58才女性 2つの整形外科で加療して症状の軽減がえられなかった右膝痛

58才 右膝痛の女性です。

X年10月当時身長160㎝・体重80㎏でジョギングを20分して左膝痛を発症し、直後にA整形外科受診してヒアルロン酸製剤の左膝関節内注入療法を週1回で連続5回受けるも効果なく、

B整形外科を受診し、リハビリをしなさいと指導され、週1回リハビリ通院を継続してきたそうです。

経過中綜合病院で膝MRI検査を受け、左内側半月板損傷という診断を受けています。

X+1年6月に右膝痛が発症し、7月17日右膝痛を主訴に当院を受診されました。

9年前に当院で左膝痛に対して注射で良くなったから、注射をしてほしいという依頼での受診でした。

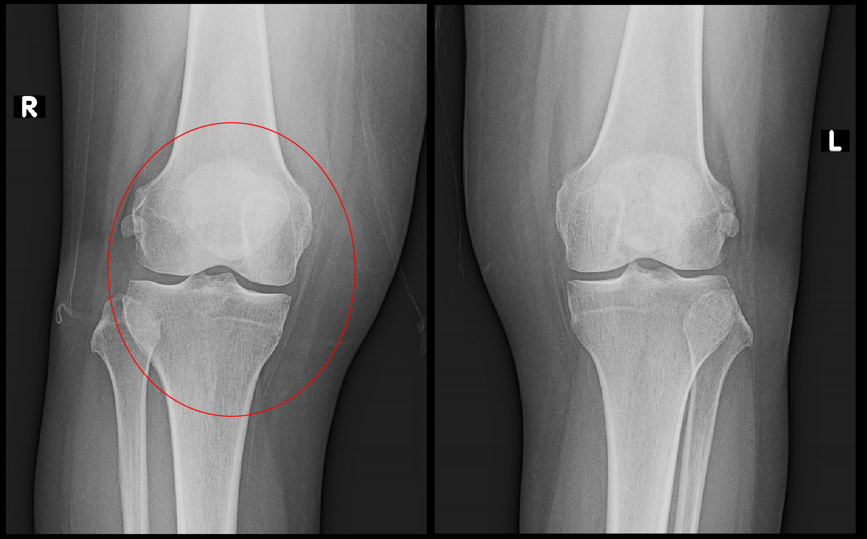
両膝レントゲン像

両膝.jpg

年齢からすれば膝の加齢性疾患(変形性膝関節症)が疑われます。しかし、レントゲン像は年齢に比して老化現象の所見はなく、

理学所見(診察での視診・触診などからの所見)でも変形性膝関節症を疑わせる所見は確認できませんでした。

変形性膝関節症については、このホームページの“資料や動画で学ぶ”の項目の「町医者の考える変形性膝関節症と治療」を参照いただければ幸いです。

変形性膝関節症であれば、A整形外科で実施されたヒアルロン酸製剤の関節内注入治療で一定効果が出ても良いはずです。

しかし、そうなっていません。私の診察では変性膝関節症の理学所見も確認されません。

患者さんの希望に沿うには、半月板の損傷や軟骨の変性(劣化)・摩耗等を確認しなければならず、まずMRI検査を行いました。

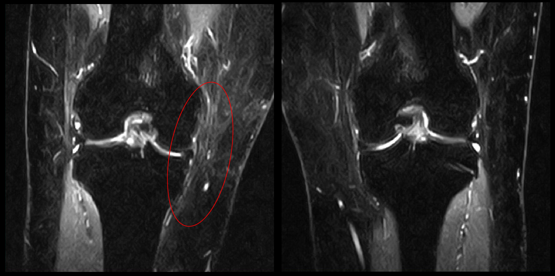
両膝MR画像

膝MR.jpg

変形性膝関節症の初期であれば、このMRI画像で右膝の内側(赤枠の領域)に白く炎症所見が確認されて良いのですが、それが見られません。

他の検査条件でも、他整形外科で診断された内側半月板の損傷の所見も含め、異常所見は何一つありませんでした。

そうなるとこの患者さんの膝痛の原因は膝にはないということになります。

そのような場合、痛みの原因で最も可能性が高いのは腰(腰椎)で、腰に起因する坐骨神経痛の一つの症状として膝痛が出ているという状態が疑われます。

そこで、私は腰椎のMRI検査を行いました。

腰椎MRI画像

腰椎J.jpg

腰のMRI検査では、軽度ですがL23に椎間板ヘルニアが確認され、右優位であり、これがこの患者さんの右膝痛の原因と判断しました。

患者さんは当院での膝への関節注射にこだわる姿勢がありましたが、9年前のことでカルテも廃棄となっており、どのような病態から注射をしたのかもわかりません。

現状では膝に病因となる所見がないので、私は膝への注射の治療はしませんと伝え、腰へのブロック治療を提案しました。患者さんはしぶしぶ同意され、7月31日に施行しました。

L3神経根ブロック像

RB.jpg

すると、1週後には「けっこう痛い」というレベルの右膝痛は、「わずかに痛い」となり、患者さんはとても満足されることになりました。

膝が痛い、60才近い年齢、変形性膝関節症であるという思い込みの診断だけでは、症状は良くならない場合があります。