20年前からの諦めていた腰痛 在宅マッサージを受けるかどうかで当院で治療し腰痛は気にならなくなった

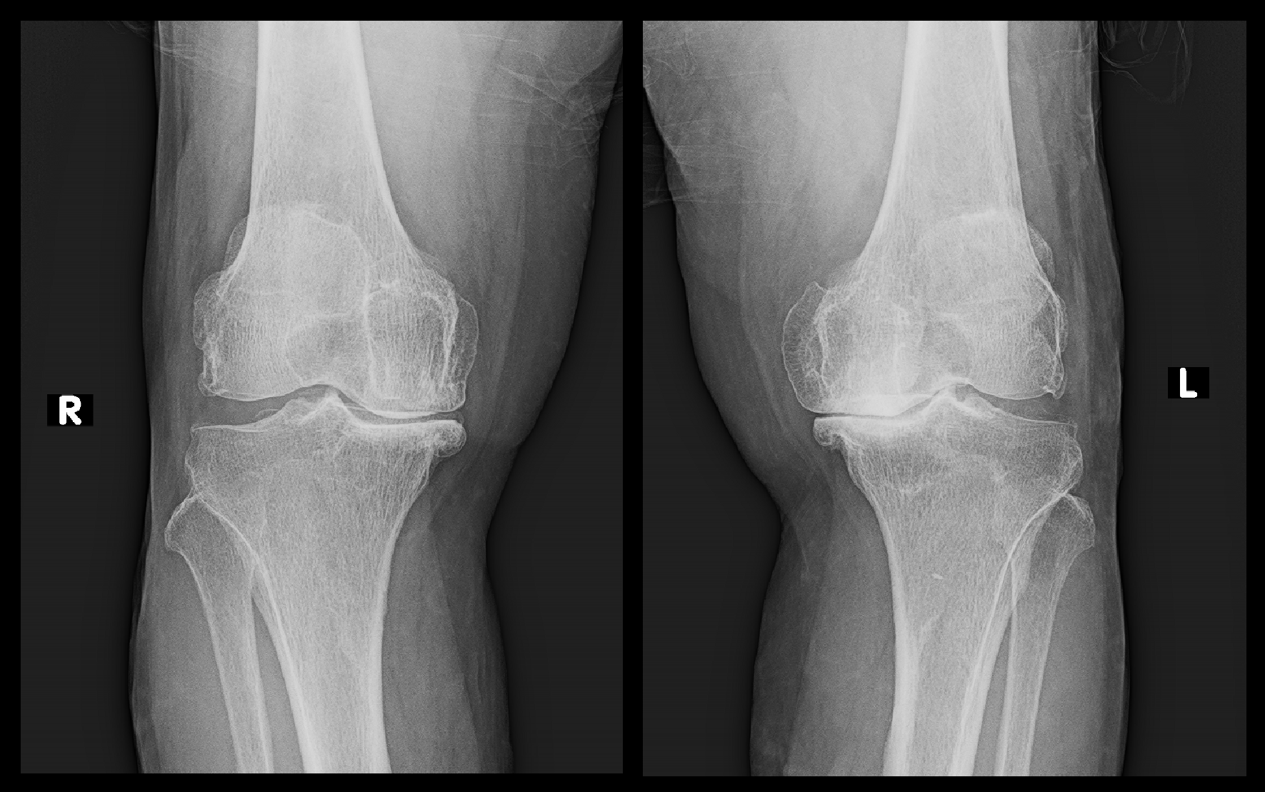
88才の女性ですが、X年4月15日に10年以上前からの両膝痛で受診されました。他整形外科で3年間加療しているが、良くならないということでした。

レントゲン像は両側、重度の変形性膝関節症で根本的治療は手術しかないことを説明しつつ、痛みの程度はVAS4程度であるので(VASスケールは部位別の“痛みについて”を参照のこと)、手術適応はあまりないと受け止めました。

両膝Xp.png

前医では投薬のみの治療対応であったので、ヒアルロン酸製剤の関節内注入療法を勧めました。

そして、患者さんの膝の状態からは手術以外ではVAS2~3の獲得であるので(動画で学ぶ“痛みについて”を参照のこと)、現状の治療で期待できる効果はわずかなところであることを説明しています。

6月27日には両膝痛はVAS2~4での評価ですが、患者さんは大分楽になっていると述べています。

治療開始3か月後に突然、接骨院から在宅鍼きゅう治療についての同意書の記載の依頼がありました。

接骨院の見解は、在宅鍼きゅうは腰痛に対して行うので、膝の治療をしている当院には迷惑はかからないということでした。

厚労省の在宅鍼きゅうは、「慢性病(慢性的な疼痛を主訴とする疾病)であって保険医による適当な治療手段のないもの」を対象としているという規定でした。この患者さんからは一度も腰痛について相談を受けていない私は当然腰痛に対して診療はしていないわけで、私が適切な治療方法がないと判断できるわけはなく、この依頼にはとても同意ができないなと思いました。

患者さんに私の見解を伝えると、患者さんは「友達から誘われたから1回(友人宅に)行ってみたけど、少しマッサージするだけだから、先生(私)に腰痛をみてもらいたい。」という意向となったのです。

この患者さんはずっと東京で介護の仕事をしていて、20年前から腰痛で悩んでいたそうなのですが、何か所も整形外科とか接骨院とか、かかったけれどちっとも良くならなかったので諦めていたということでした。

腰椎Xp.jpg

腰椎のレントゲンは年齢相応か、さほど老化現象はひどくないというものでした。

腰椎MR.jpg

腰椎MRI検査では、L12・L23・L34は中等度~重度の、L45は重度の脊柱管狭窄(脊髄が腰椎椎間板の老化により圧迫されている状態)が確認され、

私は、L5神経根ブロックで一定症状の軽減がえられる可能性があると診断しました。

まず、7月25日に左L5神経根ブロックを施行し、効果がえられれば右神経根ブロックも行いましょうと提案しました。

すると、8月2日には効果があったということで、右L5神経根ブロックも希望されました。

RB.jpg

8月23日にはVAS4~5の腰痛はVAS2に軽減し、ほとんど気にならないという評価となりました。

20年間諦めていた腰痛は実は改善の治療方法があったということだと私には思われます。

もちろん介護の仕事をしていた当時と、88才の現在では腰にかかる負担は違っているとは思いますが。