突然発症した両側足底部痛で重度の歩行障害で受診した31才の男性

この症例もまれな両側足底部痛で発症した慢性関節リウマチの症例となります。

31才男性の調理師の方です。

令和1年年10月20日朝出勤時に両側足底部痛が発症し、11月13日に他整形外科を受診し、鎮痛剤の処方を受け、多少楽になったそうです。

11月15日に痛みが1日中となり、

12月10日に当院を受診されました。31才でしたが、患者さんの歩き方は、日本昔話のおばあさんのように前かがみでやっと歩いている?、というよりほとんど歩けない状態でした。

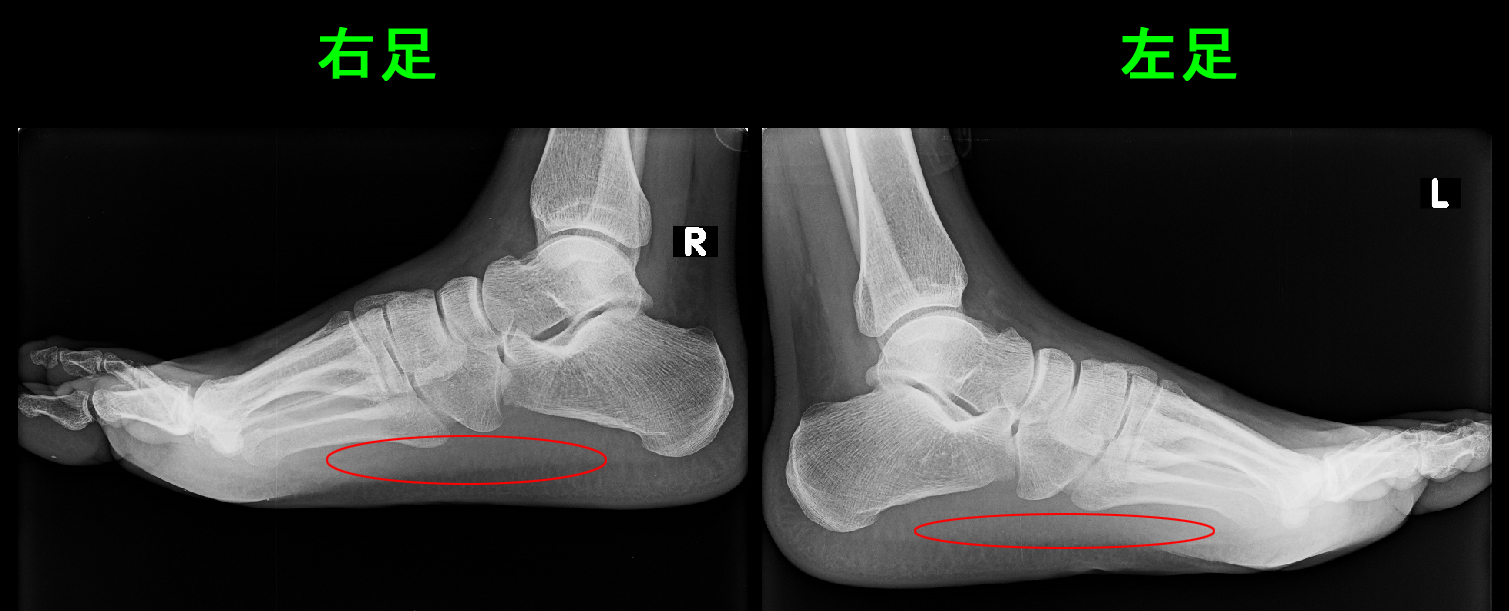
31才男 初診時Xp.jpg

赤丸部分が痛みの領域です。前足部が痛くないのでかかとを浮かして前足部で歩くためにおばあさんのような姿勢となっていたと思われます。

両足のMRI検査を行いました。

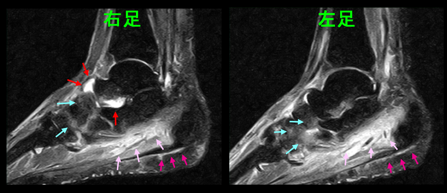
31才男 初診時MR1.jpg

両足ともかかと側の筋層が白くなっており、筋の炎症所見(ピンクの矢印)です。さらに足底側で黒い線が見え、その下側が白くなっているのは足底腱膜炎という状態となります。右足では足関節の距骨と舟状骨という骨の間で関節炎(骨の隙間が白くなっている=赤矢印)を起こしています。

31才男 初診時MR3.jpgこのMRI画像では、両側のかかとの骨(踵骨)が白くなっており、骨の炎症の所見です。(青矢印)

症状的にもMRI所見的にも診たことのないような状態でした。通常の傷病の概念に当てはまらないような病態で筋・骨・関節に異常所見がみられる、このような訳の分からない状態では私は慢性関節リウマチを疑います。

血液検査では診断に重要なリウマチ因子も、抗CCP抗体も正常でした。血液検査で異常の出ないリウマチも20%ぐらいあると言われています。当初は鎮痛剤とステロイドで治療を行い、VAS8~10の痛みは4~6となりました。

受診4週後の1月6日からリウマチとして治療を開始しました。が2月10日メトトレキサート3錠で、両側足底部痛VAS4で、同日からメトトレキサートを4錠に増量しています。

31才男 初診時MR4.jpg

経過中には右距骨の炎症所見も発症していますが、治療経過で軽減が確認されています。

初診から2年6か月経過した令和3年5月からはメトトレキサートを3錠に減量し、5年3月からは2錠に減量しましたが、令和6年から通院はなくなり、リウマチ症状は治癒したのであろうと受け止めています。

リウマチの自然経過・模式図.jpg

20年ほど前から生物学製剤という高額な治療薬が登場し、リウマチの治療概念は変わってきましたが、それ以前の時代にはリウマチの自然経過は大きく3つに分けられるとされており、70%ぐらいは単周期型で数年の経過で治癒していくと理解されています。