CRPSって何? 分かりにくい疾病を少し分かるように説明します

CRPSを訳すると複合性局所疼痛症候群となりますが、日本語にしても分かりません。

分かりやすく表現すると、外傷や手術後の経過が通常と異なって順調に回復していかないような状態です。

時々このような患者さんに遭遇しますが、治療担当医が「あれ、これはおかしい、CRPSではないか?」と気づかないと症状は改善の方向には向かっていかなのがCRPSです。

医学的なメカニズムも説明されていますが、それを知ったからといって診断が容易となるわけではありません。

患者さんを提示してみます。もう15年以上前の症例です。

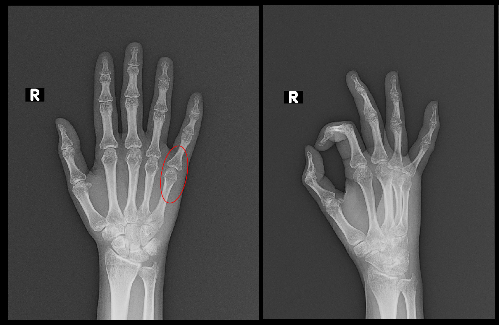
75才の女性です。X年2月23日に自転車で転倒し、右小指を打撲しました。2月24日に他整形外科を受診し、痛み止めとシップの処方を受けましたが、痛みは軽減しないまま1か月以上同様の治療が続き、痛みは右小指だけでなく右手全体に広がったそうです。5月13日にリウマチの採血検査を受けましたが、リウマチは否定され、5月下旬には右上肢(腕)全体の痛みとなってしまいました。

受傷後3か月半経過した6月4日に当院を受診された時の右手の状態が下図で、右小指はほぼ屈曲不能の状態でした。

CRPS指.jpg

 受傷した右小指は指背のしわが消失しています。関節が動かない状態が続くとこのようにしわは消失してしまうのです。当院でのレントゲン像では骨折の所見は確認されず、診断は打撲なのに3か月経過しても治っていないのです。

治らないどころか、受傷した右小指だけでなく、右手右腕と痛みの領域は広がってしまっています。

これがCRPSの状態です。

CRPSに気付かずに漫然と診療していると、右小指だけでなく、右手全体が握れないような手となってしまう可能性があります。とても危険な傷病経過なのです。

 

この患者さんは当院を受診していただけたので、初診時にCRPSの診断の元に治療を開始しました。

当院で治療し3週後の状態が下図です。小指にはしわが復活していて、一定小指も屈曲可能となっています。

CRPS指2.jpg 

2か月半後に右小指は完全屈曲可能となり、治癒となりました。

CRPS指3.jpg

  

この症例と似た症例を最近経験しました。29才の女性で、ALT(英語の助手教員)の方で英国人でした。

Y年4月12日自宅階段で1段落ちて、手すりに右小指を打撲して、14日に当院を受診されました。

当日のレントゲン像では異常はないため、打撲と診断し、薬と外用薬を処方しました。

 

ソフィー初診時Xp.jpg

 しかし、私はレントゲンで把握できない骨折の症例があることを把握しているので、「良くならない場合には骨折の可能性もあるので、受診してください。」と伝えています。

すると5週後の5月17日に再診されました。手を握るとVAS4の痛み、1日手を使うとVAS6の痛みがあるということでした。(VASスケールについては、部位別診療例の“痛みについて”を参照してください。)

その時の右手の状態の写真はありませんが、骨折を疑いMRI検査を実施しています。

ソフィーMRI検査1.jpg

 右小指だけが白くなっています(赤矢印)。この条件で白いのは骨の中に出血している状態と同じです。

ソフィーMRI検査2.jpg

 上図で赤矢印が軽微な骨折(赤矢印)となります。最初に提示した75才の女性もこの症例と同じだったのかもしれません。当時はこのような症例にMRI検査を適応するという方針がありませんでした。

この症例は前例のようには順調には症状は改善しませんでした。再診後5週での両手の写真です。右小指は腫脹し、屈曲できない状態です。

ソフィー再診後5週.jpg

 リハビリテーションを継続して、そこから6週後にほぼ生活に支障のないレベルに回復して、英国に帰国されました。この症例も軽症のCRPSの症例と理解されますが、CRPSの症例は診断も治療も簡単ではありません。

ソフィー再診後11週.jpg