変形性股関節の治療

股関節の変形の痛みは臀部痛や大腿部痛で発症することがあり、時に整形外科に通院していても、股関節に起因する痛みと診断されない場合もあります。

ホームページ最初の診療の指針10の実例には、82才の女性で重度の変形性股関節症の患者さんが整形外科に通院していて股関節に起因する臀部痛を腰痛として5年以上も診療されていた患者さんを提示しています。

変形性股関節症の治療は変形性膝関節症のように鎮痛系の経口薬が期待するほどに効果を出さない印象もあります。

ある程度病状が進行した変形性股関節症は人工関節の手術しか有効な治療法がありません。

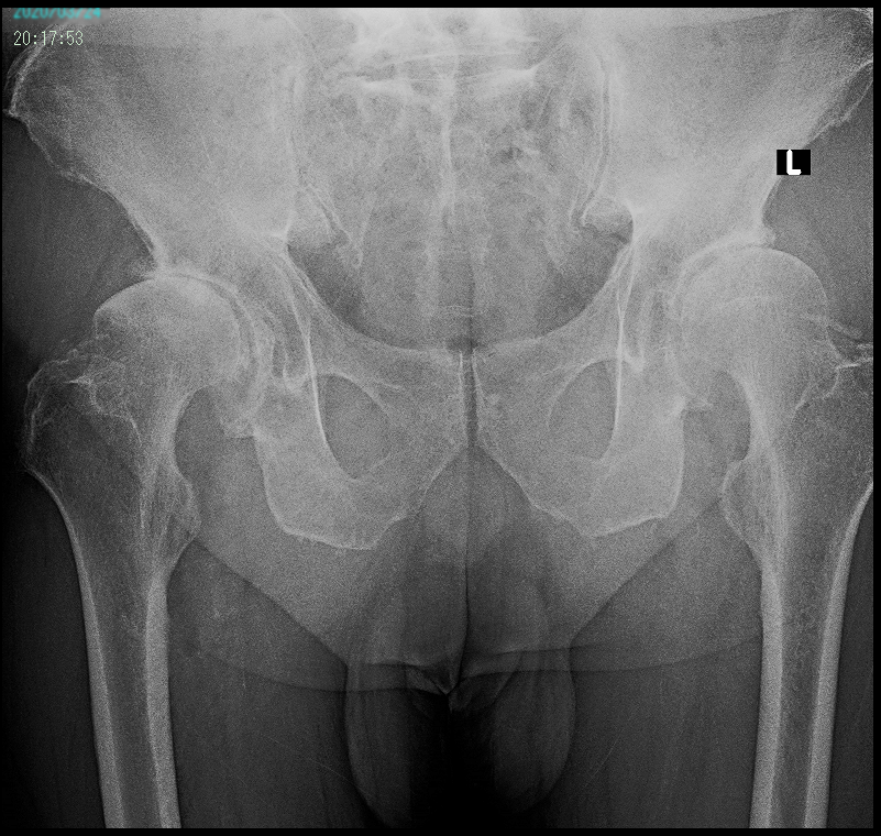
下図の変形性股関節症の患者さんは、72才の男性で10年前から右腰痛と股関節痛があり、多くの整形外科を受診したけれど、腰に起因する症状として治療されてきて良くならなかったそうです。

医大を受診して初めて股関節に起因する症状と診断されたそうですが、医大では「手術するほどの症状でないから、様子をみて、手術したくなったらまた受診してください。」と言われ、何も治療はしてくれなかったと言っていました。割り切った姿勢とも言えますが、患者さんとしては切ない思いを持っても仕方ないでしょう。

医大診断OA 1.png

私は重度の変形性股関節症の患者さんには初診時に手術の説明をしていますが、そのような説明を受けたからと言って、「はい、ならば手術を受けます。」と答える方はまずいません。皆さん、2~3年の保存的治療の経過で、やっぱり手術しかないのかと決断される印象です。

しかし、数年前から股関節に対するヒアルロン酸製剤の関節内注入療法というものが保険適応となり、当院でも行っていますが、手術を希望されない、または手術を選択できない事情のある患者さんには有効な治療法です。

下図は52才の女性で介護職の方です。X年12月13日に当院を受診されました。初診時、身長162㎝、体重92㎏でかなり肥満傾向の強い方でした。

岡崎例 1.jpg

左は重度の変形性股関節症で、右も中等度の変形性股関節症です。

初診時に当院の人工関節手術のパンフレットを渡して、左股関節の根本的な治療は手術しかないと説明していますが、患者さんは、手術はしないと強い決意を述べられました。

X+1年6月から左股関節にヒアルロン酸製剤の関節内注入を開始しましたが、7月18日には痛みはVAS10→1~2に軽減していると評価しています。(VASについては“部位別診療例の提示・痛みについて”を参照してください。)

岡崎例 2.jpg

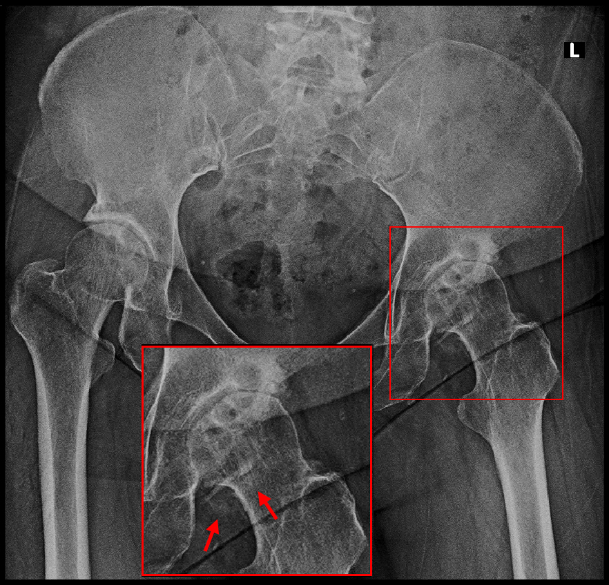
赤矢印が造影されたヒアルロン酸製剤となります。

8月にはヒアルロン酸製剤の関節内注入で以前より動きやすくなり、8㎏体重が減ったと述べていました。

X+2年12月の時点でもVAS2~3を維持しています。