高校1年の陸上選手 医師のアドバイスを無視したために疲労骨折が骨折となった症例

16才の高校1年の陸上部の男子生徒です。

X年12月2日左下腿の近位部(膝下側)の内側部に痛みが発症し、3日・4日と練習したところ、5日には歩行痛+となり、当院を受診されました。

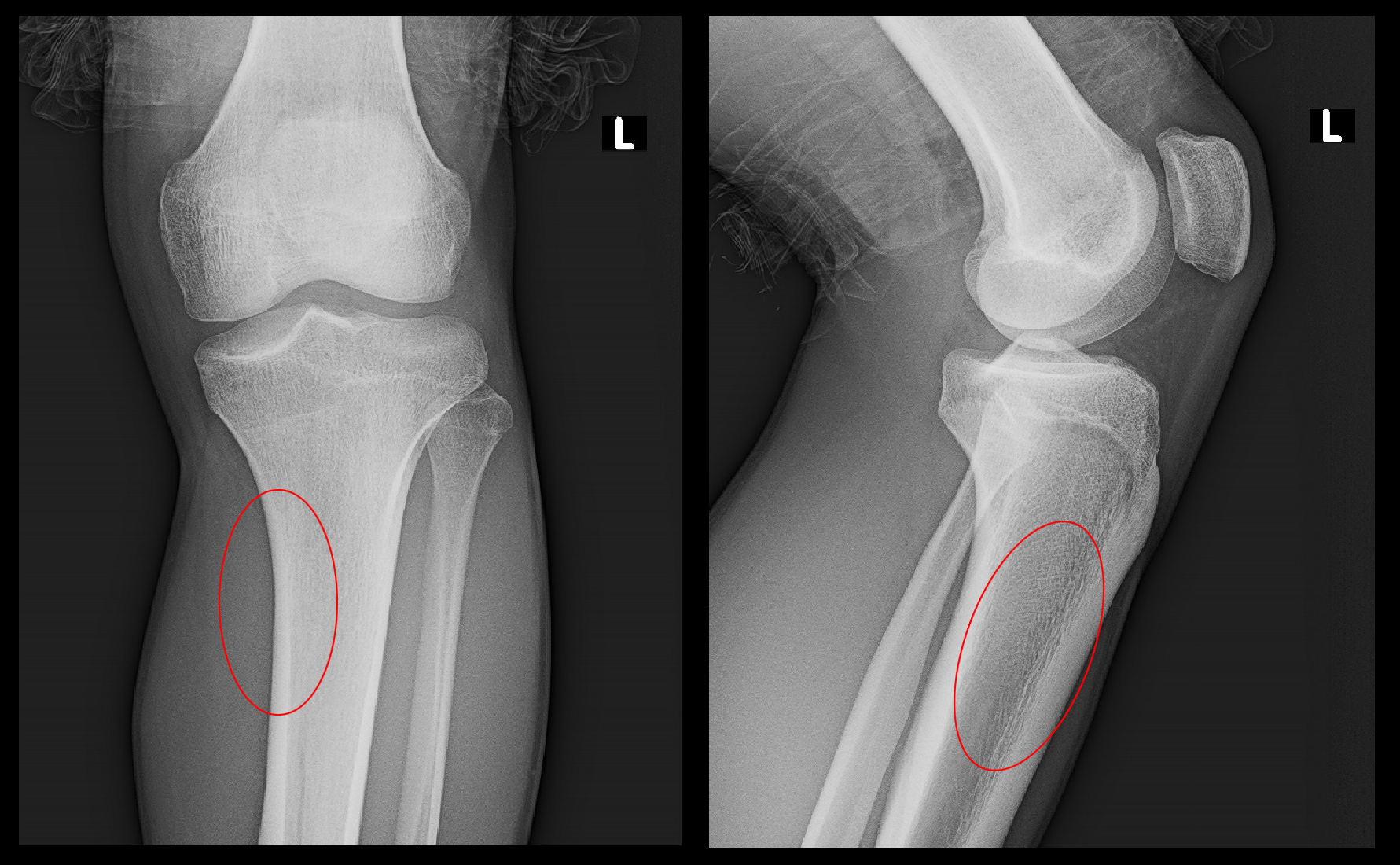
初診時Xp.jpg

レントゲン像の赤丸部分に痛みと圧痛(押して痛みがあるかどうか)を認めました。

初診時MRI検査.jpg

MRI検査ではSTIRという骨が黒く見える条件で、脛骨の同部は白く損傷を起こし、出血している所見でした。

骨の周囲が白いのも骨を覆っている骨膜が炎症を起こしている所見です。

脛骨の疲労骨折と診断し、最低6週間の練習休止を指示しました。

ところが、患者さんは私のアドバイスを本気で受け止めませんでした。受診日の午後の体育でサッカーをして、接触プレーで左下腿がバキっとなり、車イスで再診されたのです。

再診時Xp.jpg

疲労骨折であった脛骨は不全骨折となっていました。松葉杖での免荷歩行(左足をつかずに右脚だけに荷重しての歩行)が4~6週間必要となりました。

3.5か月後のXp.jpg

2か月後からウォーキングを開始し、X+1年2月29日時点で運動を行っても痛みはなくなったと述べていました。