患者さんが訴える痛みの部位と医師が痛みの病因を想定する部位の違いについて

2つの事例を提示します。

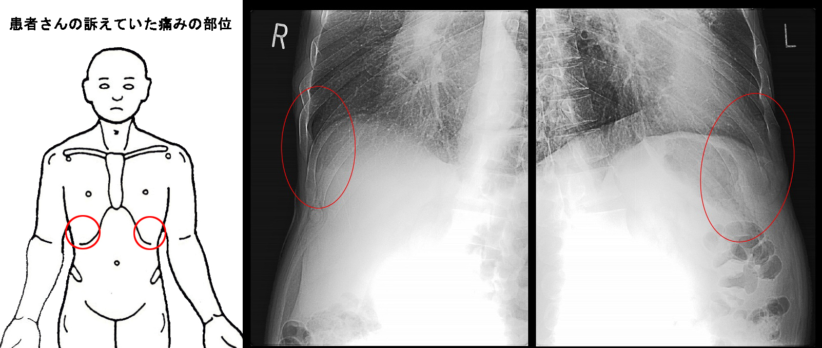
1つは「部位別診療例の“胸部”に提示されている症例」です。

患者さんは両側の前胸部に尋常でない痛みがあると訴えていましたが、

除染作業員・初診・疲労骨折部位2.jpg

その病因は背側の両側肋骨の疲労骨折でした。疲労骨折は右下MRI画像の赤矢印部分です。

青丸が患者さんが痛みを訴えていた部位となります。

除染作業員・初診・疲労骨折部位2.jpg

もう1例は、「部位別診療例“腰”に提示されている症例」です。

70才時は左腰~臀部痛で受診され、73才時には左腓腹部(ふくらはぎ)痛で受診されました。

坐骨神経痛の部位の変化.jpg

ともにその病因は腰椎のL4-5の脊柱管狭窄(脊髄の圧迫)でしたが、

73才時には、L4-5の椎間板の脊髄圧迫は悪化しています。

MRの変化.jpg

全く異なる部位の痛みでしたが、同じ左L5神経根ブロックで速やかに軽減しています。

神経根ブロック像.jpg

このように患者さんが痛いと感じる部位とは違う部位が、痛みの原因となることは整形外科疾患ではしばしばあります。