除染作業員 尋常でない両側前胸部痛

40才の男性 除染作業員の方です。

X年6月28日両側前胸部痛発症し、29日は日曜で休業、30日は仕事をして、

7月1日朝症状が悪化しており、下を向くだけで痛くて、当院を受診されました。

下図が、患者さんが痛がっていた部位となります。

初診・疼痛部位.jpg

患者さんは「尋常な痛さでない」と訴えていました。

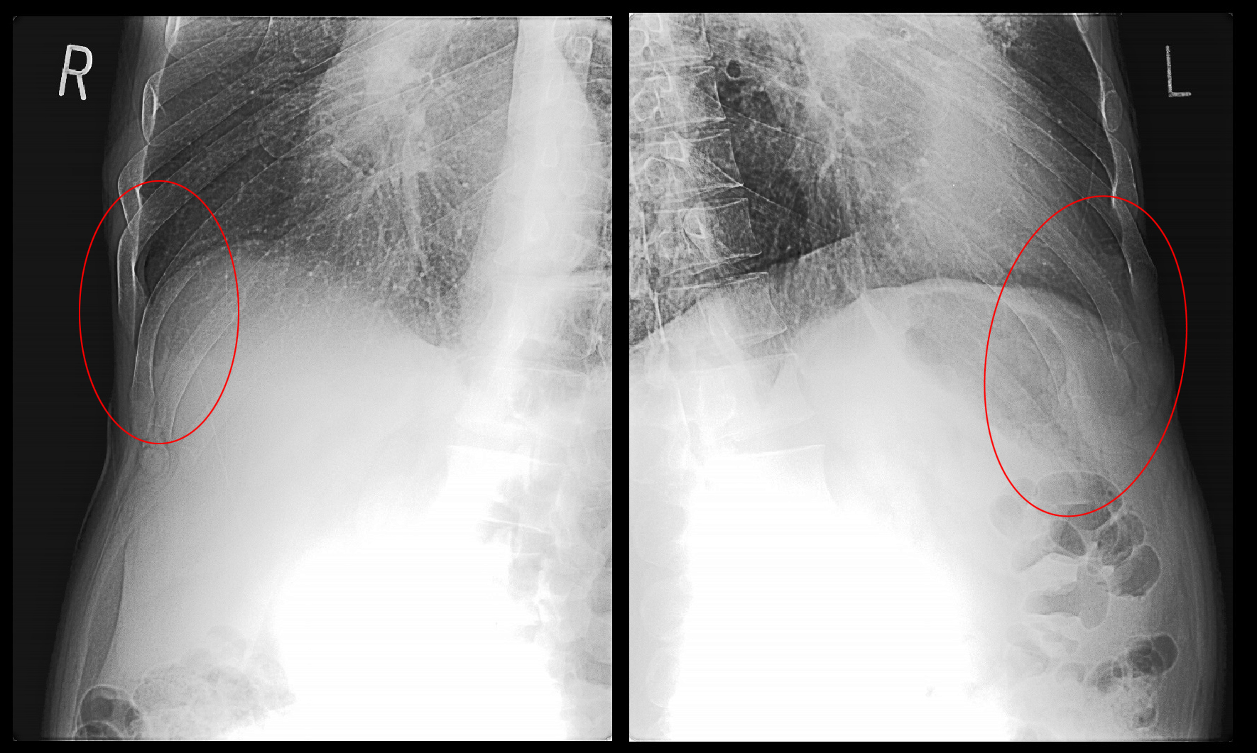
Xp.jpg

レントゲンで像では異常を認めません。

MRI水平断.jpg

MRI検査を行うと、患者さんが痛がっていた青丸領域には異常所見はなく、

赤矢印で肋骨が白く高輝度所見をしめしていて、肋骨の連続性が断裂しており、骨折の所見です。

明瞭な外傷の契機がないため疲労骨折と診断されます。

MR診断部位.jpg

疲労骨折の部位は上図の部位で、患者さんが尋常でないと痛がっていた部位とは全く異なっていました。

作業者の胸部痛の原因を確定するにはMRI検査が必須と考えます。