半年経過した五十肩に対して 早期からマニュピュレーション治療を希望された患者さん

50才の女性です。

X年11月5日当院を受診されました。

X年5月に左肩痛が発症し、ずっと接骨院で加療してきたが、痛みも可動域も改善しないということでの受診でした。

サイレントマニュピュレーション・初診時.jpg

当院の五十肩の治療方針に沿って治療を開始しました。

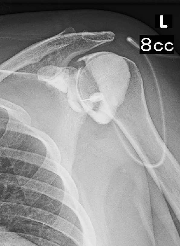
肩の状態を評価するために、治療を兼ねて肩関節造影という検査を行ないます。

サイレントマニュピュレーション・関節造影.jpg

左肩関節の大きさ(容量)は8㎖で、肩の関節包という運動領域を規定する構造は半年の期間で大きく縮小していることが把握されました。通常の成人の肩関節包の容量は20㎖前後であるからです。

MRIの検査からは、五十肩発症の要因は良くみられる棘上筋腱の炎症であることが推察されました。

サイレントマニュピュレーション・MRI.jpg

MRI画像で、赤矢印の部分(骨の上にのっている黒い腱が白っぽくなっているの)が棘上筋腱の炎症所見です。

1週後の再診では、治療を兼ねた関節内注射の治療に患者さんの左肩はほとんど反応していませんでした。

サイレントマニュピュレーション・1週後.jpg

患者さんは当院の五十肩のパンフレットをしっかり読んでいて、ゆっくり治療していくリハビリよりも迅速な改善が期待できるサイレントマニュピュレーションという治療を希望されました。

肩・運リハのパンフレット-.jpg

そこで、初診2週後にサイレントマニュピュレーションを実施しました。サイレントマニュピュレーションは手術的な治療法で、麻酔下に動きの硬い肩の動きを改善してやる治療法となります。

サイレントマニュピュレーションを受ければ、それだけで肩の動きが改善するわけではなく、マニュピュレーション後もしっかりリハビリを行うことで、マニュピュレーションの効果をより確実なものとしていきます。

サイレントマニュピュレーション・最終.jpg

患者さんは6週間で正常の肩可動域を獲得して、治療は終了となりました。