踵(かかと)の痛み 2つの症例

74才の女性でホテルの厨房に勤務されている方です。

X年6月15日当院を受診されました。

5日前から右踵(かかと)痛が発症し、歩行困難の状態でした。

圧痛はアキレス腱部に認めましたが、高齢者のアキレス腱炎など急なウォーキングを始めたということでもなければ、経験したことはないと思いました。

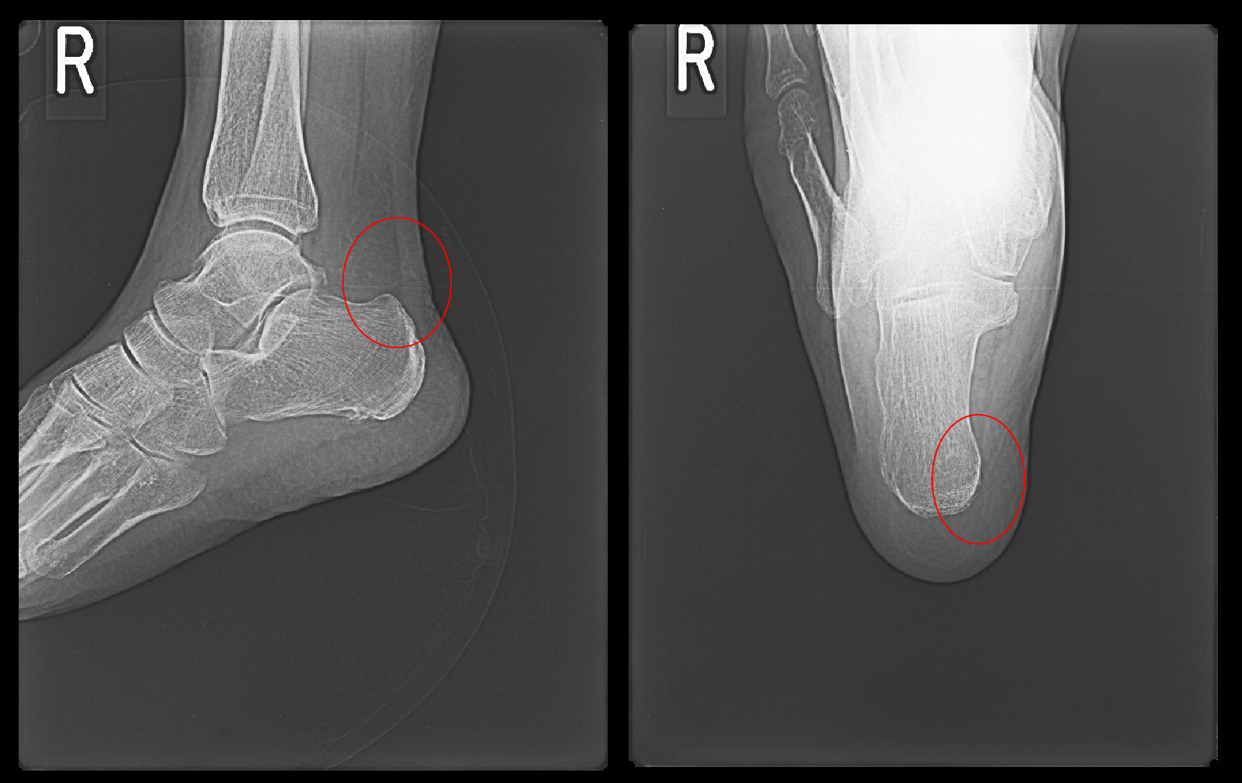
初診時Xp.jpg

MRI検査を行うと、左側のSTIRの条件で黒い踵の骨(踵骨=しょうこつ)が白くなり、疲労骨折の状態でした。右側のT1という条件では内側の骨の壁が黒くなり、ひびと診断されました。

初診時MR画像.jpg

処方と当院で行っている独自のインソールEという中敷きによる治療で、2週後には痛みはなくなっていました。

5週後Xp.jpg

5週後のレントゲン像では踵骨内の疲労骨折部に仮骨(=新生骨)ができていることが分かります。

次の症例は、71才の男性の調理師の方でした。

X年2月18日に当院を受診されました。

前年の12月24日に靴底がぺちゃんこの靴で3㎞歩いたところ、25日から右踵(かかと)の足底部痛が発症したとのことでした。

愛知県の整形外科を受診し、踵を高くするように指導されたとのこと。

1月27日には地元香川県の整形外科を受診し、薬を処方され服用したけれど効果は全くなかったとのことでした。

受診時痛みはVAS6~8とのことでした。患者さんは踵側に中敷きを3枚重ねて入れていましたが、効果をもたらしてはいませんでした。

初診時Xp.jpg

MRI検査では踵骨内の足底側が白くなり(オレンジ矢印)疲労骨折ともとれますが、痛みの本質は赤矢印の足底腱膜炎によるものと判断しました。

初診時MRI.jpg

この方にも処方と当院独自の中敷き治療・インソールEを適応して治療しましたが、以後しばらく受診はありませんでした。

7か月後の10月15日に腰痛で受診されましたが、右踵の足底痛は服薬とインソールEをしばらく装着して治ったと言っていました。