高齢者の圧迫骨折治癒後に長く続く腰痛は仕方のないことなのか?

高齢者の圧迫骨折は日常診療で良くみる傷病です。当初、立つも歩くも極めて困難であった圧迫骨折の腰痛や背部痛は、通常3か月ほどで治まります。しかし、3か月以上経過して当初の強い痛みが落ち着いても、ずっと腰痛を訴え続ける患者さんもけっこういます。

平成25年4月20日に当院を受診された75才の女性の患者さんです。

患者さんは当院を受診する8か月前の平成24年8月10日にトイレで尻もちをついて、腰がグツグツと言って圧迫骨折を受傷されました。

他整形外科を受診し、コルセットを装着して治療したそうですが、腰痛は軽減せず、起床や立ち上がりでもVAS8の腰痛が続いているということでした。

初診時Xp.jpg

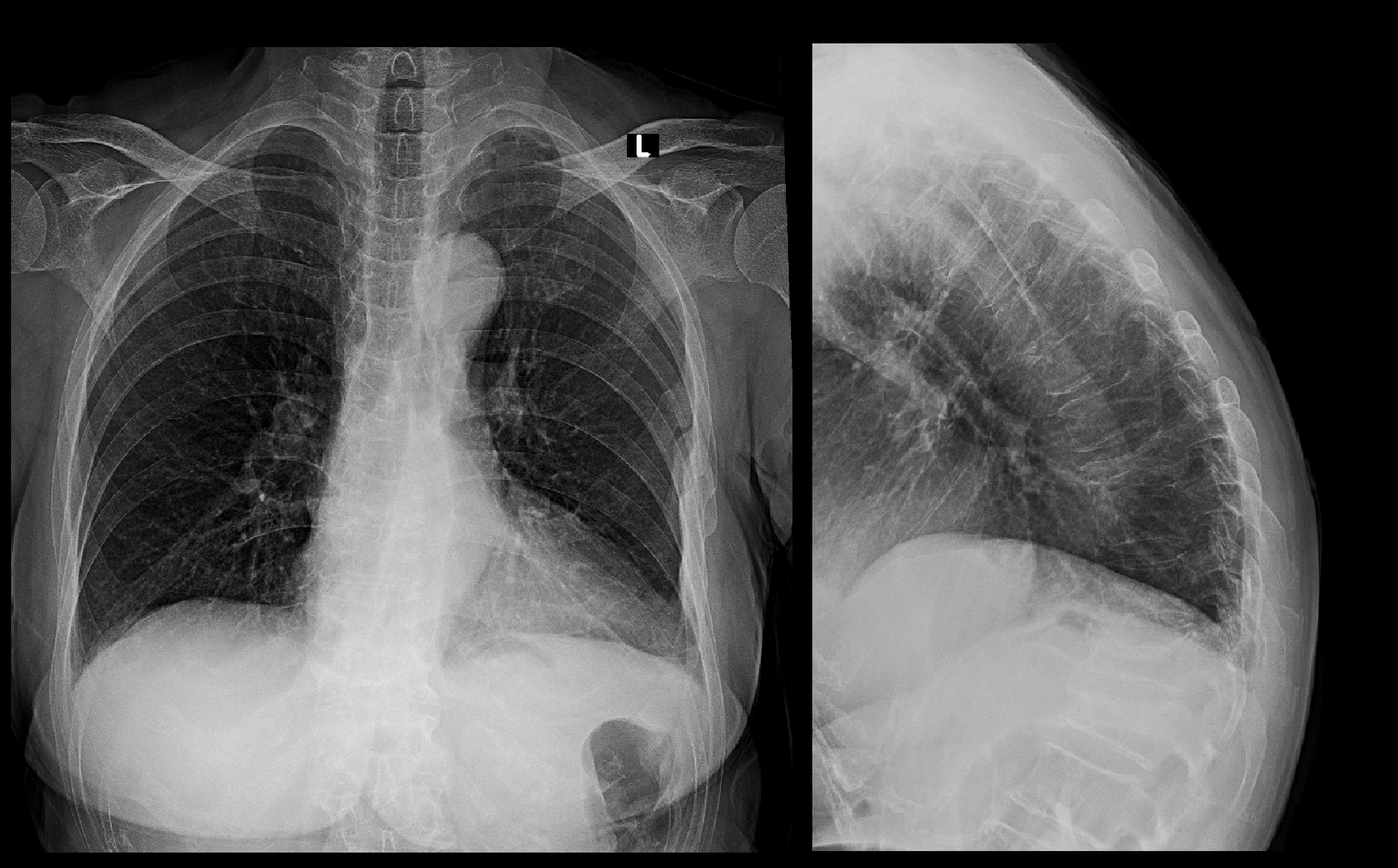
当院初診時、レントゲン像では第12胸椎(Th12)が扁平化していることが確認できました。

初診時MR.jpg

初診時の腰椎MRI検査では第12胸椎がつぶれために脊髄を圧迫するようになった所見が確認されました。

患者さんの腰痛は圧迫骨折発症後に続いているのですから、圧迫骨折により発症したTh11-12での脊髄圧迫が腰痛の原因であろうと推察しました。

初診時RB.jpg

Th11-12高位で圧迫受けているTh12神経根ブロックを施行しました(※)。

2週後の5月9日の再診時に、患者さんは8か月続いていた腰痛が気にならなくなって驚いたと言っていました。

※当時私は胸椎レベルの神経根ブロックには慣れていなかったため、実はこの患者さんのブロックでは高位を誤ってL1神経根ブロックを施行していたのですが、幸いブロックは効果を現し、腰痛は軽減しています。

もう1例、提示してみます。

78才の女性です。令和5年3月7日に自宅で座布団につまづき尻もちをついて受傷されました。3月11日に背部痛のために起立、歩行が困難ということで当院を受診されました。

初診時Xp.jpg

レントゲン像では高齢のために潰れた骨が多数みられ、どこが痛みの原因かは確認不能と判断します。

初診時MRI.jpg

初診時MRI検査を行って、第9胸椎(Th9)がSTIR条件で白く、T1条件では黒くなっており、骨折を示す所見であり、第9胸椎圧迫骨折と診断しました。コルセットも装着しましたが、2か月後の5月11日にはコルセットも外しています。

この患者さんは強い腰痛が治まった後も、受診のたびごとに背部の鈍痛の訴えが続いていました。

令和6年10月15日にも背部の鈍痛の訴えを聞きましたが、圧迫骨折受傷時から1年7か月も経過しています。また、朝起床後に新聞を読むことを日課としているけれど、椅座位からの立ち上がり時に右の坐骨神経痛が辛いという訴えもありました。ずっと続いている腰痛と右坐骨神経痛を確認するために、同日腰椎MRI検査を施行しました。

2年後MR.jpg

MRI検査ではL4-5高位での中等度の脊髄の圧迫と、Th9-10高位での右優位の中等度の脊髄圧迫が確認され、ずっと続いている背部痛の鈍痛はTh9-10の脊髄圧迫に起因していると診断しました。

背部の鈍痛はVAS4程度のものでしたが、1年9か月も私に訴え続けている症状です。神経根ブロックで軽減するかもしれないと説明すると、ブロック受けるという意向となられました。

2年後RB.jpg

令和6年10月15日に実施した、Th10神経根ブロックの画像です。

10月24日にはVAS4の背部痛はVAS0となったと報告していただきました。

これらの経験から、圧迫骨折後に長く続く腰痛・背部痛に対してもMRI検査を実施して、神経根ブロックを行うことは時々あります。