背部の苦しさ 痛いのではなく、VAS6~8の苦しさ

42才の女性で、薬剤師の方でした。

X年7月18日運転していて停車中追突されて受傷され、総合病院に救急搬送されて、CTのチェックを受けて、異常なしとされました。

直後に胸のつかえがあったそうです。

翌日、背中の苦しさが発症しました。

7月22日まで仕事をしていてVAS6~8の辛さで、同日当院を受診されました。(VASスケールについては部位別診療例の提示“痛みについて”を参照してください。)

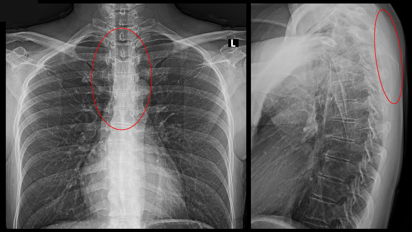
患者さんは「痛いんじゃなくて、苦しいんです。」と訴えていて、赤丸領域に苦しさを感じておられました。

XpDW.jpg

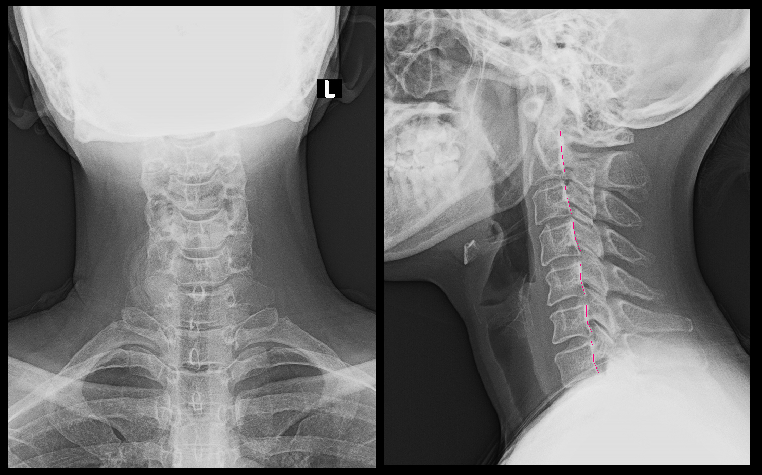
背中上部の症状は頚椎に起因することも多いので、頚椎のレントゲン像もチェックしています。

XpHW.jpg

当院では自動車事故(自賠責)の診療では、MRI検査を原則施行しています。

7月27日(初診5日後)に行った頚椎のMRI検査では患者さんの症状の原因となるような所見は確認されませんでした。

MRHW.jpg

頚椎に異常が確認されなかったため、続けて胸椎のMRI検査を行いましたが、はオレンジ丸領域の脊髄が明瞭に描出されていないと評価しました。脊椎の後ろに脊髄がありますが、縦に走る黒い部分が脊髄で、脊髄は硬膜という袋に入っていて、硬膜の中を髄液という水が流れています。縦縞のストライプで白い部分が髄液となります。

MRDW.jpg

脊髄を横に切った画像が右側に並ぶ4断面となりますが、脊髄は目玉のように見えるのですが、Th5-6高位では黒目と白目が描出されていません。私はこれを脊髄が浮腫を起こした(腫れた)状態と理解していて、この脊髄の浮腫が背中の苦しさの原因と推察しました。

頚椎レベルでの以前の脊髄浮腫の症例を患者さんに提示して、「脊髄の浮腫を軽減する治療を行います。」と説明しました。

プレドニゾロンという神経の炎症を軽減する薬を1日10㎎(5㎎を2錠)処方しました。プレドニゾロンは強い薬剤なので、薬剤師である患者さんは、「そんなに飲んで大丈夫なんですか。」と心配されたが、私は「とにかく飲んでみてください。」とお願いして服用してもらいました。

8日後の8月4日には「大分楽になった」という評価でした。そこでプレドニゾロン5㎎(2.5㎎を2錠)に減量して3日間、さらに1日2.5mg1錠に減量して1週間処方しました。

服薬を終了して1週経過した8月17日には背中の苦しさは気にならなくなったと述べていました。

8月25日に胸椎MRI検査を再検査しました。

MR経過.jpg

Th5-6高位で脊髄の浮腫と評価したぼやけた白黒のストライプも明瞭となり、脊髄の目玉の模様は一応黒目が確認される状態に改善したと評価できます。

追突事故のダメージで胸椎レベルでの脊髄の浮腫が発生し、背中の苦しさの原因となったと理解され、当院の診断と対応により順調に経過した症例でした。