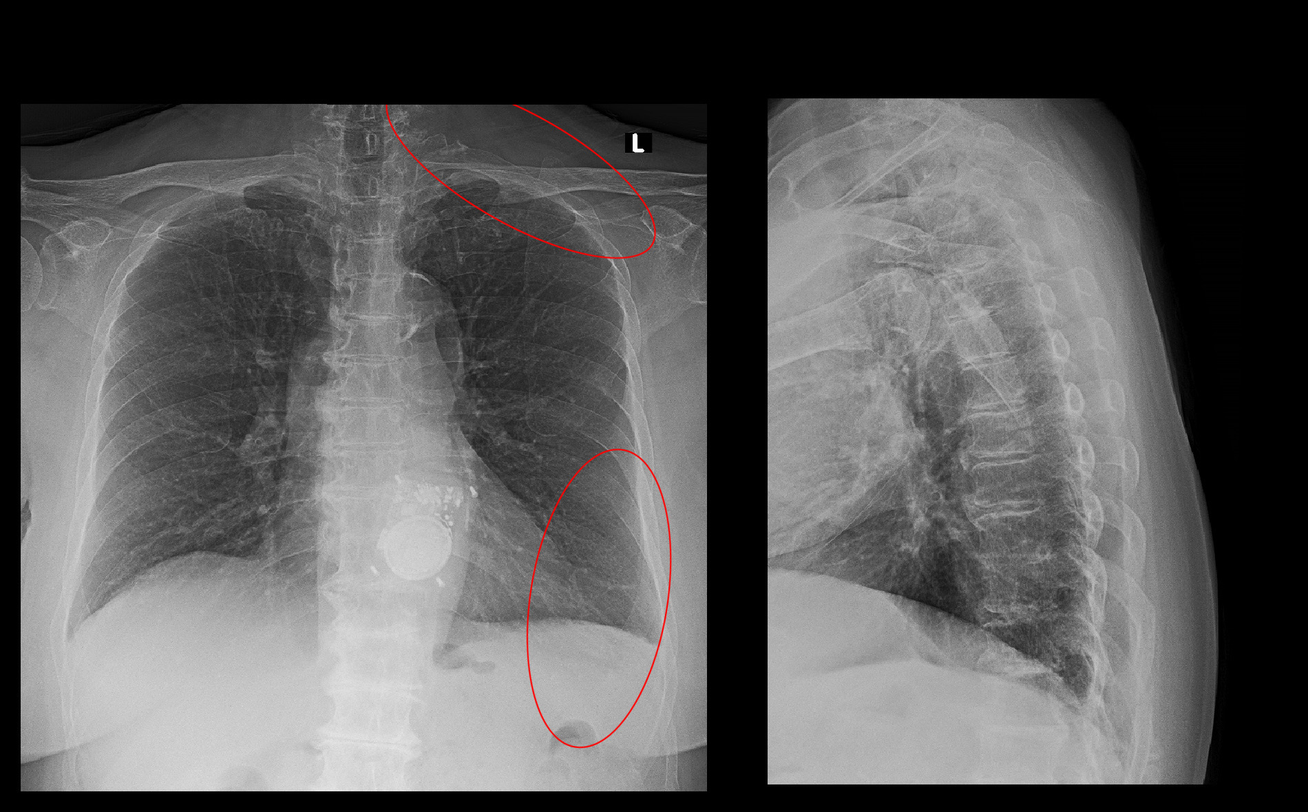
初診時Xp.jpg

初診時の胸椎のレントゲン像ですが、患者さんの訴えは心臓近傍痛の他にも左頚部痛もあるため、患者さんの症状は頚椎に起因する可能性も考慮されるものでした。

初診8日後の9月12日に頚椎と胸椎のMRI検査を実施しています。

初診8日後DWMR2.jpg

胸椎MRI検査では、胸椎左側に高輝度領域が確認されますが、軽度の胸水と判断され、水平断では明確な左右差もないため、心臓近傍痛の原因ではないと判断しました。

HWMR.jpg

頚椎MRI検査では、(患者さんの首が短いためにきれいな画像となっていませんが)年齢相応の老化現象の所見ですが、C6-7での脊髄の圧迫が中等度~重度であり、これに起因する心臓近傍痛の可能性も推察されました。

C6-7に起因する症状であるのかどうかを明確にするために一番有効な対応はC6-7レベルでの神経根ブロックという治療です。ブロックで心臓近傍痛が軽減すれば、心臓近傍痛は頚椎C6-7の脊髄圧迫に起因していると判断することが可能です。患者さんはブロックを希望されたために、同日左C7神経根ブロックを施行しています。

RB.jpg

ブロックの1週後の9月19日には左頚部~肩痛はVAS10→4に軽減、心臓近傍痛もVAS8→4に軽減し、夜眠れるようになったとのことでした。

しかし、9月20日に症状は悪化しVAS8となったために、9月20日と22日に同神経根ブロックを計3度施行しています。9月22日にはトアラセットという薬剤も処方しています。

9月26日にはVAS8→2に軽減し、その後服薬も継続してVAS2を維持できるようになりました。

患者さんによれば、救急車で受診しても「異常ない」ということでVAS8~10の症状が軽減しないまま帰宅させられることを繰り返していて、死んだ方がましでは思うような生活を過ごしてきたと言っていました。

医大の脊椎専門外来でも総合病院でも、他の市中の整形外科でも解決できなかった7年に及ぶ心臓近傍痛を軽減させることができ、患者さんに安心して睡眠をとってもらえることに寄与できたことを誇らしく思います。